CÂU CHUYỆN KHÁCH HÀNG

ANH LONG M LEE (VIỆT KIỀU MỸ)

TÓM TẮT KẾ HOẠCH ĐIỀU TRỊ

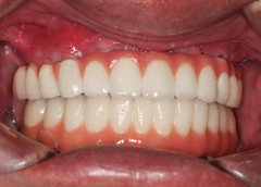
  • Tình trạng mất răng:Mất toàn bộ răng hàm trên và nhiều răng hàm dưới. Bị tiêu xương hàm nhiều.
  • Phương hướng điều trị:Cấy 4 trụ Implant hàm dưới (All on 4), 6 trụ Implant hàm trên (All on 6) và phục hình hàm sứ cố định.
  • Trụ Imlant sử dụng:Implant Straumann Thụy Sỹ
  • Răng sứ sử dụng:Phục hình răng sứ Cercon HT Đức

ĐỘI NGŨ THỰC HIỆN

  • Nguyễn Hiếu Tùng (Cấy Ghép Implant)
    Cấy ghép implant Tiến sĩ - Bác sĩ NGUYỄN HIẾU TÙNG
  • Mai Hồng Thái Phục Hình Sứ Trên Implant
    Phục hình sứ trên implant Bác sĩ CK1 MAI HỒNG THÁI
  • Đinh Thị Yến Nhi Q 5
    Phụ tá chính ĐINH THỊ YẾN NHI
  • Trần Thị Xuân Hương
    Chăm sóc khách hàng TRẦN THỊ XUÂN HƯƠNG
Anh: LONG M LEE
Việt Kiều Mỹ
  • Cấy ghép 4 trụ Implant hàm dưới và 6 trụ Implant hàm trên loại trụ Implant Straumann Thụy Sỹ
  • Phục hình răng sứ Cercon HT Đức

Từ Mỹ về Việt Nam, anh Long M Lee quyết tâm trồng răng Implant để có thể thưởng thức những bữa cơm ngon với gia đình, được cười tự tin và giao lưu vui vẻ với bạn bè.

 “Hồi đó anh đâu có dám cười, mỗi lần quên cười xong mới nhớ ra mình không có răng nên phải cười nhỏ nhỏ lại thôi. Nhưng mà bây giờ trồng răng Implant rồi thì cười thoải mái, tự tin hơn. Làm răng xong rồi ai cũng nói nhìn anh đẹp hơn, nhìn trẻ hơn”.

BAN BIÊN TẬP I-DENT
NHA KHOA I-DENT HỆ THỐNG NHA KHOA TIÊU CHUẨN QUỐC TẾ
CHUYÊN SÂU IMPLANT DÀNH CHO NGƯỜI VIỆT
  • Cơ sở 1:19V Nguyễn Hữu Cảnh, P.19, Q.Bình Thạnh, TP.Hồ Chí Minh
  • Cơ sở 2:193A-195 Hùng Vương, P.9, Quận 5, TP.Hồ Chí Minh
  • Cơ sở 3:83 Đường số 3 Khu dân cư Cityland, P.10, Q.Gò Vấp, TP.Hồ Chí Minh

    NHẬN TƯ VẤN MIỄN PHÍ TỪ CHUYÊN GIA ĐẶT LỊCH HẸN THĂM KHÁM NGAY
    Vấn đề quan tâm