CÂU CHUYỆN KHÁCH HÀNG

ANH MAI HỒ TIẾN (TP.HCM)

TÓM TẮT KẾ HOẠCH ĐIỀU TRỊ

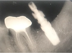
  • Tình trạng răng trước đây:Mất răng số R37
  • Bác sĩ chỉ định:Cấy ghép 1 trụ Implant
  • Implant sử dụng:Implant Mis C1 Đức
  • Răng sứ sử dụng:Răng sứ Zirconia Đức

ĐỘI NGŨ THỰC HIỆN

  • bac-phong
    Cấy ghép Implant Bác sĩ NGUYỄN THANH PHONG
  • bac-phong
    Bác sĩ Phục hình sứ Bác sĩ NGUYỄN THANH PHONG
  • Phan Thị Mỹ Duyên Quận Gò Vấp
    Phụ tá chính PHAN THỊ MỸ DUYÊN
  • Phạm Thị Phi Hoanh
    Chăm sóc khách hàng PHẠM THỊ PHI HOANH
Anh: MAI HỒ TIẾN
TP.HCM
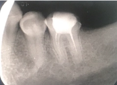
  • Cấy ghép 1 trụ Implant
  • Phục hình răng sứ trên implant

Kết thúc quá trình trồng răng tại nha khoa I-DENT, điều mà anh Mai Hồ Tiến ấn tượng nhất chính là chuyên môn và tay nghề của bác sĩ Nguyễn Thanh Phong. “Dù bác sĩ Phong trẻ, nhưng mà tay nghề giỏi, thân thiện với bệnh nhân”.

Anh Tiến chia sẻ về tình trạng răng trước đây của mình: “Anh bị mất răng dưới cùng, lúc đầu cũng chủ quan, không làm gì hết. Sau một thời gian thì mới thấy răng đối diện trồi xuống. Anh mới ý thức được nếu để lâu nó sẽ không tốt, ảnh hưởng tới những răng khác”.

Sau khi được người bạn giới thiệu đến nha khoa I-DENT, biết đây là địa chỉ trồng răng uy tín ở TP HCM, anh cùng bạn đã đến I-DENT để làm răng Implant.

Lần đầu tiên đến với I-DENT, anh Tiến đã có thiện cảm tốt. Đầu tiên là ở cơ sở vật chất khang trang, hiện đại, đặc biệt có máy CT ngay tại nha khoa và anh được chụp phim hoàn toàn miễn phí. Tiếp theo, điều mà anh ấn tượng nhất chính là được thăm khám và tư vấn với bác sĩ Nguyễn Thanh Phong.

Lúc đầu cũng hơi bất ngờ là bác sĩ còn trẻ, nhưng mà lúc tư vấn bác sĩ Phong rất chuyên nghiệp, giải thích kỹ lưỡng tình trạng và phương án điều trị cho anh. Mang đến cho anh cảm giác an tâm”.

Cảm nhận được sự gần gũi và trình độ chuyên môn tốt của bác sĩ Thanh Phong, nên anh Tiến đã tự tin, sẵn sàng tiến hành trồng răng Implant, khôi phục lại hàm răng chắc khỏe. Kết quả nhận được cũng đúng như mong muốn của anh. Trụ Implant tích hợp thành công vào xương hàm, thay thế cho chân răng thật một cách vững chắc và giúp anh ăn uống thoải mái hơn rất nhiều.

Sau nửa năm trồng răng quay lại tái khám, anh Tiến chia sẻ thêm những cảm nhận về chiếc răng mới của mình: “Trong quá trình ăn nhai anh không biết cái nào là răng giả luôn, vì ăn uống rất là tốt, không có lỏng lẻo, xộc xệch gì hết. Anh ăn được nhiều món mà trước đây không dám thử bởi vì mất răng”.

Cùng lắng nghe những chia sẻ của anh Tiến về hành trình trồng răng Implant và cảm nhận của anh dành cho bác sĩ I-DENT nhé!

BAN BIÊN TẬP I-DENT
NHA KHOA I-DENT HỆ THỐNG NHA KHOA TIÊU CHUẨN QUỐC TẾ
CHUYÊN SÂU IMPLANT DÀNH CHO NGƯỜI VIỆT
  • Cơ sở 1:19V Nguyễn Hữu Cảnh, P.19, Q.Bình Thạnh, TP.Hồ Chí Minh
  • Cơ sở 2:193A-195 Hùng Vương, P.9, Quận 5, TP.Hồ Chí Minh
  • Cơ sở 3:83 Đường số 3 Khu dân cư Cityland, P.10, Q.Gò Vấp, TP.Hồ Chí Minh

    NHẬN TƯ VẤN MIỄN PHÍ TỪ CHUYÊN GIA ĐẶT LỊCH HẸN THĂM KHÁM NGAY
    Vấn đề quan tâm