CÂU CHUYỆN KHÁCH HÀNG

CHỊ BẢO CHI (TP.HCM)

TÓM TẮT KẾ HOẠCH ĐIỀU TRỊ

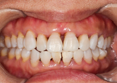
  • Tình trạng răng trước khi bọc sứ:Răng mọc lệch lạc. Màu răng ố vàng do nhiễm kháng sinh Tetracycline nặng.
  • Phương án thực hiện:Bọc sứ toàn hàm 20 răng.
  • Dòng răng sứ sử dụng:Răng toàn sứ Nacera 9Max Đức.

ĐỘI NGŨ THỰC HIỆN

  • Bác Sĩ Cki Nguyễn Huỳnh Ngọc Mỹ Thẩm Mỹ Răng Sứ Veneer
    Phục hình thẩm mỹ răng sứ - Veneer Bác sĩ CK1 NGUYỄN HUỲNH NGỌC MỸ
  • Phan Thị Mỹ Duyên Quận Gò Vấp
    Phụ tá chính PHAN THỊ MỸ DUYÊN
  • Nguyễn Thị Thu Hòa
    Chăm sóc khách hàng NGUYỄN THỊ THU HÒA
Chị: BẢO CHI
TP.HCM
  • Bọc sứ toàn hàm 20 răng Nacera 9Max Đức.

“Có một thời gian chị gần như bị trầm cảm, bởi tự ti với hàm răng kém thẩm mỹ. Răng của chị nó không chỉ mọc lệch mà còn quá vàng đi. Cảm giác khi chị cười nói ai cũng nhìn rồi chê hết”

Đó là những chia sẻ của chị Bảo Chi về tình trạng răng trước đây, với nhiều khuyết điểm không chỉ làm cho nụ cười kém duyên mà còn ảnh hưởng cả thẩm mỹ khuôn mặt. Đây cũng là lý do khiến chị ngày càng mất tự tin, không còn cười nói thoải mái khi gặp bạn bè.

Không chỉ vậy, là một người làm việc trong lĩnh vực kinh doanh cần phải giao tiếp nhiều, nhưng chị lại rất e ngại khi nói chuyện, cố hết sức để không lộ khuyết điểm của hàm răng. Gây mất tự nhiên và cũng không tạo được thiện cảm với đối tác.

Công việc và cuộc sống điều không thuận lợi, khiến cho tâm lý chị Bảo Chi bị ảnh hưởng nhiều, “chị gần như bị trầm cảm”.

Cho đến khi nhận được nhiều lời khuyên từ mẹ, đặc biệt là: “Mẹ biết là con sẽ có một cuộc sống tốt hơn nếu như con có sự tự tin”. Như một lời thức tỉnh chị và giúp chị có thêm động lực để thay đổi nụ cười, lấy lại tự tin vốn có.

Mong muốn của chị là sở hữu một hàm răng trắng sáng, đều đẹp và hình thể răng cân đối, hài hòa với khuôn mặt. Nên khi đến I-Dent và được bác sĩ Ngọc Mỹ tư vấn đúng như ý muốn, chị không ngần ngại mà thực hiện nay.

“Ở I-Dent bác sĩ sẽ căn chỉnh tỉ lệ gương mặt của mình, sao cho hài hòa với lại cái hàm răng. Bác sĩ còn đo từng cái răng để cho chị chọn màu nào hợp và thích nữa”.

Đến nay sau 5 năm bọc răng sứ và quay lại nha khoa I-Dent thăm khám, chị Bảo Chi như “lột xác” thành một người khác. Không còn dáng vẻ rụt rè hay e ngại như trước, thay vào đó là một cô gái tự tin, năng động và luôn nở nụ cười tươi trên môi.

“Tới nay đã 5 năm rồi mà răng chị vẫn không hề xỉn màu, hay ố vàng hoặc có vấn đề gì hết. Chị có thể thoải mái ăn kem, uống nước đá hay những đồ cứng mà không bị cộm hay đau nhức gì hết”.

Đặc biệt là công việc kinh doanh của chị Bảo Chi ngày càng thành công, nhờ sự tự tin đã quay trở lại với chị.

I-Dent thật sự hạnh phúc khi có thể giúp cho chị Bảo Chi thay đổi nụ cười và thay đổi cuộc sống trở nên tốt hơn. Chúc chị sẽ mãi giữ nụ cười rạng ngời và ngày càng thành công trong công việc!

BAN BIÊN TẬP I-DENT
NHA KHOA I-DENT HỆ THỐNG NHA KHOA TIÊU CHUẨN QUỐC TẾ
CHUYÊN SÂU IMPLANT DÀNH CHO NGƯỜI VIỆT
  • Cơ sở 1:19V Nguyễn Hữu Cảnh, P.19, Q.Bình Thạnh, TP.Hồ Chí Minh
  • Cơ sở 2:193A-195 Hùng Vương, P.9, Quận 5, TP.Hồ Chí Minh
  • Cơ sở 3:83 Đường số 3 Khu dân cư Cityland, P.10, Q.Gò Vấp, TP.Hồ Chí Minh

    NHẬN TƯ VẤN MIỄN PHÍ TỪ CHUYÊN GIA ĐẶT LỊCH HẸN THĂM KHÁM NGAY
    Vấn đề quan tâm