CÂU CHUYỆN KHÁCH HÀNG

CHÚ ĐINH KHẮC HÒA (VIỆT KIỀU ÚC)

TÓM TẮT KẾ HOẠCH ĐIỀU TRỊ

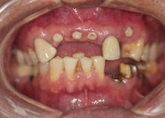
  • Tình trạng mất răng:Mất các răng số R16, R17, R26, R27 và R37. Bị tiêu xương hàm ở vị trí mất răng.
  • Phương hướng điều trị:Cấy ghép 5 trụ Implant và phục hình sứ cố định, để khôi phục lại 5 răng đã mất
  • Trụ Imlant sử dụng:Implant Tekka Pháp
  • Răng sứ sử dụng:Phục hình răng sứ Nacera 9Max Đức

ĐỘI NGŨ THỰC HIỆN

  • Nguyễn Hiếu Tùng (Cấy Ghép Implant)
    Cấy ghép implant Tiến sĩ - Bác sĩ NGUYỄN HIẾU TÙNG
  • Mai Hồng Thái Phục Hình Sứ Trên Implant
    Phục hình sứ trên implant Bác sĩ CK1 MAI HỒNG THÁI
  • Đinh Thị Yến Nhi Q 5
    Phụ tá chính ĐINH THỊ YẾN NHI
  • Trần Thị Xuân Hương
    Chăm sóc khách hàng TRẦN THỊ XUÂN HƯƠNG
Chú: ĐINH KHẮC HÒA
Việt Kiều Úc
  • Cấy ghép 5 trụ Implant Tekka Pháp
  • Phục hình răng sứ Nacera 9Max Đức

Sau khi bà xã trồng răng ở nha khoa I-Dent và hoàn toàn hài lòng, chú Khắc Hòa cũng quyết định về nước để trồng Implant tại I-Dent.

“Các máy móc ở nha khoa tối tân hơn so với nước ngoài. Chú cũng an tâm khi tất cả dụng cụ đều là đồ mới, được sát trùng hoàn toàn.” Chú chia sẻ toàn bộ quá trình làm răng hoàn toàn không đau. Răng mới thì vô cùng tự nhiên, ăn uống ngon miệng. Tinh thần chú vui vẻ và như trẻ thêm mấy tuổi.

Theo chú Hòa, quyết định về Việt Nam làm răng là hoàn toàn xứng đáng.

BAN BIÊN TẬP I-DENT
NHA KHOA I-DENT HỆ THỐNG NHA KHOA TIÊU CHUẨN QUỐC TẾ
CHUYÊN SÂU IMPLANT DÀNH CHO NGƯỜI VIỆT
  • Cơ sở 1:19V Nguyễn Hữu Cảnh, P.19, Q.Bình Thạnh, TP.Hồ Chí Minh
  • Cơ sở 2:193A-195 Hùng Vương, P.9, Quận 5, TP.Hồ Chí Minh
  • Cơ sở 3:83 Đường số 3 Khu dân cư Cityland, P.10, Q.Gò Vấp, TP.Hồ Chí Minh

    NHẬN TƯ VẤN MIỄN PHÍ TỪ CHUYÊN GIA ĐẶT LỊCH HẸN THĂM KHÁM NGAY
    Vấn đề quan tâm