CÂU CHUYỆN KHÁCH HÀNG

CHÚ HOÀNG MINH DŨNG (TP.HCM)

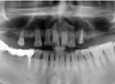
TÓM TẮT KẾ HOẠCH ĐIỀU TRỊ

  • Tình trạng răng trước đây:Mất nhiều răng ở hàm trên, tiêu xương hàm.
  • Bác sĩ chỉ định:Cấy ghép Implant All On 4 hàm trên.
  • Implant sử dụng:Implant Mis C1 Đức.
  • Răng sứ sử dụng:Răng sứ Titan Mỹ.

ĐỘI NGŨ THỰC HIỆN

  • Nguyễn Hiếu Tùng (Cấy Ghép Implant)
    Cấy ghép implant Tiến sĩ - Bác sĩ NGUYỄN HIẾU TÙNG
  • Mai Hồng Thái Phục Hình Sứ Trên Implant
    Phục hình sứ trên implant Bác sĩ CK1 MAI HỒNG THÁI
  • Đinh Thị Yến Nhi Q 5
    Phụ tá chính ĐINH THỊ YẾN NHI
  • Trần Thị Xuân Hương
    Chăm sóc khách hàng TRẦN THỊ XUÂN HƯƠNG
Chú: HOÀNG MINH DŨNG
TP.HCM
  • Cấy ghép Implant All On 4 hàm trên
  • Phục hình răng sứ trên Implant

Chú Minh Dũng là người rất chú trọng đến sức khỏe, đặc biệt là vấn đề răng miệng. Nên khi lựa chọn nha khoa trồng răng Implant, chú tìm hiểu và sàng lọc thông tin rất kỹ lưỡng. Vậy lý do nào để chú Minh Dũng chọn trồng răng ở nha khoa I-DENT, sau khi tham khảo hơn 10 nha khoa khác nhau?

Khi bắt đầu tìm hiểu để thực hiện trồng răng Implant, chú Minh Dũng luôn chú trọng đến việc phải chọn được những nha khoa nổi tiếng, uy tín và chất lượng. “Chú không có người giới thiệu mà tự tìm hiểu trên Facebook. Chú xem nhiều thông tin của hơn 10 nha khoa để có thể sàng lọc kỹ lưỡng. Cuối cùng, chú biết đến nha khoa I-DENT và ấn tượng với Tiến sĩ – Bác sĩ Nguyễn Hiếu Tùng” – Chú Dũng chia sẻ.

Thời điểm lần đầu đến I-DENT, chú Dũng chỉ muốn đến tư vấn trước và chưa có ý định sẽ làm Implant ở I-DENT. Chú muốn xem thử cơ sở vật chất; máy móc, thiết bị; cách chăm sóc và tư vấn của bác sĩ, nhân viên… có đúng với các tiêu chí của chú đặt ra hay không.

Tuy nhiên, chỉ mới gặp bác sĩ Mai Hồng Thái tư vấn, chú Minh Dũng quyết định ngay sẽ trồng răng Implant tại I-DENT. Bởi 2 lý do:

Thứ nhất là khi mới bước vào nha khoa chú Dũng chia sẻ đã rất ấn tượng với tác phong chuyên nghiệp của các bạn lễ tân, phụ tá. Rồi gặp được bác sĩ Thái tư vấn tận tình, chuyên nghiệp.

Thứ hai là vấn đề vô trùng của nha khoa rất tốt. Phòng khám khang trang, sạch sẽ, các phòng điều trị thì nằm riêng biệt và mỗi bệnh nhân đều được dùng 1 bộ dụng cụ mới.

“Chú nghĩ rằng cái trực giác, cái lựa chọn của chú là đúng. Đến bây giờ gắn bó với nha khoa hơn 1 năm rưỡi và kết quả nhận được đúng như chú mong muốn”.

Chú Minh Dũng dành rất nhiều lời khen tặng cho đội ngũ nhân viên nha khoa I-DENT. Đặc biệt là sự hài lòng đối với chuyên môn, tay nghề của 2 bác sĩ Tùng và bác sĩ Thái.

Bên cạnh đó, chú còn đánh giá cao sự minh bạch, rõ ràng trong vấn đề chi phí, không bao giờ phát sinh thêm ngoài ý muốn.  

Với những trải nghiệm hài lòng tuyệt đối tại nha khoa I-DENT, chú Minh Dũng sẵn sàng “giới thiệu I-DENT đến cho người thân, bạn bè của chú. Bởi chú đặt trọn niềm tin ở đây”.

Đội ngũ I-DENT thật sự hạnh phúc khi mỗi ngày nhận được những phản hồi tích cực về chất lượng dịch vụ như của chú Hoàng Minh Dũng. Cảm ơn chú Dũng rất nhiều!

BAN BIÊN TẬP I-DENT
NHA KHOA I-DENT HỆ THỐNG NHA KHOA TIÊU CHUẨN QUỐC TẾ
CHUYÊN SÂU IMPLANT DÀNH CHO NGƯỜI VIỆT
  • Cơ sở 1:19V Nguyễn Hữu Cảnh, P.19, Q.Bình Thạnh, TP.Hồ Chí Minh
  • Cơ sở 2:193A-195 Hùng Vương, P.9, Quận 5, TP.Hồ Chí Minh
  • Cơ sở 3:83 Đường số 3 Khu dân cư Cityland, P.10, Q.Gò Vấp, TP.Hồ Chí Minh

    NHẬN TƯ VẤN MIỄN PHÍ TỪ CHUYÊN GIA ĐẶT LỊCH HẸN THĂM KHÁM NGAY
    Vấn đề quan tâm