CÂU CHUYỆN KHÁCH HÀNG

CHÚ HỨA TẤN ĐẠT (TPHCM)

TÓM TẮT KẾ HOẠCH ĐIỀU TRỊ

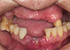
  • Tình trạng mất răng:Nhiều răng hư hỏng nặng, bị viêm nha chu và tiêu xương nhiều.
  • Phương hướng điều trị:Nhổ toàn bộ răng lung lay, suy yếu và phục hình lại bằng phương án cấy ghép Implant All On 4. Cắm 4 trụ Implant và phục hình hàm sứ cố định.
  • Trụ Imlant sử dụng:Implant Nobel Biocare Thụy Điển
  • Răng sứ sử dụng:Phục hình răng sứ Titan Mỹ

ĐỘI NGŨ THỰC HIỆN

  • Nguyễn Hiếu Tùng (Cấy Ghép Implant)
    Cấy ghép implant Tiến sĩ - Bác sĩ NGUYỄN HIẾU TÙNG
  • Nguyễn Hoàng Nhân Phục Hình Sứ Trên Implant
    Phục hình sứ trên implant Bác sĩ NGUYỄN HOÀNG NHÂN
  • Đinh Thị Yến Nhi Q 5
    Phụ tá chính ĐINH THỊ YẾN NHI
  • Phạm Thị Phi Hoanh
    Chăm sóc khách hàng PHẠM THỊ PHI HOANH
Chú: HỨA TẤN ĐẠT
TP.HCM
  • Cáy 4 trụ Implant Nobel Biocare Thụy Điển
  • Phục hình răng sứ Titan Mỹ

Nhờ con gái động viên đi làm răng, để ăn nhai thoải mái và sức khỏe tốt hơn, chú Đạt cũng quyết định cấy Implant. Nhưng vẫn mang nỗi lo trồng răng sẽ đau nhức.

Chỉ khi đến I-Dent, được các bác sĩ, phụ tá chăm sóc tận tình mới giúp chú an tâm hơn.

“Lúc đầu chú rất sợ đau, nhưng khi vô làm là không biết đau. Về nhà cũng không có hành, không có gì hết trơn. Bác Tùng thật sự làm rất mát tay.”

BAN BIÊN TẬP I-DENT
NHA KHOA I-DENT HỆ THỐNG NHA KHOA TIÊU CHUẨN QUỐC TẾ
CHUYÊN SÂU IMPLANT DÀNH CHO NGƯỜI VIỆT
  • Cơ sở 1:19V Nguyễn Hữu Cảnh, P.19, Q.Bình Thạnh, TP.Hồ Chí Minh
  • Cơ sở 2:193A-195 Hùng Vương, P.9, Quận 5, TP.Hồ Chí Minh
  • Cơ sở 3:83 Đường số 3 Khu dân cư Cityland, P.10, Q.Gò Vấp, TP.Hồ Chí Minh

    NHẬN TƯ VẤN MIỄN PHÍ TỪ CHUYÊN GIA ĐẶT LỊCH HẸN THĂM KHÁM NGAY
    Vấn đề quan tâm