CÂU CHUYỆN KHÁCH HÀNG

CHÚ NGÔ HỒNG PHONG (VIỆT KIỀU)

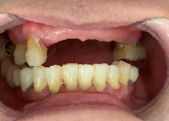
TÓM TẮT KẾ HOẠCH ĐIỀU TRỊ

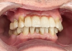
  • Tình trạng mất răng:Mất nhiều răng lâu năm và bị tiêu xương nặng.
  • Phương hướng điều trị:Cấy ghép 8 trụ Implant cho các vị trí mất răng.
  • Trụ Implant sử dụng:Implant Straumann Thụy Sỹ
  • Răng sứ sử dụng:Răng sứ Nacera Pearl Đức.

ĐỘI NGŨ THỰC HIỆN

  • Nguyễn Hiếu Tùng (Cấy Ghép Implant)
    Cấy ghép implant Tiến sĩ - Bác sĩ NGUYỄN HIẾU TÙNG
  • Mai Hồng Thái Phục Hình Sứ Trên Implant
    Phục hình sứ trên implant Bác sĩ CK1 MAI HỒNG THÁI
  • Phạm Thị Ngọc Thanh Bình Thạnh
    Phụ tá chính PHẠM THỊ NGỌC THANH
  • Trần Thị Xuân Hương
    Chăm sóc khách hàng TRẦN THỊ XUÂN HƯƠNG
Chú: NGÔ HỒNG PHONG
Việt Kiều
  • Cấy ghép 8 trụ Implant Straumann Thụy Sỹ
  • Phục hình răng sứ Nacera Pearl Đức

Theo quan niệm của chú Hồng Phong, tuổi già là lúc “xứng đáng được hưởng những điều tốt nhất, nên chú quyết định chọn trồng răng Implant để có thể thưởng thức những bữa ăn ngon và có một sức khỏe tốt hơn”.

Ở độ tuổi ngoài 60, khi sức khỏe răng miệng không còn tốt như trước, cộng thêm việc mắc phải các bệnh lý nha khoa khiến cho chú Hồng Phong bị mất khá nhiều răng ở cả 2 hàm.

Ảnh hưởng đầu tiên từ việc mất răng chính là chú không còn được ăn uống thoải mái như trước. Từ một người thích thưởng thức nhiều món ăn ngon khác nhau như thịt, sườn, cá… chú phải từ bỏ hẳn và chuyển sang ăn đồ mềm như cháo, súp hoặc thịt xay nhuyễn. Bởi hàm răng giả tháo lắp không nhai hay cắn xé gì nhiều được. Chưa kể mỗi lần ăn là một lần đau nhức vì hàm giả cấn vào nướu.

Ảnh hưởng thứ 2 chính là sức khỏe cả cơ thể cũng suy yếu theo, chú Phong mắc thêm cả căn bệnh đau bao tử do không thể nhai thức ăn kỹ lưỡng. Dẫn tới cơ thể cũng yếu đi hẳn.

Ngoài việc ăn uống khó khăn, do răng tháo lắp lỏng lẻo, sức nhai yếu, chú còn gặp phải tình trạng: “Thời gian cũng hơn 10 năm chú dùng hàm tháo lắp rồi, cũng thay đi thay lại mấy cái hàm giả. Mà dùng lâu vậy, bây giờ đi thăm khám mới biết mặt mình khác nhiều, bị hóp là do xương hàm bị tiêu biến đi khi dùng hàm tháo lắp lâu ngày” .

Để xóa bỏ hết những nỗi khó khăn này, chú Hồng Phong quyết định thay hàm răng mới bằng giải pháp cấy ghép Implant.

Biết đến Tiến sĩ – Bác sĩ Nguyễn Hiếu Tùng là một trong những chuyên gia Implant hàng đầu trong nước, chú Phong đã tìm đến nha khoa I-Dent để thực hiện trồng răng.

Khi mà gặp được chính bác sĩ Hiếu Tùng, người đã tu nghiệp lấy được cái bằng cấp cao nhất. Nên được bác làm cho chú cảm giác rất yên tâm” – là chia sẻ của chú Hồng Phong.

Nhờ bác Tùng thực hiện cắm trụ Implant chuẩn xác, nên quá trình lành thương và trụ răng tích hợp với xương hàm của chú Phong diễn ra vô cùng thuận lợi. Răng sứ được gắn lên trên cố định và chắc chắn.

Với chú Hồng Phong, lựa chọn làm răng tại I-Dent là quyết định hoàn toàn đúng đắn! Khi giờ đây đã có một hàm răng chắc khỏe để thoải mái ăn uống sau bao tháng ngày phải kiêng cữ.

BAN BIÊN TẬP I-DENT
NHA KHOA I-DENT HỆ THỐNG NHA KHOA TIÊU CHUẨN QUỐC TẾ
CHUYÊN SÂU IMPLANT DÀNH CHO NGƯỜI VIỆT
  • Cơ sở 1:19V Nguyễn Hữu Cảnh, P.19, Q.Bình Thạnh, TP.Hồ Chí Minh
  • Cơ sở 2:193A-195 Hùng Vương, P.9, Quận 5, TP.Hồ Chí Minh
  • Cơ sở 3:83 Đường số 3 Khu dân cư Cityland, P.10, Q.Gò Vấp, TP.Hồ Chí Minh

    NHẬN TƯ VẤN MIỄN PHÍ TỪ CHUYÊN GIA ĐẶT LỊCH HẸN THĂM KHÁM NGAY
    Vấn đề quan tâm