CÂU CHUYỆN KHÁCH HÀNG

CHÚ NGUYỄN HẢI (VIỆT KIỀU MỸ)

TÓM TẮT KẾ HOẠCH ĐIỀU TRỊ

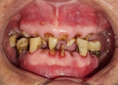
  • Tình trạng răng trước đây:Mất hết răng cả 2 hàm, tiêu xương hàm
  • Bác sĩ chỉ định:Cấy ghép Implant All On 4
  • Implant sử dụng:Implant Mis C1 Đức
  • Răng sứ sử dụng:Răng sứ Titan Mỹ

ĐỘI NGŨ THỰC HIỆN

  • Nguyễn Hiếu Tùng (Cấy Ghép Implant)
    Cấy ghép implant Tiến sĩ - Bác sĩ NGUYỄN HIẾU TÙNG
  • Hoàng Nguyễn Đình Tín Phục Hình Sứ Implant
    Phục hình sứ trên implant Bác sĩ CK1 HOÀNG NGUYỄN ĐÌNH TÍN
  • Phan Thị Mỹ Duyên Quận Gò Vấp
    Phụ tá chính PHAN THỊ MỸ DUYÊN
  • Phạm Thị Ngọc Trang
    Chăm sóc khách hàng PHẠM THỊ NGỌC TRANG
Chú: NGUYỄN HẢI
Việt Kiều Mỹ
  • Cấy ghép Implant All On 4 trụ Mis C1 Đức
  • Phục hình răng sứ Titan Mỹ

Chú Nguyễn Hải từng dành nhiều thời gian để tìm hiểu và lựa chọn nha khoa trồng răng Implant khiến mình thật sự an tâm. Bởi với chú, sức khỏe hàm răng rất quan trọng. Chú không muốn gặp bất kì biến chứng nào khi không may làm răng tại một địa chỉ kém chất lượng. Cuối cùng, chú Hải đã quyết định đặt niềm tin vào nha khoa I-Dent. Vậy lý do tại sao?

Giống nhiều cô chú Kiều bào khác, chú Nguyễn Hải cũng lựa chọn về nước để trồng răng Implant. Một phần là về thăm quê hương, gia đình, thêm nữa là chi phí làm răng ở Mỹ quá cao, “răng chú mà làm hết là tới bốn năm chục ngàn đô, không gánh nổi”.

Do đó, chú Hải lên mạng tìm hiểu thông tin và liên hệ một vài nha khoa trồng Implant ở trong nước để chọn được địa chỉ phù hợp. Thế nhưng sau một thời gian, chú vẫn không chọn được, bởi chưa thật sự an tâm về cách tư vấn cũng như kế hoạch điều trị mà các bác sĩ tư vấn.

Cho đến khi biết được nha khoa I-Dent có nhiều Kiều bào về đây làm răng và nhận những phản hồi tốt, chú Hải đã liên hệ đến I-Dent.

“Tôi có số điện thoại I-Dent rồi gọi điện nghe tư vấn, thì các bạn ở đây nói chuyện dễ thương lắm. Hỏi thăm tình trạng của tôi rồi chuyển quá bác sĩ để lên cho tôi kế hoạch chi tiết, thời gian, chi phí cụ thể. Nên tôi quyết định về nước sẽ đến I-Dent thăm khám” – chú Hải chia sẻ.

Ngày đầu đến I-Dent, chú đã ấn tượng với cơ sở vật chất nơi đây. Không gian phòng khám khang trang, sạch sẽ nhưng vẫn có cảm giác ấm cúng. Ngoài ra, chú Hải còn được bác sĩ thăm khám và tư vấn trong phòng điều trị nằm riêng biệt, tạo cho chú cảm giác riêng tư, thoải mái.

Quan trọng nhất, điều giúp chú Hải an tâm khi đến I-Dent là ở đội ngũ bác sĩ có chuyên môn cao và giàu kinh nghiệm. Đặc biệt, khi biết sẽ được cấy ghép Implant bởi Tiến sĩ, bác sĩ Nguyễn Hiếu Tùng, chú rất tin tưởng bởi biết rằng bác sĩ từng tu nghiệp ở Pháp và là chuyên gia Implant hàng đầu ở Việt Nam.

“Tôi không thể nghĩ ra một lý do nào để từ chối nha khoa I-DENT. Từ đội ngũ bác sĩ đến cơ sở vật chất, trang thiết bị đều rất tốt. Mọi thứ diễn ra suôn sẻ vượt ngoài mong đợi của tôi”.

Từ đó, chú Hải đã quyết định sẽ thực hiện Implant tại I-Dent. Bởi chú nhận ra chất lượng quan trọng hơn chi phí rất nhiều, và kết quả trồng răng cuối cùng đã không phụ lòng mong đợi của chú.

Chú Hải có được hàm răng mới chắc khỏe, ăn uống thoải mái mà không phải kiêng cữ như trước. Nhờ đó mà sức khỏe ngày càng tốt hơn, chú cũng thêm vui vẻ, yêu đời.

BAN BIÊN TẬP I-DENT
NHA KHOA I-DENT HỆ THỐNG NHA KHOA TIÊU CHUẨN QUỐC TẾ
CHUYÊN SÂU IMPLANT DÀNH CHO NGƯỜI VIỆT
  • Cơ sở 1:19V Nguyễn Hữu Cảnh, P.19, Q.Bình Thạnh, TP.Hồ Chí Minh
  • Cơ sở 2:193A-195 Hùng Vương, P.9, Quận 5, TP.Hồ Chí Minh
  • Cơ sở 3:83 Đường số 3 Khu dân cư Cityland, P.10, Q.Gò Vấp, TP.Hồ Chí Minh

    NHẬN TƯ VẤN MIỄN PHÍ TỪ CHUYÊN GIA ĐẶT LỊCH HẸN THĂM KHÁM NGAY
    Vấn đề quan tâm