CÂU CHUYỆN KHÁCH HÀNG

CHÚ NGUYỄN HỮU THỂ (VIỆT KIỀU MỸ)

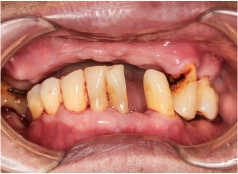
TÓM TẮT KẾ HOẠCH ĐIỀU TRỊ

  • Tình trạng răng trước đây:Mất gần hết răng 2 hàm, tiêu xương nghiêm trọng
  • Bác sĩ chỉ định:Cấy ghép 2 hàm Implant All On 4
  • Implant sử dụng:Implant Mis C1 Đức
  • Răng sứ sử dụng:Răng sứ Titan Mỹ

ĐỘI NGŨ THỰC HIỆN

  • Nguyễn Hiếu Tùng (Cấy Ghép Implant)
    Cấy ghép implant Tiến sĩ - Bác sĩ NGUYỄN HIẾU TÙNG
  • Vũ Thiện Khanh Phục Hình Sứ Trên Implant
    Phục hình sứ trên implant Bác sĩ CK1 VŨ THIỆN KHANH
  • Phạm Thị Ngọc Thanh Bình Thạnh
    Phụ tá chính PHẠM THỊ NGỌC THANH
  • Nguyễn Thị Thu Hòa
    Chăm sóc khách hàng NGUYỄN THỊ THU HÒA
Chú: Nguyễn Hữu Thể
Việt Kiều Mỹ
  • Cấy ghép 2 hàm Implant All On 4 loại trụ Implant Mis C1 Đức
  • Phục hình răng sứ Titan Mỹ

Con gái chú nói bố làm biếng ăn, nhưng thật ra răng đâu mà nhai, chú chỉ cố nuốt cho qua bữa thôi” – chú Hữu Thể chia sẻ về nỗi khó khăn khi ăn uống. Bởi hàm răng chú gần như gãy rụng hết, dù sử dụng hàm tháo lắp cũng không cải thiện được nhiều.

Dùng hàm tháo lắp còn khiến cho phần nướu teo đi nhanh hơn và làm khuôn mặt của chú Thể bị móm, trông già đi rất nhiều. Ngoài ra, phần hàm giả lệch màu còn dễ bị lộ ra ngoài khi cười, nói trông kém tự nhiên. Khiến chú cũng ngại giao tiếp với mọi người xung quanh.

Ngoài nỗi khổ mỗi khi ăn uống thì sức khỏe của chú Hữu Thể cũng bị suy giảm nhiều kể từ ngày mất răng. Do chú không thể nhai hay xé thức ăn mà chỉ nuốt xuống khiến dạ dày hoạt động quá nhiều, từ đó kéo theo những cơn đau bao tử dai dẳng.

Nhận thấy tình trạng sức khỏe của bố ngày mỗi yếu đi, con gái của chú đã động viên và hỗ trợ cho chú Thể về nước trồng răng. Với mong muốn bố có thể khỏe mạnh như xưa và được thưởng thức những buổi cơm trọn vẹn bên gia đình.

Nói về cơ duyên biết đến nha khoa I-Dent, chú Hữu Thể chia sẻ: “Có thằng em ở bên này nó gửi thông tin 10 điểm nha khoa tốt nhất ở Sài Gòn cho mình lựa chọn. Chú xem xong thì thấy tin tưởng ở I-Dent, từ đó là chú chắc chắn làm ở đây rồi”.

Không phụ lại niềm tin của chú Thể, đội ngũ nha khoa I-Dent mang đến cho chú trải nghiệm trồng răng hài lòng tuyệt đối. Toàn bộ quá trình từ lúc thăm khám, phẫu thuật cho đến khi gắn răng sứ hoàn tất đều diễn ra thuận lợi, nhẹ nhàng và không hề có biến chứng.

Cả quá trình, trong thời gian trồng cấy chú không có đau đớn gì hết. Bác sĩ Tùng, bác sĩ Khanh đều làm rất nhẹ nhàng, tỉ mỉ

Với hàm răng mới chắc khỏe không chỉ giúp chú Thể ăn uống thoải mái, nâng cao sức khỏe mà còn tự tin hơn trong giao tiếp, từ nay chú“không còn phải che miệng cười nữa”.

Nha khoa I-Dent cũng rất hạnh phúc khi có thể giúp chú Thể hoàn tất quá trình trồng răng Implant thành công. Để chú có thể tận hưởng tuổi già một cách trọn vẹn nhất bên người thân, bạn bè mà không phải chịu đựng nỗi khổ mất răng.

BAN BIÊN TẬP I-DENT
NHA KHOA I-DENT HỆ THỐNG NHA KHOA TIÊU CHUẨN QUỐC TẾ
CHUYÊN SÂU IMPLANT DÀNH CHO NGƯỜI VIỆT
  • Cơ sở 1:19V Nguyễn Hữu Cảnh, P.19, Q.Bình Thạnh, TP.Hồ Chí Minh
  • Cơ sở 2:193A-195 Hùng Vương, P.9, Quận 5, TP.Hồ Chí Minh
  • Cơ sở 3:83 Đường số 3 Khu dân cư Cityland, P.10, Q.Gò Vấp, TP.Hồ Chí Minh

    NHẬN TƯ VẤN MIỄN PHÍ TỪ CHUYÊN GIA ĐẶT LỊCH HẸN THĂM KHÁM NGAY
    Vấn đề quan tâm