CÂU CHUYỆN KHÁCH HÀNG

CHÚ NGUYỄN NỐP (VŨNG TÀU)

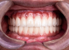
TÓM TẮT KẾ HOẠCH ĐIỀU TRỊ

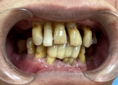
  • Tình trạng răng trước đây:Mất gần hết răng cả 2 hàm, tiêu xương nghiêm trọng
  • Bác sĩ chỉ định:Cấy ghép Implant All On 6
  • Implant sử dụng:Implant Mis C1 Đức
  • Răng sứ sử dụng:Răng sứ Cercon HT Đức

ĐỘI NGŨ THỰC HIỆN

  • Nguyễn Hiếu Tùng (Cấy Ghép Implant)
    Cấy ghép implant Tiến sĩ - Bác sĩ NGUYỄN HIẾU TÙNG
  • Bác Sĩ Lê Đỗ Tuấn Kiệt Phục Hình Sứ Trên Implant
    Phục hình sứ trên Implant Thạc sĩ - Bác sĩ LÊ ĐỖ TUẤN KIỆT
  • Phạm Thị Ngọc Thanh Bình Thạnh
    Phụ tá chính PHẠM THỊ NGỌC THANH
  • Phạm Thị Phi Hoanh
    Chăm sóc khách hàng PHẠM THỊ PHI HOANH
Chú: NGUYỄN NỐP
Vũng Tàu
  • Cấy ghép Implant All On 6 loại trụ Implant Mis C1 Đức
  • Phục hình răng sứ Cercon HT Đức

Nhờ có sự động viên của gia đình, chú tự tin làm lại răng mới!

Bao nhiêu năm mất răng là bấy nhiêu năm chú Nguyễn Nốp phải đối mặt với vô vàn bất tiện trong việc ăn uống và sinh hoạt hàng ngày. Đặc biệt là gây ảnh hưởng xấu đến sức khỏe.

Chia sẻ về tình trạng răng trước đây, chú Nốp cho biết răng của chú bị viêm nha chu nặng. Tình trạng nhiễm trùng khiến cả hàm răng lung lay và gãy rụng gần hết. Từ ngày mất răng, cuộc sống của chú thay đổi hoàn toàn.

Những bữa cơm không còn cảm giác ngon miệng, bởi thiếu răng ăn nhai, họa chăng chú chỉ cố gắng nuốt cho qua bữa. Đây cũng là nguyên nhân khiến chú Nốp mắc phải căn bệnh đau dạ dày suốt nhiều năm liền. “Có nhiều đêm đau nhức răng rồi đau bao tử chú trằn trọc mãi không ngủ được. Rồi sức khỏe cũng yếu hẳn đi, tinh thần thì sa sút, không còn vui vẻ như trước”.

Lo lắng cho tình trạng sức khỏe của bố, các con chú Nốp đã tìm hiểu về những phương án giúp phục hình răng mất và biết đến cấy ghép Implant. Biết rằng đây là công nghệ tiên tiến nhất hiện nay, có thể trồng lại cả hàm răng cố định, vững chắc và ăn nhai tốt.

Các con nó kêu bây giờ phải làm răng cho bố thôi, chớ vậy hoài thì bố không thể ăn được. Chú có từ chối vì tuổi lớn rồi thì làm gì nữa cho tốn kém. Con vẫn kêu dù bố còn sống 1 ngày cũng phải đưa bố đi trồng răng”.

Lúc đầu khi nghe về phương án trồng răng Implant, chú Nốp tưởng tượng “là nó khủng khiếp lắm. Tại phải khoan xuống, rồi cấy vô này nọ kia, mình nghĩ con người mình không chịu được”.

Nhưng dưới sự động viên của gia đình, chú đã vượt qua nỗi sợ, để tự tin trồng lại răng mới và có hàm răng ăn uống chắc khỏe hơn cũng như tự tin giao tiếp.

Sau khi hoàn tất quá trình trồng răng Implant tại I-Dent, chú Nguyễn Nốp cảm thấy hoàn toàn dễ chịu, không có gì quá phức tạp hay đau như mình nghĩ. Về nhà, ban đầu chú nhai đồ mềm theo hướng dẫn của bác sĩ, sau này chú ăn thịt ngon lành luôn. “Chú muốn nhắn nhủ với những ai mất răng nếu còn sức khỏe, còn đi lại thoải mái thì mình nên tranh thủ trồng răng Implant để ăn nhai tốt, sức khỏe ổn định hơn”.

Đồng hành cùng chú Nốp trong suốt quá trình điều trị Implant, đội ngũ I-Dent rất vui khi được lắng nghe tâm sự cùng lời cảm ơn của chú. I-Dent cũng hy vọng, với răng Implant chắc khỏe, cô sẽ có những bữa cơm gia đình đầm ấm, ngon lành hơn và tận hưởng cuộc sống trọn vẹn.

BAN BIÊN TẬP I-DENT
NHA KHOA I-DENT HỆ THỐNG NHA KHOA TIÊU CHUẨN QUỐC TẾ
CHUYÊN SÂU IMPLANT DÀNH CHO NGƯỜI VIỆT
  • Cơ sở 1:19V Nguyễn Hữu Cảnh, P.19, Q.Bình Thạnh, TP.Hồ Chí Minh
  • Cơ sở 2:193A-195 Hùng Vương, P.9, Quận 5, TP.Hồ Chí Minh
  • Cơ sở 3:83 Đường số 3 Khu dân cư Cityland, P.10, Q.Gò Vấp, TP.Hồ Chí Minh

    NHẬN TƯ VẤN MIỄN PHÍ TỪ CHUYÊN GIA ĐẶT LỊCH HẸN THĂM KHÁM NGAY
    Vấn đề quan tâm