CÂU CHUYỆN KHÁCH HÀNG

CHÚ NGUYỄN PHƯỚC BẢO TÙNG (VIỆT KIỀU CANADA)

TÓM TẮT KẾ HOẠCH ĐIỀU TRỊ

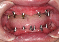
  • Tình trạng mất răng:Mất hết răng cả 2 hàm và tiêu xương nặng.
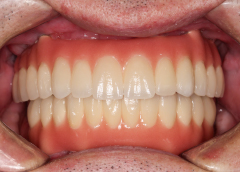
  • Phương hướng điều trị:Cấy ghép Implant All On 6 cho cả 2 hàm và phục hình răng sứ cố định.
  • Trụ Implant sử dụng:Implant Mis C1 Đức
  • Răng sứ sử dụng:Răng toàn sứ Nacera Pearl Đức

ĐỘI NGŨ THỰC HIỆN

  • Nguyễn Hiếu Tùng (Cấy Ghép Implant)
    Cấy ghép implant Tiến sĩ - Bác sĩ NGUYỄN HIẾU TÙNG
  • Mai Hồng Thái Phục Hình Sứ Trên Implant
    Phục hình sứ trên implant Bác sĩ CK1 MAI HỒNG THÁI
  • Đinh Thị Yến Nhi Q 5
    Phụ tá chính ĐINH THỊ YẾN NHI
  • Trần Thị Xuân Hương
    Chăm sóc khách hàng TRẦN THỊ XUÂN HƯƠNG
Chú: NGUYỄN PHƯỚC BẢO TÙNG
Việt Kiều Canada
  • Cấy 2 hàm All on 6 Implant Mis C1 Đức
  • Phục hình răng toàn sứ Nacera Pearl Đức

Mất răng từ rất lâu và cũng như bao cô chú lớn tuổi khác, chú Bảo Tùng lựa chọn làm hàm giả tháo lắp, với mong muốn có thể cải thiện phần nào thẩm mỹ và ăn nhai.

Tuy nhiên, chú Tùng đâu ngờ rằng việc sử dụng hàm tháo lắp lại dẫn đến nhiều biến chứng. Đầu tiên, do không được gắn cố định nên răng giả rất lỏng lẻo, chú không thể ăn được nhiều loại thịt vì răng yếu và cấn vào nướu gây đau. Chú chỉ có thể xay nhuyễn hoặc lựa những món ăn mềm như sữa, súp, cháo… để ăn. Lâu dần khiến chú cũng chán ăn và cảm thấy cơ thể không còn khỏe mạnh như trước.

“Hàm tháo lắp chỉ cho mình cái ăn uống tạm thời, còn hơn là không có răng. Nhưng nó chỉ đại khái được 30 – 40% như người có răng thật. Thường ngày chú cũng chỉ ăn cho qua bữa, chứ không hề thấy ngon miệng chút nào.”

Dùng hàm tháo lắp còn khiến cho phần nướu teo đi nhanh hơn và làm khuôn mặt của chú Tùng bị móm, trông già đi rất nhiều. Ngoài ra, phần hàm giả lệch màu còn dễ bị lộ ra ngoài khi cười, nói trông kém tự nhiên. Khiến chú cũng ngại giao tiếp với mọi người xung quanh.

Suốt thời gian dài dùng hàm tháo lắp thật sự đã ảnh hưởng rất nhiều đến sức khỏe và tinh thần của chú Bảo Tùng. Đồng thời chú còn tốn thêm nhiều chi phí khi phải làm đi làm lại hàm giả mà vẫn không như ý muốn.

Để chấm dứt hết những bất tiện, âu lo khi sử dụng hàm tháo lắp, chú Tùng đã tìm đến phương pháp cấy ghép Implant. Do đã có nhiều người thân, bạn bè sử dụng phương án này và đều phản hồi là rất tốt.

Trong lúc tìm hiểu, chú Tùng cũng biết được nha khoa I-Dent là một địa chỉ chuyên sâu về trồng răng Implant tại Việt Nam, cùng lời giới thiệu từ người bạn thân, nên đã quyết định chọn I-Dent là nơi để gửi gắm mong muốn về một bữa cơm ngon của mình.

Để đáp lại sự tin tưởng của chú Tùng, đội ngũ I-Dent đã nỗ lực giúp chú kiến tạo hàm răng mới chắc khỏe, thẩm mỹ hơn. Và kết quả sau cùng khiến chú rất hài lòng, khi có thể ăn uống thoải mái như lúc chưa mất răng.

BAN BIÊN TẬP I-DENT
NHA KHOA I-DENT HỆ THỐNG NHA KHOA TIÊU CHUẨN QUỐC TẾ
CHUYÊN SÂU IMPLANT DÀNH CHO NGƯỜI VIỆT
  • Cơ sở 1:19V Nguyễn Hữu Cảnh, P.19, Q.Bình Thạnh, TP.Hồ Chí Minh
  • Cơ sở 2:193A-195 Hùng Vương, P.9, Quận 5, TP.Hồ Chí Minh
  • Cơ sở 3:83 Đường số 3 Khu dân cư Cityland, P.10, Q.Gò Vấp, TP.Hồ Chí Minh

    NHẬN TƯ VẤN MIỄN PHÍ TỪ CHUYÊN GIA ĐẶT LỊCH HẸN THĂM KHÁM NGAY
    Vấn đề quan tâm