CÂU CHUYỆN KHÁCH HÀNG

CHÚ VŨ PHI HÙNG (TP HCM)

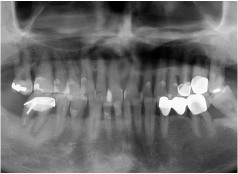
TÓM TẮT KẾ HOẠCH ĐIỀU TRỊ

  • Tình trạng răng trước đây:Mất nhiều răng, bị tiêu xương hàm
  • Bác sĩ chỉ định:Cấy ghép 6 trụ Implant
  • Implant sử dụng:Implant Mis C1 Đức
  • Răng sứ sử dụng:Răng sứ Titan Mỹ

ĐỘI NGŨ THỰC HIỆN

  • Nguyễn Hiếu Tùng (Cấy Ghép Implant)
    Cấy ghép implant Tiến sĩ - Bác sĩ NGUYỄN HIẾU TÙNG
  • Mai Hồng Thái Phục Hình Sứ Trên Implant
    Phục hình sứ trên implant Bác sĩ CK1 MAI HỒNG THÁI
  • Đinh Thị Yến Nhi Q 5
    Phụ tá chính ĐINH THỊ YẾN NHI
  • Nguyễn Thị Thu Hòa
    Chăm sóc khách hàng NGUYỄN THỊ THU HÒA
Chú: VŨ PHI HÙNG
TP HCM
  • Cấy ghép 6 trụ Implant loại Implant Mis C1 Đức
  • Phục hình răng sứ loại răng sứ Titan Mỹ

Đã từng tìm hiểu qua một số nha khoa để cấy ghép Implant, chú Phi Hùng (Quận 11, TP HCM) xem được nhiều quảng cáo về Implant giá rẻ rất hấp dẫn. Tuy nhiên, bản thân là một người kỹ tính và luôn đặt sức khỏe lên hàng đầu, chú Hùng cảm thấy băn khoăn, lo lắng về chất lượng dịch vụ của những địa chỉ giá rẻ.

Khi thực hiện các dịch vụ liên quan đến sức khỏe, chú Hùng luôn tìm hiểu và lựa chọn rất cẩn thận, đặc biệt là những vấn đề về răng miệng. Bởi với chú, chỉ khi có hàm răng cứng chắc thì mới có thể ăn uống thoải mái, hấp thu đủ chất dinh dưỡng và giúp cơ thể khỏe mạnh hơn.

Vì vậy, khi có dự định trồng răng Implant, chú Dũng đã dành thời gian tìm hiểu và tư vấn ở vài nha khoa khác nhau. Nhằm chọn ra được địa chỉ có chất lượng tốt và chi phí phù hợp.

“Chú chỉ chọn những cơ sở chuyên về Implant, bởi chú không phải chỉnh răng, niềng răng hay nhổ răng. Với cái chuyện chú quan tâm nhiều nhất là sợ bị nhiễm trùng sau khi cấy Implant, nên càng phải chọn cho được nha khoa uy tín, chứ không phải giá rẻ”. 

Khi chú so sánh giữa một vài nha khoa, chú dành nhiều thiện cảm và đánh giá I-Dent cao hơn. Bởi theo chú, I-Dent có cơ sở vật chất khang trang, hiện đại, đồng thời có người cấy ghép Implant là bác Tùng tu nghiệp ở bên Pháp về.

Một yếu tố quan trọng nữa để chú quyết định chọn I-Dent trồng răng chính là khi đến trực tiếp nha khoa, gặp được bác sĩ Thái tư vấn rất chuyên nghiệp, tận tình, cho chú biết được phác đồ điều trị rõ ràng. Từ đó tạo cho chú Hùng cảm giác an tâm, tin cậy.

Không còn ngần ngại thêm nữa, chú quyết định cắm ghép 6 trụ Implant theo chỉ định của bác sĩ. Cả trước và trong suốt toàn bộ quá trình phẫu thuật, chú hoàn toàn thoải mái, không hề lo sợ bởi tin tưởng tuyệt đối vào tay nghề của bác sĩ Tùng.

Kết quả nhận được cũng đúng như mong muốn của chú. Trụ Implant tích hợp thành công vào xương hàm, sau 4 tháng đã có thể gắn răng sứ cố định và chú ăn uống thoải mái ngay sau đó. Từ ngày có hàm răng mới chắc khỏe, chú Hùng không còn phải chịu nỗi cám cảnh đau nhức mỗi khi ăn uống, nhờ đó tâm lý cũng thoải mái hơn rất nhiều.

Đội ngũ I-Dent thật sự hạnh phúc khi nhận được niềm tin từ chú Hùng và đã cố gắng nỗ lực hết mình để mang đến hàm răng mới hoàn hảo cho chú. Chúc chú cùng gia đình luôn khỏe mạnh, bình an và hạnh phúc!

BAN BIÊN TẬP I-DENT
NHA KHOA I-DENT HỆ THỐNG NHA KHOA TIÊU CHUẨN QUỐC TẾ
CHUYÊN SÂU IMPLANT DÀNH CHO NGƯỜI VIỆT
  • Cơ sở 1:19V Nguyễn Hữu Cảnh, P.19, Q.Bình Thạnh, TP.Hồ Chí Minh
  • Cơ sở 2:193A-195 Hùng Vương, P.9, Quận 5, TP.Hồ Chí Minh
  • Cơ sở 3:83 Đường số 3 Khu dân cư Cityland, P.10, Q.Gò Vấp, TP.Hồ Chí Minh

    NHẬN TƯ VẤN MIỄN PHÍ TỪ CHUYÊN GIA ĐẶT LỊCH HẸN THĂM KHÁM NGAY
    Vấn đề quan tâm