CÂU CHUYỆN KHÁCH HÀNG

CÔ BẠCH THÚY (VŨNG TÀU)

TÓM TẮT KẾ HOẠCH ĐIỀU TRỊ

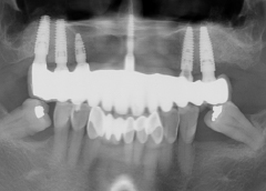
  • Tình trạng mất răng:Mất răng toàn hàm lâu năm và tiêu xương hàm nặng.
  • Phương hướng điều trị:Cấy răng Implant toàn hàm trên (All On 6 ) và phục hình hàm sứ cố định.
  • Trụ Implant sử dụng:Implant Mis C1 Đức và răng sứ Titan Mỹ.
  • Răng sứ sử dụng:Phục hình răng sứ Titan Mỹ

ĐỘI NGŨ THỰC HIỆN

  • Nguyễn Hiếu Tùng (Cấy Ghép Implant)
    Cấy ghép implant Tiến sĩ - Bác sĩ NGUYỄN HIẾU TÙNG
  • Mai Hồng Thái Phục Hình Sứ Trên Implant
    Phục hình sứ trên implant Bác sĩ CK1 MAI HỒNG THÁI
  • Đinh Thị Yến Nhi Q 5
    Phụ tá chính ĐINH THỊ YẾN NHI
  • Phạm Thị Ngọc Trang
    Chăm sóc khách hàng PHẠM THỊ NGỌC TRANG
Cô: BẠCH THÚY
Vũng Tàu
  • Cấy Implant All on 6 hàm trên trụ Implant Mis C1 Đức
  • Phục hình răng sứ Titan Mỹ

Mất răng toàn hàm và phải sử dụng hàm tháo lắp lâu năm không chỉ khiến cô Bạch Thúy ăn nhai khó khăn, mà còn gặp biến chứng tiêu xương nghiêm trọng. Khiến khuôn mặt của cô bị hóp một bên má và trông già hơn tuổi thật rất nhiều.

“Trước cô cũng sợ trồng răng Implant bị dị ứng, không thích hợp với cơ thể, nhưng mà giờ dùng hàm tháo lắp hết được rồi, nên quyết định làm Implant dùng xem có tốt không”

Cơ duyên đến với cô trong một lần tìm kiếm nha khoa trồng răng Implant và biết đến Bác sĩ Hiếu Tùng đã có 10 năm tu nghiệp Implant tại Pháp. Vì thế, cô quyết định đặt niềm tin vào I-DENT giữa rất nhiều nha khoa mà cô đã tìm kiếm.

Kết thúc quá trình trồng răng, cô Bạch Thúy đã có thể ăn uống thoải mái và tự tin hơn với nụ cười của mình. Cô cũng không quên gửi lời cảm ơn đến bác sĩ và đội ngũ nha khoa I-DENT đã luôn tận tâm và chu đáo.

BAN BIÊN TẬP I-DENT
NHA KHOA I-DENT HỆ THỐNG NHA KHOA TIÊU CHUẨN QUỐC TẾ
CHUYÊN SÂU IMPLANT DÀNH CHO NGƯỜI VIỆT
  • Cơ sở 1:19V Nguyễn Hữu Cảnh, P.19, Q.Bình Thạnh, TP.Hồ Chí Minh
  • Cơ sở 2:193A-195 Hùng Vương, P.9, Quận 5, TP.Hồ Chí Minh
  • Cơ sở 3:83 Đường số 3 Khu dân cư Cityland, P.10, Q.Gò Vấp, TP.Hồ Chí Minh

    NHẬN TƯ VẤN MIỄN PHÍ TỪ CHUYÊN GIA ĐẶT LỊCH HẸN THĂM KHÁM NGAY
    Vấn đề quan tâm