CÂU CHUYỆN KHÁCH HÀNG

CÔ BÀNH THÙY HƯƠNG (TP HCM)

TÓM TẮT KẾ HOẠCH ĐIỀU TRỊ

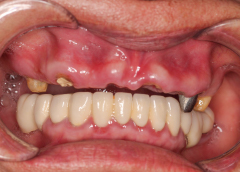
  • Tình trạng mất răng:Mất răng R12, R14, R16 đến R18, R24 và R26 đến R28. Từng làm cầu răng sứ bị viêm nha chu.
  • Phương hướng điều trị:Nhổ các răng bị nhiễm trùng, lung lay và cấy 5 trụ Implant để khôi phục răng mất.
  • Trụ Imlant sử dụng:Implant Mis C1 Đức
  • Răng sứ sử dụng:Phục hình răng sứ Zirconia Đức

ĐỘI NGŨ THỰC HIỆN

  • Nguyễn Hiếu Tùng (Cấy Ghép Implant)
    Cấy ghép implant Tiến sĩ - Bác sĩ NGUYỄN HIẾU TÙNG
  • Mai Hồng Thái Phục Hình Sứ Trên Implant
    Phục hình sứ trên implant Bác sĩ CK1 MAI HỒNG THÁI
  • Đinh Thị Yến Nhi Q 5
    Phụ tá chính ĐINH THỊ YẾN NHI
  • Trần Thị Xuân Hương
    Chăm sóc khách hàng TRẦN THỊ XUÂN HƯƠNG
Cô: BÀNH THÙY HƯƠNG
TP.HCM
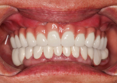
  • Cấy ghép 5 trụ Implant Mis C1 Đức
  • Phục hình răng sứ Zirconia Đức

Cách đây 10 năm khi chưa biết nhiều về phương án Implant, cô Thùy Hương đã chọn cầu răng sứ để làm lại 4 răng đã mất.

Để sau này phải tiếc nuối: “Cô uổng công làm cầu răng sứ lắm, vừa không chắc chắn, còn phải mài mấy cái răng làm trụ rồi mới gắn răng sứ lên được. Làm nó mau hư hơn.”

Quá nhiều khó khăn và thường xuyên đau nhức, khó chịu, lần này cô Hương quyết tâm trồng Implant, xóa bỏ bất tiện khi dùng cầu răng sứ.

BAN BIÊN TẬP I-DENT
NHA KHOA I-DENT HỆ THỐNG NHA KHOA TIÊU CHUẨN QUỐC TẾ
CHUYÊN SÂU IMPLANT DÀNH CHO NGƯỜI VIỆT
  • Cơ sở 1:19V Nguyễn Hữu Cảnh, P.19, Q.Bình Thạnh, TP.Hồ Chí Minh
  • Cơ sở 2:193A-195 Hùng Vương, P.9, Quận 5, TP.Hồ Chí Minh
  • Cơ sở 3:83 Đường số 3 Khu dân cư Cityland, P.10, Q.Gò Vấp, TP.Hồ Chí Minh

    NHẬN TƯ VẤN MIỄN PHÍ TỪ CHUYÊN GIA ĐẶT LỊCH HẸN THĂM KHÁM NGAY
    Vấn đề quan tâm