CÂU CHUYỆN KHÁCH HÀNG

CÔ BÙI THỊ LUYẾN (NHA TRANG)

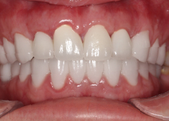
TÓM TẮT KẾ HOẠCH ĐIỀU TRỊ

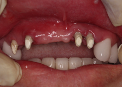
  • Tình trạng mất răng:Mất hết răng hàm trên và tụt nướu do mang hàm tháo lắp lâu năm.
  • Phương hướng điều trị:Phục hồi răng mất hàm trên bằng phương án Implant All On 6. Cấy 6 trụ Implant và phục hình hàm sứ cố định.
  • Trụ Implant sử dụng:Implant Mis C1 Đức
  • Răng sứ sử dụng:Răng sứ Titan Mỹ

ĐỘI NGŨ THỰC HIỆN

  • Nguyễn Hiếu Tùng (Cấy Ghép Implant)
    Cấy ghép implant Tiến sĩ - Bác sĩ NGUYỄN HIẾU TÙNG
  • Mai Hồng Thái Phục Hình Sứ Trên Implant
    Phục hình sứ trên implant Bác sĩ CK1 MAI HỒNG THÁI
  • Đinh Thị Yến Nhi Q 5
    Phụ tá chính ĐINH THỊ YẾN NHI
  • Trần Thị Xuân Hương
    Chăm sóc khách hàng TRẦN THỊ XUÂN HƯƠNG
Cô: BÙI THỊ LUYẾN
Nha Trang
  • Cấy ghép 6 trụ Implant Mis C1 Đức
  • Phục hình răng sứ Titan Mỹ

Hồi còn trẻ do chủ quan và không có ý thức vệ sinh răng miệng kỹ lưỡng, nên vừa qua tuổi 40, hàm răng của cô Luyến đã bắt đầu hư hỏng nặng. Không chỉ thường xuyên ê buốt, đau nhức, nhiều răng còn bị lung lay và dần gãy rụng.

Ở thời điểm mới mất răng, cô Luyến cũng chỉ biết đến phương án hàm giả tháo lắp và lựa chọn để phục hình cho các răng mất. Thế nhưng, chỉ sử dụng được khoảng 3 năm là cô phải thay lại hàm mới. Bởi hàm cũ đã bắt đầu lỏng lẻo, không còn bám vào nướu nên sức nhai yếu và dễ rơi rớt. Chưa kể phần nướu cũng bắt đầu teo đi, khiến cho khuôn mặt của cô Luyến bị móm và hai má hóp vào.

“Hồi đầu mới mang hàm tháo lắp tưởng sẽ ăn nhai được, với cũng che đi được mấy cái răng mất của mình, nhưng dùng rồi mới thấy rất bất tiện. Cô nhai hay cắn thức ăn bình thường còn khó, chứ đừng nói đến mấy đồ cứng, dai hơn. Cái hàm nhựa nó còn không thẩm mỹ nữa, cười lên là thấy lộ răng giả liền.”

Sau khi thay đến hàm tháo lắp thứ 3 và không có dấu hiệu tốt hơn, cô Luyến mới quyết định tìm hiểu về phương pháp trồng răng Implant cố định. Biết được đây là phương án hiện đại nhất hiện nay, có thể giúp cô ăn uống tốt hơn và sử dụng cho đến trọn đời mà không cần thay mới.

Gạt qua nỗi sợ đau, sợ không tương thích với cơ thể, cô Luyến đã lựa chọn trồng Implant tại nha khoa I-Dent.

Sau khi hoàn tất quá trình trồng răng, cô Luyến đã cảm nhận được sự thay đổi rõ rệt. Cô ăn uống ngon miệng hơn, thưởng thức đều nhiều món ăn mà trước đây phải kiêng cử bởi hàm răng yếu. Cũng nhờ đó, tinh thần trở nên thoải mái và vui vẻ hơn.

“Cô hài lòng với răng Implant lắm, nên cô muốn nhắn gửi đến các cô chú khác là nên tranh thủ lúc còn khỏe hãy đi trồng Implant để có thể tận hưởng cuộc sống trọn vẹn hơn.”

Nha khoa I-Dent cũng rất hạnh phúc vì được đồng hành cùng cô Luyến trên hành trình tìm lại nụ cười mới, giúp cho cô tận hưởng cuộc sống trung niên trọn vẹn và khỏe khoắn hơn.

BAN BIÊN TẬP I-DENT
NHA KHOA I-DENT HỆ THỐNG NHA KHOA TIÊU CHUẨN QUỐC TẾ
CHUYÊN SÂU IMPLANT DÀNH CHO NGƯỜI VIỆT
  • Cơ sở 1:19V Nguyễn Hữu Cảnh, P.19, Q.Bình Thạnh, TP.Hồ Chí Minh
  • Cơ sở 2:193A-195 Hùng Vương, P.9, Quận 5, TP.Hồ Chí Minh
  • Cơ sở 3:83 Đường số 3 Khu dân cư Cityland, P.10, Q.Gò Vấp, TP.Hồ Chí Minh

    NHẬN TƯ VẤN MIỄN PHÍ TỪ CHUYÊN GIA ĐẶT LỊCH HẸN THĂM KHÁM NGAY
    Vấn đề quan tâm