CÂU CHUYỆN KHÁCH HÀNG

CÔ HUỲNH KIM LIÊN (VIỆT KIỀU MỸ)

TÓM TẮT KẾ HOẠCH ĐIỀU TRỊ

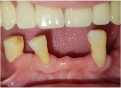
  • Tình trạng răng trước đây:Mất hết răng 2 hàm, sử dụng hàm tháo lắp lâu năm bị tiêu xương
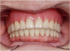
  • Bác sĩ chỉ định:Cấy ghép 2 hàm Implant All On 4
  • Implant sử dụng:Implant Straumann
  • Răng sứ sử dụng:Răng toàn sứ Nacera Pearl Đức

ĐỘI NGŨ THỰC HIỆN

  • Nguyễn Hiếu Tùng (Cấy Ghép Implant)
    Cấy ghép implant Tiến sĩ - Bác sĩ NGUYỄN HIẾU TÙNG
  • Hoàng Nguyễn Đình Tín Phục Hình Sứ Implant
    Phục hình sứ trên implant Bác sĩ CK1 HOÀNG NGUYỄN ĐÌNH TÍN
  • Phan Thị Mỹ Duyên Quận Gò Vấp
    Phụ tá chính PHAN THỊ MỸ DUYÊN
  • Trần Thị Xuân Hương
    Chăm sóc khách hàng TRẦN THỊ XUÂN HƯƠNG
Cô: Huỳnh Kim Liên
Việt Kiều Mỹ
  • Cấy ghép 2 hàm Implant All On 4
  • Phục hình răng sứ trên implant

Ở tuổi 70, với cô Kim Liên sức khỏe là điều quan trọng nhất. Cô cũng quan niệm, để có sức khỏe tốt thì hàm răng phải ăn uống dễ dàng, thoải mái. Đây cũng là lý do cô quyết định trồng răng Implant và phải lựa chọn đúng nha khoa chất lượng, uy tín để thực hiện, đảm bảo cho kết quả thành công.

Khi quyết định về nước để trồng răng Implant, cô Liên tìm hiểu thông tin về các nha khoa, đặc biệt là tay nghề của bác sĩ rất kỹ lưỡng. “Cô muốn tìm một bác sĩ nha khoa thật là tốt, nhất là làm Implant cho cô. Cô không ngại trả tiền, mà về kiếm không có đúng bác sĩ để làm cho mình rất là ngại” – là chia sẻ từ cô Liên.

Nhờ người cháu họ giới thiệu, cô có cơ duyên biết đến nha khoa I-Dent. Sau khi tìm hiểu về bằng cấp, kinh nghiệm của đội ngũ bác sĩ cũng như phản hồi từ bệnh nhân đã thực hiện, cô Liên chọn đến I-Dent để thăm khám.

Không phụ lại kỳ vọng của cô, từ bác sĩ tư vấn cho đến các bạn lễ tân, phụ tá đều làm việc rất chuyên nghiệp, nhiệt tình. Cùng với cơ sở vật chất tại nha khoa hiện đại, mang đến cho cô Kim Liên trải nghiệm hài lòng và sự an tâm tuyệt đối.

Cô rất may mắn là lựa được I-Dent và được đội ngũ bác sĩ Tùng, bác sĩ Tín cùng các bạn nhân viên chăm sóc cô rất là tốt. Phục vụ khách hàng tận tâm, niềm nở”.

Đặt niềm tin vào Tiến sĩ – Bác sĩ Nguyễn Hiếu Tùng, cô Liên trải qua quá trình cắm trụ Implant hoàn toàn nhẹ nhàng, không hề sưng đau hay xảy ra biến chứng. Trụ răng cũng nhanh chóng tích hợp cứng chắc, ổn định trong xương hàm, giúp giai đoạn phục hình sứ diễn ra thuận lợi.

Hiện tại, với hàm răng mới chắc khỏe, cô Kim Liên không chỉ ăn uống thoải mái mà còn tự tin cười nói khi nhận được nhiều lời khen từ gia đình, bạn bè. Cũng nhờ đó mà sức khỏe ngày càng tốt hơn, cô cũng thêm vui vẻ yêu đời.

Đội ngũ I-Dent cũng rất hạnh phúc khi nhận được lời nhắn gửi yêu thương từ cô Kim Liên: “I love you bác sĩ Tùng và bác sĩ Tín, I love you I-Dent”. Cùng lắng nghe thêm nhiều chia sẻ từ cô trong video nhé.

BAN BIÊN TẬP I-DENT
NHA KHOA I-DENT HỆ THỐNG NHA KHOA TIÊU CHUẨN QUỐC TẾ
CHUYÊN SÂU IMPLANT DÀNH CHO NGƯỜI VIỆT
  • Cơ sở 1:19V Nguyễn Hữu Cảnh, P.19, Q.Bình Thạnh, TP.Hồ Chí Minh
  • Cơ sở 2:193A-195 Hùng Vương, P.9, Quận 5, TP.Hồ Chí Minh
  • Cơ sở 3:83 Đường số 3 Khu dân cư Cityland, P.10, Q.Gò Vấp, TP.Hồ Chí Minh

    NHẬN TƯ VẤN MIỄN PHÍ TỪ CHUYÊN GIA ĐẶT LỊCH HẸN THĂM KHÁM NGAY
    Vấn đề quan tâm