CÂU CHUYỆN KHÁCH HÀNG

CÔ NGUYỄN THỊ HUỆ (TP.HCM)

TÓM TẮT KẾ HOẠCH ĐIỀU TRỊ

  • Tình trạng răng trước đây:Mất 2 răng hàm trên và 1 răng hàm dưới
  • Bác sĩ chỉ định:Cấy ghép 3 trụ Implant
  • Implant sử dụng:Implant Straumann Thụy Sỹ
  • Răng sứ sử dụng:Răng toàn sứ Nacera Pearl Đức

ĐỘI NGŨ THỰC HIỆN

  • Nguyễn Hiếu Tùng (Cấy Ghép Implant)
    Cấy ghép implant Tiến sĩ - Bác sĩ NGUYỄN HIẾU TÙNG
  • Bác Sĩ Lê Đỗ Tuấn Kiệt Phục Hình Sứ Trên Implant
    Phục hình sứ trên Implant Thạc sĩ - Bác sĩ LÊ ĐỖ TUẤN KIỆT
  • Phạm Thị Ngọc Thanh Bình Thạnh
    Phụ tá chính PHẠM THỊ NGỌC THANH
  • Nguyễn Thị Thu Hòa
    Chăm sóc khách hàng NGUYỄN THỊ THU HÒA
Cô: NGUYỄN THỊ HUỆ
TP HCM
  • Cấy ghép 3 trụ Implant
  • Phục hình răng sứ trên implant

Là người có cơ địa nhạy cảm và tâm lý luôn sợ đau, vì vậy cô Huệ đã lựa chọn làm hàm tháo lắp khi bị mất răng thay vì cấy ghép Implant. Tuy nhiên, những biến chứng sau đó lại khiến cô hối hận vì quyết định của mình.

Trước đây vì chủ quan trong việc ăn uống và chăm sóc răng miệng không kỹ lưỡng, dẫn tới nhiều răng của cô Huệ bị sâu nặng, vỡ mẻ gần hết, bác sĩ chỉ có thể nhổ bỏ để ngăn chặn viêm tủy.

Cũng bởi quá trình nhổ răng đau nhức khiến cô bị “ám ảnh”, nên khi lựa chọn phương án để phục hình răng, cô đã làm hàm tháo lắp thay vì cấy Implant như bác sĩ tư vấn. “Cô nghe nói Implant là phải phẫu thuật khoan xương các kiểu nên không dám làm, cô sợ đau lắm. Cũng sợ không hợp với mình rồi ảnh hưởng sức khỏe”.

Nghĩ rằng hàm tháo lắp có thể khôi phục được phần nào khả năng ăn nhai và thẩm mỹ, nên cô chọn thực hiện. Thế nhưng, chỉ sau một thời gian sử dụng, cô mới nhận ra có quá nhiều nỗi bất tiện.

Đầu tiên, sức nhai của cô Huệ bị giảm đi nhiều. Do răng tháo lắp không cố định, lỏng lẻo, hầu như không thể ăn được các đồ cứng, dai, càng cố nhai thì càng gây đau nhức. Vì vậy, cô phải dần từ bỏ nhiều món ăn yêu thích.

Tiếp nữa, khi dùng răng tháo lắp vì việc vệ sinh không hề dễ dàng. “Cô phải tháo ra tháo vô nhiều lần trong ngày để vệ sinh răng, vì thức ăn dễ mắc lại lắm. Lâu ngày lại có mùi hôi khó chịu, làm cô ngại nói chuyện với người khác luôn”.

Cô Huệ cùng mất thêm nhiều chi phí và thời gian để chỉnh sửa hay làm lại hàm mới, nhưng không có lần nào được như ý. Cả sức khỏe và tâm lý đều quá mệt mỏi, cô quyết tâm thay hàm tháo lắp bằng phương pháp cấy ghép Implant mà trước đây không dám thực hiện.

Đặt niềm tin vào nha khoa I-Dent và Tiến sĩ-Bác sĩ Nguyễn Hiếu Tùng, cô Huệ đã nhận lại kết quả trồng răng đúng như mong muốn.

Nhờ các bác sĩ động viên nên cô cũng thoải mái, đỡ lo hơn. Bác sĩ Tùng cũng rất mát tay nữa, làm êm lắm, không hề đau như cô từng sợ. Biết trước trồng Implant nhẹ nhàng hơn nhổ răng nhiều như vậy, cô đã làm sớm hơn rồi”.

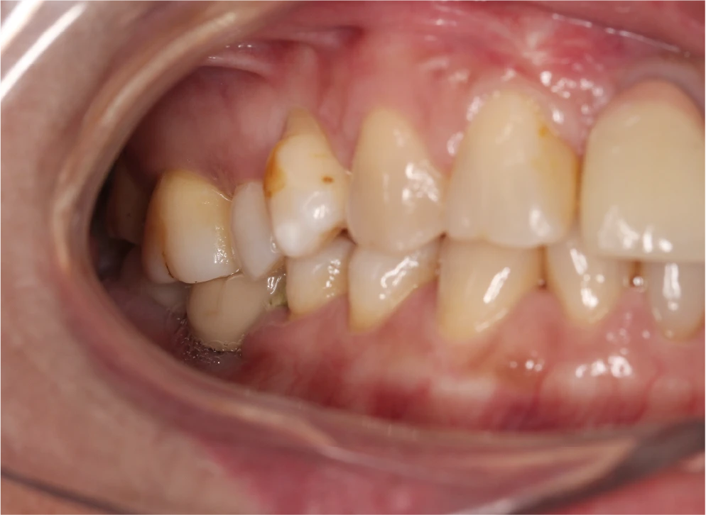
Răng Implant cố định, cứng chắc giúp cô Huệ ăn uống thoải mái, vệ sinh dễ dàng và sức khỏe tốt hơn. Giờ đây, cô Huệ đã lấy lại được tự tin vốn có, không còn phải lo lắng hay tâm lý mệt mỏi như trước đây!

BAN BIÊN TẬP I-DENT
NHA KHOA I-DENT HỆ THỐNG NHA KHOA TIÊU CHUẨN QUỐC TẾ
CHUYÊN SÂU IMPLANT DÀNH CHO NGƯỜI VIỆT
  • Cơ sở 1:19V Nguyễn Hữu Cảnh, P.19, Q.Bình Thạnh, TP.Hồ Chí Minh
  • Cơ sở 2:193A-195 Hùng Vương, P.9, Quận 5, TP.Hồ Chí Minh
  • Cơ sở 3:83 Đường số 3 Khu dân cư Cityland, P.10, Q.Gò Vấp, TP.Hồ Chí Minh

    NHẬN TƯ VẤN MIỄN PHÍ TỪ CHUYÊN GIA ĐẶT LỊCH HẸN THĂM KHÁM NGAY
    Vấn đề quan tâm