CÂU CHUYỆN KHÁCH HÀNG

CÔ NGUYỄN THỊ TƯ (TP HCM)

TÓM TẮT KẾ HOẠCH ĐIỀU TRỊ

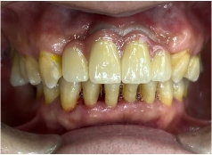
  • Tình trạng răng trước đây:Viêm nha chu, mất nhiều răng và tiêu xương hàm
  • Bác sĩ chỉ định:Cấy ghép Implant toàn hàm All On 4
  • Implant sử dụng:Implant Straumann Thụy Sỹ
  • Răng sứ sử dụng:Răng sứ Titan Mỹ

ĐỘI NGŨ THỰC HIỆN

  • Nguyễn Hiếu Tùng (Cấy Ghép Implant)
    Cấy ghép implant Tiến sĩ - Bác sĩ NGUYỄN HIẾU TÙNG
  • Hoàng Nguyễn Đình Tín Phục Hình Sứ Implant
    Phục hình sứ trên implant Bác sĩ CK1 HOÀNG NGUYỄN ĐÌNH TÍN
  • Phan Thị Mỹ Duyên Quận Gò Vấp
    Phụ tá chính PHAN THỊ MỸ DUYÊN
  • Phạm Thị Ngọc Trang
    Chăm sóc khách hàng PHẠM THỊ NGỌC TRANG
Cô: Nguyễn Thị Tư
TP.HCM
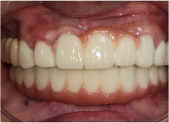
  • Cấy ghép Implant toàn hàm All On 4
  • Phục hình răng sứ trên implant

Không chỉ có cơ địa nhạy cảm, cô Nguyễn Thị Tư còn có nỗi sợ đau, sợ biến chứng khi nghĩ đến việc phẫu thuật cấy ghép Implant. Chỉ khi đến I-Dent, suy nghĩ của cô mới được thay đổi hoàn toàn.

Hồi còn trẻ, cô Tư không quan tâm nhiều đến sức khỏe răng miệng. Đặc biệt là trong việc vệ sinh răng hằng ngày. Đến khi lớn tuổi, những biến chứng bắt đầu xảy ra. Cả hàm răng của cô bị tụt nướu, tiêu xương do viêm nha chu. Chân răng bị lung lay do nhiễm trùng, nhiều răng cứ thế rụng dần.

Chưa kể những cơn đau nhức răng khiến cô không thể ăn uống mà chỉ nuốt cho qua bữa, dẫn tới căn bệnh đau dạ dày hành hạ nhiều năm.

Chịu đựng nhiều nỗi khổ vì mất răng là thế, nhưng cô Tư lại chần chờ mãi chưa cấy ghép Implant dù biết phương pháp này đã lâu. Bởi: “Cô rất là sợ, tại vì cô rất yếu. Cô hay bệnh lắm, nên nghe phải phẫu thuật nên cô sợ lắm”.

Thêm một lý do mà cô Tư kéo dài thời gian trồng răng bởi chưa tìm thấy nha khoa thật sự tin tưởng và an tâm thực hiện.

Mãi đến khi con của cô giới thiệu nha khoa I-Dent và trực tiếp gặp bác sĩ tư vấn, cô đã thay đổi quyết định, tiến hành trồng Implant ngay.

Về lý do nhanh chóng lựa chọn I-Dent trồng răng, cô Tư chia sẻ: “Từ ngày đầu đến thăm khám, nha khoa cho cô cảm giác rất thoải mái, các bé lễ tân, phụ tá ai cũng dễ thương. Đặc biệt là bác sĩ Tín tư vấn rất giỏi, theo sát tình trạng của cô. Biết cô sợ đau nên lúc nào cũng nhẹ nhàng, động viên rất nhiều. Nên cô không ngần ngại nữa mà chọn I-Dent ngay”.

Trực tiếp Tiến sĩ – Bác sĩ Nguyễn Hiếu Tùng tiến hành cấy ghép Implant cho cô. Toàn bộ quá trình diễn ra nhanh chóng, chính xác và an toàn. Nhờ đặt niềm tin đúng chỗ, cô Tư nhận về kết quả thành công như mong đợi.

Làm răng không đau như cô vẫn sợ, thoải mái không gì hết. Cô công nhận lúc mà bác sĩ Tùng nhổ 8 cái răng, với đóng 4 cái trụ không có đau. 4 tháng sau lành nướu là bắt đầu gắn răng vô. Hàm răng của cô giờ rất đẹp, cô quá hài lòng”.

Hy vọng với hàm răng mới chắc chắn, cô Nguyễn Thị Tư có thể tận hưởng những bữa ăn ngon cùng gia đình và cải thiện sức khỏe tốt hơn. Đồng thời tự tin nở nụ cười mọi lúc mọi nơi mà không còn e ngại!

 

BAN BIÊN TẬP I-DENT
NHA KHOA I-DENT HỆ THỐNG NHA KHOA TIÊU CHUẨN QUỐC TẾ
CHUYÊN SÂU IMPLANT DÀNH CHO NGƯỜI VIỆT
  • Cơ sở 1:19V Nguyễn Hữu Cảnh, P.19, Q.Bình Thạnh, TP.Hồ Chí Minh
  • Cơ sở 2:193A-195 Hùng Vương, P.9, Quận 5, TP.Hồ Chí Minh
  • Cơ sở 3:83 Đường số 3 Khu dân cư Cityland, P.10, Q.Gò Vấp, TP.Hồ Chí Minh

    NHẬN TƯ VẤN MIỄN PHÍ TỪ CHUYÊN GIA ĐẶT LỊCH HẸN THĂM KHÁM NGAY
    Vấn đề quan tâm