CÂU CHUYỆN KHÁCH HÀNG

CÔ PHẠM THỊ HỒNG PHƯƠNG (VIỆT KIỀU ÚC)

TÓM TẮT KẾ HOẠCH ĐIỀU TRỊ

  • Tình trạng răng trước đây:Mất nhiều răng lâu năm, tiêu xương hàm.
  • Bác sĩ chỉ định:Cấy ghép 6 trụ Implant.
  • Implant sử dụng: Implant Straumann Thụy Sỹ
  • Răng sứ sử dụng:Răng toàn sứ Nacera 9Max Đức

ĐỘI NGŨ THỰC HIỆN

  • Nguyễn Hiếu Tùng (Cấy Ghép Implant)
    Cấy ghép implant Tiến sĩ - Bác sĩ NGUYỄN HIẾU TÙNG
  • Mai Hồng Thái Phục Hình Sứ Trên Implant
    Phục hình sứ trên implant Bác sĩ CK1 MAI HỒNG THÁI
  • Phạm Thị Ngọc Thanh Bình Thạnh
    Phụ tá chính PHẠM THỊ NGỌC THANH
  • Nguyễn Thị Thu Hòa
    Chăm sóc khách hàng NGUYỄN THỊ THU HÒA
Cô: Phạm Thị Hồng Phương
Việt Kiều Úc
  • Cấy ghép 6 trụ implant Straumann Thụy Sỹ
  • Phục hình răng toàn sứ Nacera 9Max Đức

Giống như nhiều cô chú Việt kiều khác, cô Hồng Phương cũng lựa chọn dịp về nước du lịch để kết hợp trồng răng Implant. Bởi theo cô, ở nước ngoài làm răng luôn khó khăn hơn, chi phí cao và cũng tốn thời gian nhiều.

Trước khi về nước, cô Phương đã tìm hiểu kỹ lưỡng về phương án Implant, và biết rằng để đảm bảo kết quả thành công cũng như an toàn cho sức khỏe thì phải chọn đúng nha khoa uy tín, chất lượng.

Cô đặt ra cho mình 2 tiêu chí quan trọng khi lựa chọn địa chỉ cấy Implant. Đầu tiên, bác sĩ phải có trình độ chuyên môn cao, nhiều năm kinh nghiệm. Thứ hai, nha khoa phải có cơ sở vật chất hiện đại, máy móc tiên tiến.

“Cô cũng tham khảo qua vài nha khoa khác nhau, gọi điện cũng có, mà đến tư vấn trực tiếp cũng có. Bởi với cô hàm răng là rất quan trọng, lần làm lần khó, nên phải tìm hiểu nhiều để chọn được nơi uy tín”.

Sau cùng, cô đã chọn đặt niềm tin vào nha khoa I-Dent. Khi chia sẻ về lý do tại sao lại chọn I-Dent, cô Phương bộc bạch: “Điều cô hài lòng nhất chính là bác sĩ làm việc rất có tâm. Lúc nào cũng nói chuyện nhẹ nhàng, không bao giờ kêu làm thêm cái này, cái kia. Cô có thắc mắc gì cũng giải thích hết. Nhờ đó mà cô thấy an tâm hơn những nơi khác”.
Ngoài ra, cô cũng đánh giá cao về cơ sở vật chất khang trang tại nha khoa I-Dent, không hề thua kém so với Úc.

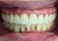
Cô Hồng Phương được chỉ định cấy ghép 6 trụ Implant Straumann SLActive Thụy Sỹ, loại trụ cao cấp nhất thế giới hiện nay. Nhờ đó rút ngắn được thời gian phục hình sứ và giúp cô sớm có được hàm răng mới ăn nhai cứng chắc.

“Sau khi làm răng cô ăn uống tốt hơn, thoải mái mà không kiêng cữ như trước, còn về thẩm mỹ thì gương mặt mình nó cũng đẹp lên, không còn hóp háp như trước kia. Nên mỗi khi ra ngoài cô cũng tự tin giao tiếp hơn” – cô Phương vui vẻ chia sẻ.

Hài lòng với kết quả trồng răng thành công và chất lượng dịch vụ tại I-Dent, cô cũng đưa ông xã cùng đến làm răng. Đồng thời sẵn sàng giới thiệu thêm người thân, bạn bè ở Úc về I-Dent.

Nha khoa I-Dent chân thành cảm ơn sự tin tưởng và yêu mến của cô Hồng Phương. Chúc cô luôn dồi dào sức khỏe, hạnh phúc và có thêm thật nhiều chuyến du lịch cùng gia đình thân yêu.

BAN BIÊN TẬP I-DENT
NHA KHOA I-DENT HỆ THỐNG NHA KHOA TIÊU CHUẨN QUỐC TẾ
CHUYÊN SÂU IMPLANT DÀNH CHO NGƯỜI VIỆT
  • Cơ sở 1:19V Nguyễn Hữu Cảnh, P.19, Q.Bình Thạnh, TP.Hồ Chí Minh
  • Cơ sở 2:193A-195 Hùng Vương, P.9, Quận 5, TP.Hồ Chí Minh
  • Cơ sở 3:83 Đường số 3 Khu dân cư Cityland, P.10, Q.Gò Vấp, TP.Hồ Chí Minh

    NHẬN TƯ VẤN MIỄN PHÍ TỪ CHUYÊN GIA ĐẶT LỊCH HẸN THĂM KHÁM NGAY
    Vấn đề quan tâm