CÂU CHUYỆN KHÁCH HÀNG

CÔ VÕ ANH ĐÀO (TP.HCM)

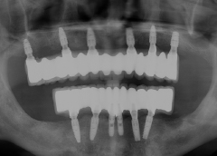
TÓM TẮT KẾ HOẠCH ĐIỀU TRỊ

  • Tình trạng mất răng:Mất toàn bộ răng hàm trên, từng mang hàm tháo lắp.
  • Phương hướng điều trị:Phục hình lại toàn bộ hàm trên bằng phương án cấy ghép Implant All On 6. Cắm 6 trụ Implant và phục hình hàm sứ cố định.
  • Trụ Imlant sử dụng:Implant Straumann Thụy Sỹ và răng sứ Zirconia Đức.
  • Răng sứ sử dụng:Phục hình răng sứ Zirconia Đức

ĐỘI NGŨ THỰC HIỆN

  • Nguyễn Hiếu Tùng (Cấy Ghép Implant)
    Cấy ghép implant Tiến sĩ - Bác sĩ NGUYỄN HIẾU TÙNG
  • Bác Sĩ Lê Đỗ Tuấn Kiệt Phục Hình Sứ Trên Implant
    Phục hình sứ trên Implant Thạc sĩ - Bác sĩ LÊ ĐỖ TUẤN KIỆT
  • Phạm Thị Ngọc Thanh Bình Thạnh
    Phụ tá chính PHẠM THỊ NGỌC THANH
  • Phạm Thị Phi Hoanh
    Chăm sóc khách hàng PHẠM THỊ PHI HOANH
Cô: VÕ ANH ĐÀO
TP.HCM
  • Cấy ghép 6 trụ implant hàm trên loại Implant Straumann Thụy Sỹ
  • Phục hình răng sứ Zirconia Đức

Trong vòng 10 năm phải thay mới 3 hàm tháo lắp, cùng những nỗi khổ kèm theo như: Hàm lỏng lẻo, lực nhai yếu, dễ bị nhét thức ăn gây cộm cấn và hôi miệng. Cô Anh Đào quyết tâm thay đổi với phương pháp cấy ghép Implant.

Sau khi quá trình trồng răng hoàn tất, cô rất hài lòng với hàm răng mới, không chỉ đẹp tự nhiên mà khi ăn uống cũng rất thoải mái, giúp cô khôi phục lại vị giác.

Tinh thần của cô Đào cũng thoải mái hơn rất nhiều bởi có thể ăn ngon, ngủ khỏe.

BAN BIÊN TẬP I-DENT
NHA KHOA I-DENT HỆ THỐNG NHA KHOA TIÊU CHUẨN QUỐC TẾ
CHUYÊN SÂU IMPLANT DÀNH CHO NGƯỜI VIỆT
  • Cơ sở 1:19V Nguyễn Hữu Cảnh, P.19, Q.Bình Thạnh, TP.Hồ Chí Minh
  • Cơ sở 2:193A-195 Hùng Vương, P.9, Quận 5, TP.Hồ Chí Minh
  • Cơ sở 3:83 Đường số 3 Khu dân cư Cityland, P.10, Q.Gò Vấp, TP.Hồ Chí Minh

    NHẬN TƯ VẤN MIỄN PHÍ TỪ CHUYÊN GIA ĐẶT LỊCH HẸN THĂM KHÁM NGAY
    Vấn đề quan tâm