
BÁC SĨ CKI ĐẠI HỌC Y DƯỢC TP HCM – ĐẶNG DUY TÙNG
CHUYÊN GIA CẤY GHÉP IMPLANT VÀ PHỤC HÌNH RĂNG SỨ
Bác sĩ CKI Đặng Duy Tùng đã có hơn 8 năm kinh nghiệm trong lĩnh vực nha khoa. Bác sĩ nổi tiếng với gu thẩm mỹ tinh tế cùng tay nghề khéo léo, giúp kiến tạo hơn 3,000 nụ cười mới. Hiện tại, bác sĩ Duy Tùng đang là chuyên gia cấy ghép Implant và phục hình sứ tại nha khoa I-DENT.
Mỗi bệnh nhân sẽ có tình trạng răng miệng và nhu cầu thẩm mỹ khác nhau. Do đó, để đạt hiệu quả cao nhất trong quá trình kiến tạo răng mới, bác sĩ phải biết dung hòa 2 yếu tố là tính thẩm mỹ và chức năng ăn nhai. Như vậy mới giúp đảm bảo sức khỏe lâu dài cho bệnh nhân
Bác sĩ CKI: ĐẶNG DUY TÙNG
BẰNG CẤP VÀ CHỨNG CHỈ CỦA BÁC SĨ CKI ĐẶNG DUY TÙNG

- Bác sĩ CKI RHM Đại học Y Dược TP HCM.
- Chứng chỉ Cấy ghép nha khoa BV RHM TW.
- Chứng chỉ Phẫu thuật tạo hình nha chu.
- Khóa học cấy ghép Implant nâng cao.
VỊ TRÍ CHUYÊN MÔN TẠI NHA KHOA I-DENT
Bác sĩ CKI Đặng Duy Tùng đang công tác tại nha khoa I-DENT, với vị trí bác sĩ chuyên môn về:
• Phục hình răng sứ trên Implant.
• Thẩm mỹ răng sứ/Veneer.
• Phẫu thuật nha chu.
Song song với quá trình làm việc, bác sĩ Tùng còn tham gia các khóa tu nghiệp cả trong và ngoài nước, giúp chuyên môn cũng như tay nghề càng được xây dựng một cách vững chắc.
Đặc biệt, những kỹ thuật khó như tạo hình, tái tạo dị tật bẩm sinh và các khuyết hổng vùng hàm mặt; cấy ghép xương nhân tạo, phục hình răng mất… đều được bác sĩ Duy Tùng thực hiện thành thạo.
Bên cạnh đó, bác sĩ Duy Tùng còn nghiên cứu và ứng dụng được nhiều công nghệ hiện đại giúp đảm bảo 3 tiêu chí quan trọng khi điều trị cho bệnh nhân: xâm lấn tối thiểu, thành công cao và phục hình toàn diện.
THỰC HIỆN NHIỀU CA ĐIỀU TRỊ KHÓ VÀ PHỨC TẠP
Tập trung nghiên cứu, học hỏi các kỹ thuật mới cùng với nỗ lực làm việc mỗi ngày, không ngại khó, ngại khổ, giúp bác sĩ Duy Tùng rèn luyện được tay nghề vững chắc. Nhờ đó, bác sĩ có thể tiên lượng cũng như xử lý được độ khó khăn, phức tạp của nhiều trường hợp bệnh khác nhau. Cụ thể như:
• Viêm nha chu nặng khiến nhiều răng lung lay.
• Ghép xương cho tình trạng tiêu xương nghiêm trọng.
• Bọc răng sứ bị biến chứng nhiễm trùng.
• Viêm tủy ngược dòng, tổn thương dây thần kinh hàm dưới.
• Nhiễm trùng quanh răng, có dấu hiệu áp xe răng.

Bác sĩ Tùng thực hiện thăm khám cho bệnh nhân
Nhiều trường hợp bác sĩ Tùng phải thực hiện cùng lúc các kỹ thuật khó mới có thể điều trị thành công, dứt điểm bệnh và đảm bảo an toàn cho sức khỏe răng miệng. Từ đó khôi phục lại chức năng ăn nhai và thẩm mỹ một cách toàn diện nhất.
Một yếu tố quan trọng khiến nhiều bệnh nhân tin tưởng và lựa chọn bác sĩ Tùng trong những lần sau chính là ở thao tác luôn nhẹ nhàng, biết điều chỉnh lực để giảm cảm giác đau cho người bệnh.
Chú Minh Hải
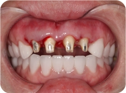
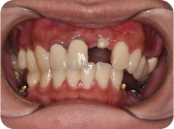
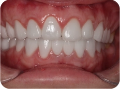
• Viêm nha chu và mất gần hết răng
Việt kiều Canada
Cách đây 3 năm, do bệnh lý viêm nha chu khiến hàm răng của chú Minh Hải bắt đầu hư hại và gãy rụng dần. Đến bây giờ hàm dưới của chú gần như mất hết răng.
Bước qua tuổi 60, chú mong muốn có thể thay đổi cuộc sống hiện tại của mình.
Với một hàm răng chắc khỏe hơn, ăn uống thoải mái hơn. Từ nỗi mong ước đó, chú Hải đã tìm đến phương án cấy ghép Implant. Với tình trạng của chú Hải, bác sĩ Duy Tùng chỉ định cấy ghép Implant All On 6, để đảm bảo lực nhai tốt nhất cho chú, cũng như hạn chế tình trạng tiêu xương hàm.
Chú thấy bác sĩ tay nghề rất là hoàn hảo, làm cho chú không biết gì hết. Yeah, nó không thấy đau, lạ lùng ở chỗ đó. Tới chừng chú xong rồi mới biết là bác sĩ vừa nhổ răng vừa cắm Implant cho chú, vậy mà lại rất nhẹ nhàng
Chị Ngọc Anh
• Răng lệch lạc và nhiễm màu kháng sinh
Việt Kiều Úc
Chị Ngọc Anh sử dụng nhiều thuốc kháng sinh từ nhỏ, khiến hàm răng bị nhiễm màu, trở nên ố vàng mất thẩm mỹ. Chưa kể răng còn mọc lệch lạc, gây khó khăn cho việc ăn uống và vệ sinh.
Với tình trạng này, bác sĩ Duy Tùng đã thực hiện kỹ thuật mài răng chuẩn tỷ lệ vàng, đảm bảo không xâm lấn nhiều đến cấu trúc răng thật. Sau đó, thiết kế form răng tròn tự nhiên và chọn tone màu trắng vừa đủ, giúp che đi màu ố vàng trên răng thật.
Giờ đây với nụ cười mới, chị Ngọc Anh đã tìm lại được niềm vui trong cuộc sống, tiếp tục tự tin với công việc và đam mê của chính mình.
Chị Mỹ Anh
• Muốn bọc sứ nhưng sợ mài răng!
TP Hồ Chí Minh
Mặc dù muốn cải thiện thẩm mỹ nụ cười với phương pháp bọc sứ, nhưng chị Mỹ Anh lại sợ việc phải mài răng quá nhiều, nên đã tìm đến bác sĩ Duy Tùng để được tư vấn phương án phù hợp.
Sau khi kiểm tra, bác sĩ nhận thấy hàm răng của chị không bị lệch lạc quá nhiều, nên chỉ định dán sứ Veneer để không phải mài răng và giúp cải thiện màu răng trắng sáng.
Chị Mỹ Anh chia sẻ rất vui vì có hàm răng mới:
Mình tới nha khoa sử dụng dịch vụ dán sứ cả 2 hàm và rất hài lòng với chất lượng dịch vụ. Bác sĩ Tùng luôn tận tâm, tận tình, thiết kế cho mình dáng răng cũng như màu sứ phù hợp với khuôn mặt



TINH THẦN NGHIÊN CỨU VÀ LÀM VIỆC NHIỆT HUYẾT, TẬN TÂM
Mong muốn đem lại quá trình điều trị nhanh chóng, không đau và an toàn, bác sĩ Đặng Duy Tùng luôn dành thời gian nghiên cứu hoặc tham gia vào các khóa đào tạo chuyên sâu. Để tiếp thu thêm nhiều công nghệ, kỹ thuật mới từ Mỹ, Châu Âu…
Sau đó, bác sĩ chủ động áp dụng trong quá trình khám chữa bệnh, để mang đến những trải nghiệm hài lòng nhất cho người bệnh.

Bác sĩ Đặng Duy Tùng tận tâm trong quá trình thăm khám, điều trị cho bệnh nhân
Dù công việc hàng ngày rất bận rộn nhưng bác sĩ Tùng luôn giữ vững tinh thần làm việc nhiệt huyết và tận tâm. Trước mỗi ca điều trị, bác sĩ đều thăm khám và phân tích kỹ lưỡng hình ảnh răng miệng của bệnh nhân trên film chụp. Để đưa ra các chẩn đoán chính xác và lên phác đồ điều trị phù hợp, đảm bảo tiết kiệm thời gian và tối ưu chi phí cho bệnh nhân.
Bên cạnh đó, khi bệnh nhân có bất kỳ thắc mắc nào hoặc gặp vấn đề sau điều trị, đều được bác sĩ Tùng nhanh chóng giải đáp và hỗ trợ. Mang đến cho người bệnh cảm giác an tâm tuyệt đối, không lo lắng bị bỏ mặc.
CÁC CA ĐIỀU TRỊ CỦA BÁC SĨ ĐẶNG DUY TÙNG
-


CHÚ MINH HẢI
VIỆT KIỀU CANADA
Phương án: Phục hình răng sứ trên implant toàn hàm
Loại răng sứ: Răng sứ Nacera PEARL -


CHỊ MINH HIẾU
TP.HCM
Phương án: Bọc răng sứ 4 răng
Loại răng sứ: Răng sứ Lava Plus -


CÔ NGUYỄN THỊ NHƯ
VIỆT KIỀU MỸ
Phương án: Phục hình răng sứ trên implant
Loại răng sứ: Răng sứ Zirconia DDBio -


CÔ THU THỦY
TP.HCM
Phương án: Bọc sứ toàn hàm 20 răng
Loại răng sứ: Răng toàn sứ Nacera 9Max Đức
CẢM NHẬN KHÁCH HÀNG DÀNH CHO BÁC SĨ CKI ĐẶNG DUY TÙNG




BÁO CHÍ ĐÁNH GIÁ VỀ BS CKI ĐẶNG DUY TÙNG
NHẬN TƯ VẤN MIỄN PHÍ TỪ CHUYÊN GIA
ĐẶT LỊCH HẸN THĂM KHÁM NGAY
Vui lòng để lại thông tin của quý khách.
Nha Khoa I-Dent sẽ liên hệ đến Quý Khách trong thời gian sớm nhất






