
![]()
THẠC SĨ – BÁC SĨ LÊ ĐỖ TUẤN KIỆT
CHUYÊN GIA CẤY GHÉP IMPLANT VÀ PHỤC HÌNH RĂNG SỨ
Với kiến thức chuyên môn cao, tay nghề giỏi và có hơn 6 năm kinh nghiệm trong lĩnh vực nha khoa, Thạc sĩ – Bác sĩ Lê Đỗ Tuấn Kiệt có thể tiếp nhận điều trị nhiều ca bệnh khó, giúp khôi phục lại chức năng ăn nhai cũng như tính thẩm mỹ hoàn hảo cho bệnh nhân.
Hiện tại, bác sĩ Tuấn Kiệt đang là Chuyên gia cấy ghép Implant và Phục hình răng sứ tại nha khoa I-DENT.

Nhiều bệnh nhân có nhu cầu cấy ghép Implant nhưng lại chần chừ chưa thực hiện bởi có tâm lý sợ đau, sợ ảnh hưởng sức khỏe. Vì thế, với vai trò là bác sĩ điều trị, tôi luôn đặt mình vào tâm lý của bệnh nhân để tư vấn, giải thích kỹ lưỡng cho người bệnh hiểu rõ về quá trình điều trị. Sẵn sàng giải đáp mọi thắc mắc để mang đến sự an tâm và thoải mái cho bệnh nhân.
Thạc sĩ – Bác sĩ Lê Đỗ Tuấn Kiệt
BẰNG CẤP VÀ CHỨNG CHỈ CỦA THẠC SĨ – BÁC SĨ LÊ ĐỖ TUẤN KIỆT

- Chứng chỉ hành nghề số: 2886/NT-CCHN
- Tốt nghiệp chuyên khoa RHM tại Đại học Y Dược Thành phố Hồ Chí Minh
- Bằng Thạc sĩ RHM Đại học Y Dược TPHCM
- Chứng chỉ cấy ghép nha khoa Đại học Y dược TPHCM
- Chứng chỉ đào tạo Kiểm soát nhiễm khuẩn bệnh viện tại Đại học Y Hà Nội
VỊ TRÍ CHUYÊN MÔN TẠI NHA KHOA I-DENT
Bác sĩ Lê Đỗ Tuấn Kiệt đang công tác tại nha khoa I-DENT, với vị trí bác sĩ chuyên môn về:
• Cấy ghép xương nhân tạo.
• Cấy ghép Implant.
• Phục hình răng sứ trên Implant và răng sứ thẩm mỹ/dán sứ Veneer.
THỰC HIỆN NHIỀU CA ĐIỀU TRỊ KHÓ VÀ PHỨC TẠP
Sau khi tốt nghiệp ĐH Y Dược TP.HCM, bác sĩ Lê Đỗ Tuấn Kiệt tiếp tục học lên Thạc sĩ RHM để nâng cao thêm kiến thức, kỹ năng và rèn luyện tay nghề trong lĩnh vực. Nhờ đó, bác sĩ Kiệt đã xây dựng được nền tảng chuyên môn vô cùng vững chắc.
Trong hơn 6 năm làm nghề, bác sĩ Tuấn Kiệt đã điều trị thành công cho hơn 2,000 bệnh nhân, với không ít trường hợp khó, phức tạp như: Đặt trụ Implant cho vùng xương hàm tiêu nhiều, viêm nha chu nặng, nhiễm trùng răng sứ… Giúp cho bệnh nhân không chỉ khôi phục lại được hàm răng cứng chắc, ăn nhai thoải mái mà thẩm mỹ khuôn mặt cũng được cải thiện đáng kể.


Bác sĩ Tuấn Kiệt thực hiện điều trị cho bệnh nhân
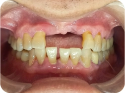
Chú Lâm Văn Kha
• Viêm nha chu gây nhiễm trùng, tiêu xương hàm và mất gần hết răng
Việt Kiều Mỹ
Chủ quan trong việc chăm sóc răng miệng, cộng thêm việc hút thuốc lâu năm khiến cho chú Kha mắc phải bệnh lý viêm nha chu nặng. Do nhiễm trùng lan rộng khiến cả hàm răng lung lay và gãy rụng gần hết.
Sau khi thăm khám kỹ lưỡng, bác sĩ Tuấn Kiệt chỉ định điều trị viêm nha chu, loại bỏ hết các ổ viêm nhiễm. Sau đó tiến hành ghép xương để tái tạo lại phần xương hàm bị tiêu biến.
Để khôi phục lại toàn bộ răng mất cho chú Văn Kha, bác sĩ chỉ định phương án cấy ghép Implant toàn hàm All-On-6. Đặt 6 trụ Implant và 14 răng sứ cho mỗi hàm, đảm bảo chức năng ăn nhai và thẩm mỹ cho chú Kha.
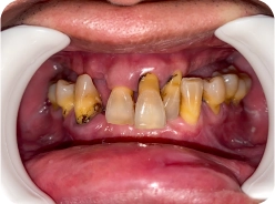
Cô Nguyễn Thị Thu
• Đeo hàm tháo lắp lâu năm, tụt nướu, tiêu xương nặng
Việt Kiều Úc
Mất răng toàn hàm hơn 15 năm, cô Thu sử dụng hàm tháo lắp để cải thiện phần nào khả năng ăn nhai và thẩm mỹ. Tuy nhiên, cô đã thay mới đến 3 hàm tháo lắp, bởi chỉ sau một thời gian hàm đã lỏng lẻo, dễ bị tuột khỏi nướu. Chưa kể phần nướu ngày càng hõm xuống, hai má hóp lại. Khi cô Thu đi chụp phim thì phần xương hàm đã tiêu đi rất nhiều.
Với mong muốn trồng răng Implant để không phải chịu đựng nỗi khổ từ hàm tháo lắp, cô Thu tìm đến nha khoa I-DENT và gặp bác sĩ Tuấn Kiệt.
Để ngăn chặn tình trạng tiêu xương và khôi phục lại toàn bộ răng mất, bác sĩ Kiệt chỉ định ghép xương, sau đó đặt 6 trụ Implant để đảm bảo ăn nhai cho cô Thu. Kết thúc điều trị, cô Thu đã có hàm răng mới chắc khỏe, khuôn mặt cũng đầy đặn hơn trước.
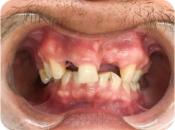
Chị Lê Hải Anh
• Bọc răng sứ toàn hàm bị nhiễm trùng
TPHCM
Chị Hải Anh đến thăm khám với bác sĩ Kiệt trong tình trạng bọc sứ toàn hàm bị nhiễm trùng. Toàn bộ phần nướu bị tấy đỏ, sưng và chân răng đau nhức. Ngoài ra hơi thở còn có mùi hôi khó chịu.
Để tránh những biến chứng nguy hiểm hơn, bác sĩ Kiệt chỉ định tháo bỏ hết răng sứ và điều trị dứt điểm nhiễm trùng. Sau khi tình trạng răng ổn định mới tiến hành bọc lại răng sứ mới.
Nhờ bác sĩ Kiệt đưa ra phương án điều trị kịp thời, giúp chị Hải Anh tránh khỏi nguy cơ bị mất răng vĩnh viễn.




LUÔN ĐỀ CAO Y ĐỨC TRONG QUÁ TRÌNH ĐIỀU TRỊ VÀ THĂM KHÁM
Đối với bác sĩ Lê Đỗ Tuấn Kiệt, một ca điều trị thành công không chỉ giúp cải thiện thẩm mỹ, đảm bảo ăn nhai mà còn phải giữ an toàn cho sức khỏe về lâu dài. Do đó, bác sĩ luôn dành thời gian nghiên cứu và lên phác đồ kỹ lưỡng cho mỗi bệnh nhân. Đảm bảo rút ngắn thời gian, tiết kiệm chi phí và mang đến kết quả thành công tốt đẹp.
Ngoài ra, việc thấu hiểu được tâm lý sợ đau của hầu hết người bệnh nên bác sĩ Kiệt luôn tỉ mỉ, nhẹ nhàng trong từng thao tác để hạn chế xâm lấn, tổn thương cũng như cảm giác đau nhức.
Qua đó có thể thấy rằng, cảm nhận và sức khỏe của bệnh nhân là yếu tố mà bác sĩ Kiệt đặt lên hàng đầu.


CÁC CA ĐIỀU TRỊ CỦA THẠC SĨ – BÁC SĨ LÊ ĐỖ TUẤN KIỆT


CHÚ NGUYỄN QUỐC KHÁNH
VIỆT KIỀU MỸ
Phương án: Cấy ghép 3 trụ implant và bọc 17 răng sứ
Loại trụ: Implant Nobel Biocare + Răng sứ Lava Plus

CHÚ LƯU BÁ DUY
VIỆT KIỀU MỸ
Phương án: Cấy ghép Implant toàn hàm All On 6
Loại trụ: Implant Straumann SLActive

CHỊ NGUYỄN THỊ NGA
TP.HCM
Phương án: Cấy ghép 1 trụ implant
Loại trụ: Implant Mis C1 Đức

CHÚ TRẦN THANH HÀO
BÌNH ĐỊNH
Phương án: Cấy 9 trụ implant và bọc 16 răng sứ
Loại trụ: Implant Dentium Hàn Quốc + Răng sứ Titan
CẢM NHẬN KHÁCH HÀNG VỀ THẠC SĨ – BÁC SĨ LÊ ĐỖ TUẤN KIỆT

https://youtu.be/IMFEGrQVISc?t=150
Bí thuật trồng răng không đau tại I-DENT
Lượt xem : 1560
Làm răng Implant như răng thiệt | Nha khoa I-DENT
Lượt xem : 2780
Giờ ai cũng khen tôi đẹp trai…
Lượt xem : 2780






Những Feedback của bệnh nhân được Bác sĩ Tuấn Kiệt điều trị (lấy từ Google Maps)
THẠC SĨ – BÁC SĨ LÊ ĐỖ TUẤN KIỆT CHIA SẺ TRÊN SÓNG TRUYỀN HÌNH
Chia sẻ của bác sĩ Lê Đỗ Tuấn Kiệt trên VTV
BÁO CHÍ ĐÁNH GIÁ VỀ BÁC SĨ LÊ ĐỖ TUẤN KIỆT
NHẬN TƯ VẤN MIỄN PHÍ TỪ CHUYÊN GIA
ĐẶT LỊCH HẸN THĂM KHÁM NGAY
Vui lòng để lại thông tin của quý khách.
Nha Khoa I-Dent sẽ liên hệ đến Quý Khách trong thời gian sớm nhất













