
BÁC SĨ CKI ĐH Y DƯỢC TP.HCM – MAI HỒNG THÁI
CHUYÊN GIA CẤY GHÉP IMPLANT VÀ PHỤC HÌNH RĂNG SỨ
Với kinh nghiệm hơn 13 năm trong nghề, bác sĩ CKI Mai Hồng Thái là một trong những bác sĩ kì cựu tại nha khoa I-DENT, chuyên về cấy Implant và phục hình răng sứ.
Bên cạnh chuyên môn cao, tay nghề khéo léo, bác sĩ Thái còn nhận được sự yêu mến từ nhiều bệnh nhân bởi phong thái nhẹ nhàng, thân thiện. Mang đến cảm giác gần gũi như người thân trong gia đình.
Tận tình tư vấn và tận tâm chăm sóc là điều tôi luôn tâm niệm trong mỗi ca điều trị. Có như vậy mới nhận được sự tin tưởng và giúp bệnh nhân vượt qua nhiều nỗi sợ khi làm răng. Từ đó đảm bảo quy trình cắm implant diễn ra thuận lợi, thành công và an toàn cho sức khỏe người bệnh
Bác sĩ CKI: MAI HỒNG THÁI
BẰNG CẤP VÀ CHỨNG CHỈ CỦA BÁC SĨ CKI MAI HỒNG THÁI
Sau khi tốt nghiệp loại xuất sắc tại trường ĐH Y Dược TP.HCM, bác sĩ Thái tiếp tục tu nghiệp và trở thành bác sĩ Chuyên khoa I, chuyên sâu về kỹ thuật Implant.
Ngoài ra, bác sĩ còn thường xuyên tham gia các lớp đào tạo về chuyên môn cũng như những hội thảo, hội nghị Y – Nha khoa danh tiếng. Để tiến thu thêm kiến thức mới và nâng cao tay nghề điều trị

- Tốt nghiệp Bác sĩ RHM tại Đại học Y Dược.
- Bác sĩ CKI RHM Đại học Y Dược TPHCM.
- Chứng chỉ chuyên sâu cấy ghép Implant toàn hàm All-on-X và GBR ĐH Harvard.
- Chứng chỉ Cấy ghép nha khoa BV RHM TW.
- Chứng chỉ cấy ghép Implant hiện đại.
- Khóa học cấy ghép Implant nâng cao.
- Hội nghị khoa học kỹ thuật RHM.
- Chứng nhận tham gia cập nhật kiến thức y khoa liên tục trong khám bệnh, chữa bệnh.
Thành viên các Hiệp Hội Nha Khoa Y Tế
• Liên đoàn Nha khoa Thế giới FDI (FDI World Dental Federation) – Thành viên
• Hiệp hội Nha khoa Hoa Kỳ (American Dental Association – ADA) – Thành viên
• Hội Răng Hàm Mặt Việt Nam (VOSA) – Thành viên
• Hội Nha khoa TP. Hồ Chí Minh – Thành viên
VỊ TRÍ CHUYÊN MÔN TẠI NHA KHOA I-DENT
Bác sĩ Mai Hồng Thái có thể thực hiện thành thạo nhiều kỹ thuật nha khoa khác nhau để điều trị các vấn đề răng miệng. Chuyên môn chính của bác sĩ tại I-DENT là:
• Cấy ghép xương nhân tạo.
• Cấy ghép Implant.
• Phục hình răng sứ trên Implant và răng sứ thẩm mỹ/dán sứ Veneer.
Thấu hiểu được tâm lý sợ đau khi khám, chữa răng, đặc biệt với người bệnh là phụ nữ, trẻ em… Bác sĩ Thái luôn chú ý đến từng phản ứng của bệnh nhân để điều chỉnh lực nhẹ nhàng, kiểm soát cơn đau trong suốt quá trình thực hiện.

Bác sĩ Mai Hồng Thái được nhiều bệnh nhân yêu mến bởi tay nghề nhẹ nhàng, gu thẩm mỹ tốt
Bên cạnh đó, nhờ chuyên môn cao và kinh nghiệm dồi dào, nên bác sĩ Thái đảm bảo sẽ đưa ra những chỉ định phù hợp cũng như tiết kiệm chi phí trồng răng implant nhất. Bởi theo quan điểm của bác sĩ, một ca điều trị thành công phải đảm bảo ba yếu tố: Sức khỏe ăn nhai, thẩm mỹ cao và chi phí tối ưu. Nhờ đó mà bệnh nhân được bác sĩ Thái điều trị luôn hài lòng với kết quả phục hình sau cùng.
Mặc dù bận rộn với công việc tại phòng khám nhưng bác sĩ vẫn thường xuyên tham gia các hội thảo, hội nghị Quốc tế. Để học hỏi và nghiên cứu những kỹ thuật mới từ nước ngoài, giúp nâng cao chuyên môn cũng như tay nghề.
Xem thêm: Trồng răng implant có đau không?
Xem thêm: Trồng 1 cái răng bao nhiêu tiền?
THỰC HIỆN NHIỀU CA ĐIỀU TRỊ KHÓ VÀ PHỨC TẠP
Bác sĩ Mai Hồng Thái đã từng tiếp nhận nhiều ca điều trị có độ khó cao như nhiễm trùng răng sứ, viêm tủy, viêm nha chu nặng, tiêu xương răng, bệnh nhân mắc các bệnh tiểu đường, huyết áp… Nhưng bằng chuyên môn, kỹ năng của một bác sĩ cấy implant giỏi và sự tận tâm, bác Thái đã giúp hàng nghìn bệnh nhân có được kết quả điều trị thành công như mong đợi.

Hình ảnh Bác sĩ Mai Hồng Thái thăm khám cho bệnh nhân
Anh Nguyễn Tấn Dũng
• Tiêu xương hàm và mất gần hết răng
Việt Kiều Mỹ
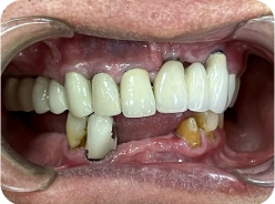
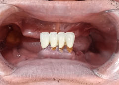
Trước đây, anh Dũng từng bọc răng sứ nhưng bị viêm nha chu và nhiễm trùng nặng, dẫn tới hàm răng lung lay và gãy rụng chỉ còn vài chiếc.
Qua thăm khám kỹ lưỡng của bác sĩ Thái còn thấy được xương hàm của anh đã bị tiêu khá nhiều. Do đó, để đảm bảo khả năng ăn nhai và sức khỏe cho anh, bác sĩ Thái đã chỉ định nhổ các răng lung lay nặng và cấy ghép Implant All On 4. Với 4 trụ Implant giúp khôi phục toàn hàm răng mất và kích thích xương hàm phát triển.
Nhờ bác sĩ Thái chỉ định đúng phương pháp trồng răng và tiến hành điều trị kịp thời, anh Dũng đã phục hồi lại hàm răng chắc khỏe, ăn nhai tốt và cải thiện thẩm mỹ hoàn hảo.
Cô Bạch Thúy
• Mất răng toàn hàm và tiêu xương nặng
Vũng Tàu
Bị mất răng toàn hàm và sử dụng hàm tháo lắp lâu năm không chỉ khiến cô Bạch Thúy ăn nhai khó khăn, mà còn gặp biến chứng tiêu xương nghiêm trọng. Khiến khuôn mặt của cô bị hóp và trông già hơn tuổi thật .
Quyết định cắm răng Implant để thay đổi, cô được người bạn giới thiệu đến nha khoa I-DENT.
Đến I-DENT gặp được bác sĩ Thái tư vấn rất nhiệt tình, đúng tình trạng, đúng nhu cầu của cô, chứ không bày vẽ thêm như những nơi khác. Nên có mới an tâm làm răng ở đây.
Kết thúc quá trình trồng răng cùng bác sĩ Thái, cô Bạch Thúy đã có thể ăn uống thoải mái và tự tin hơn với nụ cười của mình.
Cô Lily Luong
• Răng nhiễm màu kháng sinh Tetracyclin
Việt Kiều Úc
Màu răng ố vàng, mất thẩm mỹ khiến cô LiLy không tự tin mỗi khi cười, nói. Cho đến khi có dịp về nước thăm gia đình, cô đã dành thời gian để làm răng sứ. Bởi tin tưởng bác sĩ trong nước sẽ có gu thẩm mỹ phù hợp với khuôn mặt của người Việt hơn.
Mặc dù cô Lily thực hiện bọc răng sứ cả 2 hàm, nhưng toàn bộ quá trình đều diễn ra nhẹ nhàng và không đau đớn như cô vẫn lo sợ. Tất cả là nhờ vào tay nghề mài răng khéo léo và kỹ thuật bọc sứ chuẩn tỷ lệ vàng của bác sĩ Mai Hồng Thái.
Kết quả cuối cùng cô nhận được là hàm răng đều đặn, trắng sáng nhưng vẫn tự nhiên, dáng răng Oval hài hòa với khuôn mặt, đúng như cô Lily mong muốn.




CHỈ ĐỊNH ĐIỀU TRỊ PHÙ HỢP VÀ AN TOÀN CHO TỪNG BỆNH NHÂN
Trước mỗi ca điều trị, bác sĩ Thái luôn kiểm tra tổng quát tình trạng răng, chụp phim X-quang và chủ động thăm hỏi các vấn đề liên quan đến sức khỏe cơ thể. Sau đó mới đưa ra chỉ định phù hợp dựa trên tình trạng răng, điều kiện sức khỏe và tâm lý của người bệnh.
Với những bệnh nhân có yêu cầu làm các dịch vụ nha khoa không cần thiết hoặc có thể ảnh hưởng đến sức khỏe răng miệng về lâu dài, bác sĩ Thái luôn dành thời gian tư vấn thật kỹ lưỡng cho đến khi bệnh nhân hiểu rõ tại sao không nên thực hiện.
Bên cạnh đó, bác sĩ Mai Hồng Thái luôn tuân thủ quy trình điều trị vô trùng tuyệt đối. Đảm bảo không để xảy ra tình trạng lây nhiễm chéo hoặc những biến chứng như: chảy máu kéo dài, nhiễm trùng, đào thải…

Xem thêm: Top 9 địa chỉ cấy ghép implant tại TPHCM uy tín
Xem thêm: Giá trồng răng sứ vĩnh viễn bao nhiêu?
Xem thêm: Trồng implant trả góp 0% lãi suất tại nha khoa I-Dent
CÁC CA ĐIỀU TRỊ CỦA BÁC SĨ CKI MAI HỒNG THÁI
Hiểu rõ sứ mệnh của một người làm nghề y, bác sĩ CKI Mai Hồng Thái luôn dành sự ân cần, chu đáo và tận tâm với mỗi bệnh nhân. Để đảm bảo kết quả điều trị thành công và mang đến sự hài lòng cho người bệnh.
Trong tương lai, bác sĩ vẫn tiếp tục trau dồi thêm chuyên môn cũng như tiếp cận các kỹ thuật mới, để giúp bệnh nhân có được trải nghiệm làm răng an toàn – không đau.
-


CHÚ TRẦN VĂN HIỂN
VIỆT KIỀU MỸ
Phương án: Cấy Implant All On 4 cho 2 hàm
Loại trụ: Implant Mis C1 Đức -


CHÚ VIÊN TỬ PHỐI
VIỆT KIỀU ÚC
Phương án: Cấy ghép Implant All On 6 cho 2 hàm
Loại trụ: Implant Mis C1 Đức -


ANH TẤN DŨNG
VIỆT KIỀU MỸ
Phương án: Cấy ghép Implant All On 4 cho 2 hàm
Loại trụ: Implant Mis C1 Đức -


CÔ MỸ NHI TẤT
VIỆT KIỀU ÚC
Phương án: Cấy ghép Implant All On 5 hàm trên
Loại trụ: Implant Mis C1 Đức
CẢM NHẬN KHÁCH HÀNG VỀ BÁC SĨ CKI MAI HỒNG THÁI

https://www.youtube.com/watch?v=9vI_x7J-yAY&t=4shttps://www.youtube.com/watch?v=MgmVvqbB138
Gặp I-DENT là một sự may mắn
Lượt xem : 5230
https://www.youtube.com/watch?v=qyYgBQyPiV8&t=2s
“I-Dent được nhiều khách quốc tế chọn…”
Lượt xem : 4320
https://www.youtube.com/watch?v=LLkmzQFoKDo
“Ở I-DENT cao cấp hơn ở bển…”
Lượt xem : 5345




Những Feedback của bệnh nhân được Bác sĩ Thái điều trị (lấy từ Google Maps)
BÁO CHÍ ĐÁNH GIÁ VỀ BÁC SĨ CKI MAI HỒNG THÁI
NHẬN TƯ VẤN MIỄN PHÍ TỪ CHUYÊN GIA
ĐẶT LỊCH HẸN THĂM KHÁM NGAY
Vui lòng để lại thông tin của quý khách.
Nha Khoa I-Dent sẽ liên hệ đến Quý Khách trong thời gian sớm nhất












