
BÁC SĨ CKI ĐẠI HỌC Y DƯỢC TPHCM – NGÔ THỊ PHƯƠNG THẢO
CHUYÊN PHỤC HÌNH SỨ TRÊN IMPLANT, PHỤC HÌNH RĂNG SỨ/VENEER
Với mong muốn mang lại nụ cười thẩm mỹ cùng sức khỏe ăn nhai tốt cho bệnh nhận, bác sĩ CKI Ngô Thị Phương Thảo tập trung nghiên cứu, tham gia các khóa tu nghiệp chuyên sâu về Implant và răng sứ để có được nền tảng chuyên môn vững chắc.
Trong hơn 7 năm làm nghề, bác sĩ đã thực hiện thành công hơn 3,000 ca điều trị từ đơn giản đến phức tạp. Hiện tại, bác sĩ Phương Thảo đang là chuyên gia về Implant và phục hình sứ tại nha khoa I-DENT.
Khi tiến hành phục hình răng sứ, mỗi bệnh nhân cần được lên phác đồ điều trị chuẩn xác, đảm bảo 2 yếu tố quan trọng là thẩm mỹ đẹp và ăn nhai tốt. Để làm được điều này, bác sĩ phải nghiên cứu thật kỹ lưỡng tình trạng răng cũng như lắng nghe để thấu hiểu nhu cầu, nguyện vọng của bệnh nhân. Từ đó giúp người bệnh đưa ra giải pháp tối ưu nhất
Bác sĩ CK1: NGÔ THỊ PHƯƠNG THẢO
BẰNG CẤP VÀ CHỨNG CHỈ CỦA BÁC SĨ CKI NGÔ THỊ PHƯƠNG THẢO

- Bác sĩ CKI RHM Đại học Y Dược TP HCM.
- Chứng chỉ phẫu thuật nha chu tại trường Đại học Y Dược TPHCM.
- Khóa học cấy ghép Implant nâng cao.
Các hội nghị, hội thảo tham gia:
• Hội nghị khoa học và đào tạo liên tục Răng Hàm Mặt lần thứ I.
• Hội nghị khoa học và đào tạo liên tục Răng Hàm Mặt lần thứ V.
• Hội thảo Kỹ thuật trám răng trước độc đáo và tối ưu theo Style Italiano
VỊ TRÍ CHUYÊN MÔN TẠI NHA KHOA I-DENT
Bác sĩ CKI Ngô Thị Phương Thảo đang công tác tại nha khoa I-DENT, với vị trí bác sĩ chuyên môn về:
• Phục hình răng sứ trên Implant.
• Thẩm mỹ răng sứ/Veneer.
• Phẫu thuật nha chu.
THỰC HIỆN NHIỀU CA ĐIỀU TRỊ KHÓ VÀ PHỨC TẠP
Để tiếp thu và học hỏi các kỹ thuật mới, bác sĩ Ngô Thị Phương Thảo thường xuyên tham gia những khóa đào tạo chuyên sâu tại Đại học Y Dược TP HCM, Bệnh viện RHM TW, cùng với đó là các hội thảo khoa học về Y – Nha khoa.
Nhờ đó, bác sĩ xây dựng được nền tảng chuyên môn vững chắc, giúp xử lý được nhiều ca điều trị khó và phức tạp như:
• Răng sứ cũ bị hỏng gây ê buốt, đau nhức kéo dài.
• Biến chứng tiêu xương hàm.
• Trụ Implant bị đào thải, kèm áp xe quanh vùng cấy.

Bác sĩ Ngô Thị Phương Thảo thực hiện điều trị nhiều ca bệnh khó
Bác sĩ Phương Thảo có thể thực hiện thuần thục các kỹ thuật phức tạp. Đồng thời, biết ứng dụng những công nghệ hiện đại giúp bệnh nhân đạt hiệu quả tốt nhất sau điều trị.
Cô Thu Liên
• Trụ Implant đào thải, vùng cấy bị nhiễm trùng
Đồng Nai
Cô Liên không may mắn khi gặp phải tình trạng đào thải trụ Implant do thực hiện ở nha khoa kém chất lượng. Không chỉ ăn uống khó khăn mà cô còn phải chịu đựng những đau nhức kéo dài .
Để tránh cho tình trạng nhiễm trùng nặng hơn, bác sĩ Thảo chỉ định tháo trụ Implant bị đào thải, đồng thời thực hiện ghép xương để bảo tồn chất lượng xương hàm.
Sau 4 tháng, khi xương hàm đã ổn định, cô Liên được cấy trụ Implant Thuỵ Sỹ, giúp tăng khả năng tích hợp và rút ngắn thời gian phục hình sứ.
Tôi đã từng rất tuyệt vọng với tình trạng của mình cho đến khi gặp được bác sĩ Thảo. Bác sĩ không chỉ kiểm tra và tư vấn phương điều trị kỹ lưỡng, mà còn động viên tôi rất nhiều, để tâm lý bớt lo lắng. Tôi cảm ơn bác sĩ Phương Thảo rất nhiều
Anh Tùng Phạm
• Hút thuốc lâu năm, mòn men răng và ố vàng
Việt Kiều Đức
Thói quen hút thuốc lá khiến cả hàm răng của anh Tùng bị mòn men răng, nhiễm màu ố vàng và kèm theo mùi hôi khó chịu. Điều này ảnh hưởng khá nhiều đến công việc và sinh hoạt hàng ngày của anh. Do đó, anh quyết định về nha khoa I-DENT thực hiện bọc răng sứ, bởi xem được nhiều đánh giá tốt của những khách hàng Việt kiều đã thực hiện tại đây.
Với tình trạng răng của anh Tùng, bác sĩ Thảo chỉ định bọc răng sứ toàn hàm, vừa giúp bảo vệ men răng thật, vừa che phủ tốt màu răng ố vàng.
Quá trình bọc sứ diễn ra vô cùng suôn sẻ. Chỉ sau 1 tuần, anh Tùng đã có một hàm răng mới trắng sáng và chắc khỏe hơn.
Chú Hồng Đăng
• Mất răng toàn hàm trên, hàm dưới lung lay
TP Hồ Chí Minh
Chú Hồng Đăng gặp rất nhiều khó khăn trong việc ăn uống vì mất răng toàn hàm trên và răng hàm dưới chỉ còn vài cái cũng bị lung lay nặng. Chú phải sử dụng hàm tháo lắp một thời gian dài để ăn nhai nhưng không mấy hiệu quả.
Bác sĩ Thảo đánh giá tình trạng của chú khá phức tạp, cần kết hợp kỹ thuật và công nghệ hiện đại để thực hiện. Sau khi thăm khám, bác sĩ chỉ định nhổ răng hàm dưới và thực hiện cấy ghép Implant All On 6 cả 2 hàm.
Sau hơn 6 tháng được bác sĩ theo dõi điều trị, chú Đăng đã có thể ăn uống ngon miệng hơn. Nhờ đó, sức khoẻ của chú đã được cải thiện hơn rất nhiều.




CÁC CA ĐIỀU TRỊ CỦA BÁC SĨ CKI NGÔ THỊ PHƯƠNG THẢO
-


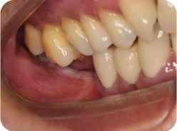
ANH VĂN CƯỜNG
TP.HCM
Phương án: Phục hình răng sứ trên implant
Loại răng sứ: Răng sứ Zirconia -


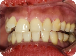
CHÚ MAI VĂN THÀNH
TP.HCM
Phương án: Phục hình răng sứ trên implant
Loại răng sứ: Răng sứ Titan -


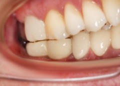
CHỊ LỮ HẠNH TIỂU MY
TP.HCM
Phương án: Phục hình răng sứ trên implant
Loại răng sứ: Răng sứ Zirconia
CẢM NHẬN KHÁCH HÀNG VỀ BÁC SĨ CKI NGÔ THỊ PHƯƠNG THẢO




BÁO CHÍ ĐÁNH GIÁ VỀ BS CKI NGÔ THỊ PHƯƠNG THẢO
NHẬN TƯ VẤN MIỄN PHÍ TỪ CHUYÊN GIA
ĐẶT LỊCH HẸN THĂM KHÁM NGAY
Vui lòng để lại thông tin của quý khách.
Nha Khoa I-Dent sẽ liên hệ đến Quý Khách trong thời gian sớm nhất














