
BÁC SĨ CKI NGUYỄN HOÀNG NHÂN CHUYÊN CẤY GHÉP IMPLANT VÀ PHẪU THUẬT NHA CHU
Bác sĩ Nguyễn Hoàng Nhân tốt nghiệp trường ĐH Y dược TPHCM, với hơn 8 năm kinh nghiệm trong lĩnh vực phục hình sứ trên Implant và phẫu thuật nha chu.
Trong suốt quá trình làm việc, với lòng nhiệt tình và sự tận tâm, bác sĩ Nhân nhận được rất nhiều sự tin yêu của bệnh nhân. Qua đó, điều trị thành công cho hơn 2,000 trường hợp gặp vấn đề về răng miệng.
Bác sĩ Nguyễn Hoàng Nhân hiện đang là bác sĩ chuyên cấy ghép Implant và phẫu thuật nha chu tại nha khoa I-DENT.
Một ca điều trị thành công không chỉ giúp bệnh nhân cải thiện về thẩm mỹ mà còn phải đảm bảo sức khỏe ăn nhai. Do đó, bác sĩ cần nghiên cứu tình trạng bệnh nhân thật kỹ lưỡng, đồng thời biết cách ứng dụng những công nghệ, kỹ thuật tiên tiến để đưa ra giải pháp tốt nhất cho người bệnh
Bác sĩ CKI: NGUYỄN HOÀNG NHÂN
BẰNG CẤP VÀ CHỨNG CHỈ CỦA BÁC SĨ CKI NGUYỄN HOÀNG NHÂN

- Chứng chỉ hành nghề số: 0003895/VL – CCHN.
- Chứng chỉ Cấy ghép nha khoa BV RHM TW
- Khóa học cấy ghép Implant nâng cao.
- Chứng chỉ phẫu thuật nha chu tại trường Đại học Y Dược TPHCM.
- Chứng nhận tham gia cập nhật kiến thức y khoa liên tục trong khám bệnh, chữa bệnh.
- Khóa học kỹ thuật nâng cao về quản lý mô mềm xung quanh Implant tại Zucchelli Institute, Ý
VỊ TRÍ CHUYÊN MÔN CỦA BÁC SĨ TẠI NHA KHOA I-DENT
Bác sĩ Nguyễn Hoàng Nhân đã có hơn 8 năm kinh nghiệm khám và điều trị tại nha khoa I-DENT. Với kiến thức chuyên môn vững chắc cùng tay nghề khéo léo, bác sĩ Nhân có thế mạnh điều trị về:
• Cấy ghép Implant.
• Phẫu thuật nha chu.
• Phục hình sứ cố định trên Implant.
• Bọc răng sứ thẩm mỹ/Dán sứ Veneer.
• Tạo hình thẩm mỹ nướu – môi.
Bác sĩ Nhân đã trực tiếp xử lý nhiều ca điều trị khó như: Cấy ghép implant đơn lẻ, trồng implant toàn hàm All-on-4/6; Phục hình sứ trên Implant toàn hàm All-on-4/6; Bọc sứ toàn hàm cho răng bị nhiễm màu, lệch khớp cắn; Điều trị răng bị nhiễm trùng, hoại tử tủy; Nhổ răng khôn mọc ngầm, mọc lệch…
Bên cạnh đó, bác sĩ Nhân còn thường xuyên tham gia những buổi hội thảo, hội nghị Quốc tế về Răng Hàm Mặt để nhanh chóng cập nhật và tiếp thu các kiến thức, kỹ thuật mới về ứng dụng trong quá trình điều trị cho bệnh nhân. Nhằm đảm bảo đúng tiêu chí “can thiệp tối thiểu nhưng vẫn đạt hiệu quả tối đa”.
Xem thêm: Cấy ghép implant có đau không?
Xem thêm: Trồng răng giá bao nhiêu 1 cái?
Xem thêm: Top 9 địa chỉ trồng răng implant tại TPHCM uy tín
THỰC HIỆN NHIỀU CA ĐIỀU TRỊ KHÓ VÀ PHỨC TẠP
Trong suốt thời gian công tác, bác sĩ Nguyễn Hoàng Nhân luôn được bệnh nhân đánh giá là người bác sĩ ân cần, chu đáo và tận tâm.
Ngay từ khi thăm khám, bác sĩ luôn kiểm tra kỹ lưỡng tình trạng răng cũng như điều kiện sức khỏe của người bệnh. Từ đó đưa ra hướng điều trị phù hợp nhất, vừa đạt hiệu quả tốt, vừa không ảnh hưởng đến sức khỏe cơ thể. Đồng thời, bác sĩ Nhân luôn sẵn sàng giải đáp mọi thắc mắc trước, trong và sau khi điều trị, giúp tâm lý bệnh nhân thoải mái, an tâm nhất.
Bác sĩ Nhân cũng thấu hiểu được hầu hết bệnh nhân đều có nỗi lo lắng sợ đau, nên trong quá trình điều trị luôn đảm bảo thực hiện nhanh chóng, nhẹ nhàng và chú ý tới từng phản ứng của người bệnh. Ngoài ra, bác sĩ còn luôn hướng dẫn thêm cách chăm sóc răng miệng cho trẻ em, người có bệnh lý răng miệng phức tạp sau khi điều trị.
Với kinh nghiệm dày dặn, bác sĩ Nguyễn Hoàng Nhân đã khám và điều trị cho hàm trăm case thẩm mỹ răng hàm mặt, bao gồm cả những kỹ thuật phức tạp như trồng răng implant.
Bác sĩ còn không ngừng trau dồi, chắt lọc kiến thức nha khoa hiện đại trên thế giới ứng dụng phù hợp với nhu cầu thẩm mỹ của người Việt. Nhờ vậy, bệnh nhân luôn nhận được kết quả điều trị tốt nhất, tự tin khoe hàm răng khỏe đẹp cùng nụ cười rạng rỡ

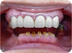
Bác sĩ Hoàng Nhân thực hiện phục hình sứ cho bệnh nhân
Chị Ngọc Vân
• Nhiễm trùng và viêm tủy răng.
Việt Kiều Mỹ
Chị Ngọc Vân đến với nha khoa I-DENT trong tình trạng răng bị ăn mòn sâu bên trong. Sau khi kiểm tra, bác sĩ Nhân chỉ định bọc sứ 2 hàm cho chị để đảm bảo thẩm mỹ và bảo vệ phần răng thật còn lại.
Bác sĩ tư vấn cho chị form răng tròn và màu trắng vừa phải, tạo sự hài hòa với những đường nét trên gương mặt.
Giờ đây, nụ cười của chị đã hoàn mỹ hơn và chị không quên dành lời cảm ơn chân thành đến bác sĩ Hoàng Nhân.
Chị Ngọc Vân chia sẻ:
Rất chân thành cảm ơn bác sĩ Nhân đã tư vấn cho mình giải pháp bọc sứ thẩm mỹ. Giúp mình ăn uống ngon miệng tự tin trở lại. Tay nghề bác sĩ rất êm ái, mình không cảm thấy quá khó chịu kể cả lúc mài răng.
Anh Hoàng Huy
• Ê buốt răng kéo dài, răng sứ cũ bị hư.
Phú Yên
Vì tính chất công việc thường xuyên giao tiếp và gặp khách hàng, anh Hoàng Huy đã từng bọc răng sứ nhưng chỉ sau 3 năm, răng của anh thường xuyên bị đau nhức, ê buốt mà không rõ nguyên do.
Sau khi kiểm tra, bác sĩ Nhân cho biết răng sứ cũ của anh không được gắn sát khít với răng thật. Nên khi ăn uống sẽ xuất hiện tình trạng ê buốt kèm theo đó là mùi hôi miệng kéo dài. Để đảm bảo sức khỏe, bác sĩ chỉ định anh phải thực hiện bọc lại răng sứ mới.
Bác sĩ Nhân tiến hành lấy dấu bằng công nghệ Scan 3D hiện đại, giúp răng sứ chế tác ra hoàn toàn tương thích và sát khít với nướu, chấm dứt tình trạng ê buốt răng kéo dài.
Chú Tấn Lợi
• Dùng hàm tháo lắp dẫn đến tiêu xương hàm nặng
Việt kiều Úc
Trải qua hơn 5 năm sử dụng hàm tháo lắp, chú Tấn Lợi phải đối mặt với nhiều hệ lụy. Từ việc ăn uống khó khăn, vệ sinh răng miệng bất tiện cho đến khuôn mặt mất cân đối, 2 bên má bị hóp lại thì chú mới nhận ra rằng mình đã bị tiêu xương hàm nặng.
Sau khi thăm khám kỹ lưỡng, bác sĩ Nhân tư vấn giải pháp làm implant toàn hàm All On 4 cho chú với mục tiêu cải thiện sức khỏe ăn nhai, đồng thời ngăn chặn tình trạng tiêu chân răng.
Sau khi cắm trụ Implant 4 tháng thì tôi được bác sĩ Nhân phục hình sứ cố định. Cả quy trình cấy implant bác sĩ làm nhẹ nhàng, mát tay lắm, còn chọn được cho tôi màu răng sứ ưng ý. Cảm ơn bác sĩ rất nhiều!
Xem thêm: Giá làm răng sứ vĩnh viễn bao nhiêu?
Xem thêm: Trồng implant trả góp 0% lãi suất tại nha khoa I-Dent
CÁC CA ĐIỀU TRỊ CỦA BÁC SĨ CKI NGUYỄN HOÀNG NHÂN
-


CHÚ MINH TUẤN
VIỆT KIỀU ÚC
Phương án: Phục hình răng sứ 2 hàm trên implant
Loại răng sứ: Răng sứ Cercon HT -


CHÚ UNG VĂN THẮM
VIỆT KIỀU
Phương án: Phục hình răng sứ 2 hàm trên implant
Loại răng sứ: Titan Mỹ -


CÔ KIM ANH
NINH THUẬN
Phương án: Phục hình răng sứ 2 hàm trên implant
Loại răng sứ: Răng sứ Titan -


CHỊ THU THUYỀN
QUẬN TÂN PHÚ
Phương án: Phục hình răng sứ 2 hàm trên implant
Loại răng sứ: Zirconia Ddbio

CẢM NHẬN KHÁCH HÀNG DÀNH CHO BÁC SĨ CKI NGUYỄN HOÀNG NHÂN






Những Feedback của bệnh nhân được Bác sĩ Hoàng Nhân điều trị (lấy từ Google Maps)
Xem thêm: Bảng giá răng implant mới nhất tại nha khoa I-Dent
Xem thêm: Các loại implant phổ biến trên thị trường hiện nay
Xem thêm: Hậu quả mất răng lâu năm và cách khắc phục
BÁO CHÍ ĐÁNH GIÁ VỀ BS CKI NGUYỄN HOÀNG NHÂN
NHẬN TƯ VẤN MIỄN PHÍ TỪ CHUYÊN GIA
ĐẶT LỊCH HẸN THĂM KHÁM NGAY
Vui lòng để lại thông tin của quý khách.
Nha Khoa I-Dent sẽ liên hệ đến Quý Khách trong thời gian sớm nhất


















