
BÁC SĨ CKI NGUYỄN QUANG LINH
CHUYÊN GIA CẤY GHÉP IMPLANT VÀ PHỤC HÌNH SỨ THẨM MỸ TRÊN IMPLANT
Với hơn 5 năm kinh nghiệm trong lĩnh vực Implant, bác sĩ Nguyễn Quang Linh đã trực tiếp kiến tạo răng mới thành công cho hơn 2,000 bệnh nhân. Để nâng cao kiến thức và tay nghề, bác sĩ còn thường xuyên tham gia những hội thảo, hội nghị góp phần nâng cao trải nghiệm điều trị cho bệnh nhân.
Hiện tại, bác sĩ Nguyễn Quang Linh đang là Chuyên gia cấy ghép Implant tại nha khoa I-DENT.
Để đạt được kết quả tốt nhất trong quá trình điều trị, người bác sĩ cần phải hiểu rõ cơ địa và nắm bắt được tâm lý của từng người bệnh. Để từ đó xây dựng phác đồ điều trị tối ưu, phù hợp với tình trạng cũng như mong muốn của bệnh nhân
Bác sĩ: NGUYỄN QUANG LINH
BẰNG CẤP VÀ CHỨNG CHỈ CỦA BÁC SĨ CKI NGUYỄN QUANG LINH

- Bác sĩ chuyên khoa thực hành BV RHM TW.
- Chuyên sâu cấy ghép nha khoa tại khoa Implant BV RHM TW.
- Chứng chỉ cấy ghép nha khoa tại BV RHM TW.
- Chứng chỉ chỉnh hình răng mặt tại BV RHM TW.
- Chứng chỉ chỉnh nha tại BV RHM TPHCM.
- Chứng nhận tham gia cập nhật kiến thức y khoa liên tục trong khám bệnh, chữa bệnh.
Các hội nghị, hội thảo tham gia:
• Hội nghị cấy ghép nha khoa.
• Hội nghị khoa học và đào tạo liên tục BV RHM TW.
• Hội nghị “Bio-Brother” Tricalcium Silicate hoạt tính sinh học: Giải pháp điều trị bảo tồn răng.
VỊ TRÍ CHUYÊN MÔN TẠI NHA KHOA I-DENT
Bác sĩ Nguyễn Quang Linh đang công tác tại nha khoa I-DENT, với vị trí bác sĩ chuyên môn về:
• Cấy ghép Implant.
• Phục hình răng sứ trên Implant.
• Bọc răng sứ thẩm mỹ/Dán sứ Veneer.
THỰC HIỆN NHIỀU CA ĐIỀU TRỊ KHÓ VÀ PHỨC TẠP
Trong hơn 5 năm làm việc, bác sĩ Nguyễn Quang Linh đã thực hiện điều trị cho hơn 2,000 bệnh nhân. Trong đó, bác sĩ từng tiếp nhận nhiều ca có độ khó cao như: Viêm tủy răng toàn hàm, răng sứ nhiễm trùng, viêm nha chu nặng, bệnh nhân mắc các bệnh tiểu đường, huyết áp… Bằng chuyên môn, kỹ năng và sự tận tâm, bác sĩ đã giúp bệnh nhân có kết quả điều trị thành công như mong đợi.

Bác sĩ Nguyễn Quang Linh thực hiện điều trị cho bệnh nhân
Chú Nguyễn Tính
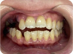
• Răng nhiễm màu nặng.
Việt Kiều Mỹ
Thói quen hút thuốc lá cùng với việc uống kháng sinh thường xuyên khiến răng của chú Nguyễn Tính bị nhiễm màu ố vàng. Dù thực hiện tẩy trắng răng nhiều lần nhưng không có tác dụng. Chú đến nha khoa I-DENT với mong muốn tìm lại nụ cười rạng rỡ để tăng thêm sự tự tin trong công việc. Bác sĩ Quang Linh chỉ định bọc răng sứ toàn hàm bằng công nghệ Đức để đạt hiệu quả thẩm mỹ tốt nhất.
Quá trình thẩm mỹ răng sứ diễn ra nhanh chóng và cực kỳ thoải mái. Chú Nguyễn Tính đã dành nhiều lời khen cho bác sĩ Linh bởi có được một hàm răng ưng ý!
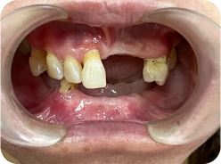
Cô Ngọc Quyên
• Mất nhiều răng hàm dưới và tiêu xương.
TP HCM
Sử dụng hàm tháo lắp lâu năm khiến cho hàm răng dưới của cô Ngọc Quyên vướng phải tình trạng tiêu xương hàm nặng. Không thể ăn uống ngon miệng khiến sức khỏe cô cũng giảm sút. Cô quyết định đến với nha khoa I-DENT để cải thiện tình trạng này.
Bác sĩ Quang Linh chỉ định trồng răng Implant và thực hiện cắm 6 trụ cho 1 hàm bằng kỹ thuật All On 6. Với giải pháp này sẽ giúp cô phục hồi lại hàm răng cứng chắc và ngăn chặn tiêu xương hiệu quả. Giờ đây, cô Quyên đã có được một hàm răng mới thẩm mỹ và ăn nhai bền chắc!
Chị Tăng Như Hạnh
• Bọc răng sứ hàm trên bị hư.
Việt Kiều Úc
Chị Như Hạnh đến với nha khoa I-DENT trong tình trạng răng sứ bị nhiễm trùng. Nguyên nhân đến từ việc chất lượng sứ không tốt cũng như tay nghề bác sĩ kém. Để cải thiện sức khỏe ăn nhai cho chị, bác sĩ Linh thực hiện tháo bỏ toàn bộ răng sứ cũ, thực hiện điều trị nhiễm trùng răng và thay lại bằng răng sứ mới chất lượng hơn.
Nghe nói bọc lại răng sứ rất đau nên chị rất lo lắng. Nhưng không ngờ quá trình làm răng sứ mới nhẹ nhàng hơn chị nghĩ. Màu sắc và khuôn răng cũng được bác sĩ Linh lựa chọn, chị rất hài lòng về kết quả này!

LUÔN ĐẶT SỨC KHỎE CỦA BỆNH NHÂN LÊN HÀNG ĐẦU
Đối với bác sĩ Nguyễn Quang Linh, một ca điều trị thành công không chỉ giúp cải thiện thẩm mỹ, ăn nhai mà còn phải đảm bảo sức khỏe về lâu dài. Do đó, bên cạnh chuyên môn vững chắc, bác sĩ phải hiểu rõ tình trạng của bệnh nhân để mang đến kết quả tốt nhất.
Theo quan điểm hành nghề của bác sĩ chính là một ca điều trị thành công phải dung hòa được 2 yếu tố: Thẩm mỹ và Sức khỏe. Nhờ vậy, bác sĩ Quang Linh được rất nhiều bệnh nhân tin tưởng và lựa chọn cho những lần điều trị kế tiếp.
CÁC CA ĐIỀU TRỊ CỦA BÁC SĨ CKI NGUYỄN QUANG LINH
-


CHỊ HỒ PHƯƠNG NHÃ
TP.HCM
Phương án: Cấy ghép 4 trụ implant
Loại implant: Implant Tekka Pháp -


CÔ HẠNH PHẠM
TP.HCM
Phương án: Cấy ghép implant All On 4 hàm dưới
Loại implant: Implant Straumann SLActive Thụy Sĩ -


CHÚ VÕ NGỌC LÂN
TP.HCM
Phương án: Phục hình răng sứ trên implant
Loại răng sứ: Răng sứ Titan -


CÔ TINA LƯU
VIỆT KIỀU CANADA
Phương án: Phục hình răng sứ trên implant
Loại răng sứ: Răng sứ Zirconia
CẢM NHẬN KHÁCH HÀNG VỀ BÁC SĨ CKI NGUYỄN QUANG LINH





Những Feedback của bệnh nhân được Bác sĩ Linh điều trị (lấy từ Google Maps)
NHẬN TƯ VẤN MIỄN PHÍ TỪ CHUYÊN GIA
ĐẶT LỊCH HẸN THĂM KHÁM NGAY
Vui lòng để lại thông tin của quý khách.
Nha Khoa I-Dent sẽ liên hệ đến Quý Khách trong thời gian sớm nhất















