
BÁC SĨ NGUYỄN THANH PHONG –
CHUYÊN GIA CẤY GHÉP IMPLANT VÀ PHỤC HÌNH RĂNG SỨ
Bác sĩ Nguyễn Thanh Phong tốt nghiệp Chuyên khoa RHM ĐH Y dược TPHCM và đã có hơn 5 năm kinh nghiệm trong lĩnh vực nha khoa, với nhiều bằng cấp, chứng chỉ từ các khóa đào tạo chuyên sâu.
Hiện tại, bác sĩ Nguyễn Thanh Phong đang là Chuyên gia cấy ghép Implant và Phục hình răng sứ tại nha khoa I-DENT.
Rất nhiều bệnh nhân gặp vấn đề về răng miệng thường e ngại, lo lắng mỗi khi đến nha khoa thăm khám, bởi lo lắng quá trình điều trị sẽ đau đớn. Vì vậy, tôi luôn tìm cách trò chuyện thoải mái, đồng thời giải thích kỹ lưỡng từng thắc mắc của người bệnh, nhằm tạo sự an tâm nhất cho bệnh nhân
Bác sĩ: NGUYỄN THANH PHONG
BẰNG CẤP VÀ CHỨNG CHỈ CỦA BÁC SĨ NGUYỄN THANH PHONG

- Bác sĩ RHM ĐH Y dược TPHCM.
- Chứng chỉ chuyên sâu cấy ghép Implant toàn hàm All-on-X và GBR ĐH Harvard.
- Chuyên sâu cấy ghép nha khoa tại khoa Implant BV RHM TW.
- Chứng nhận phẫu thuật Piezo trong phẫu thuật miệng BV RHM TW.
- Chứng nhận điều trị mặt dán sứ Veneer ĐH Y Hà Nội.
Các hội nghị, hội thảo tham gia:
• Hội nghị cấy ghép nha khoa.
• Hội nghị khoa học và đào tạo liên tục BV RHM TW.
• Hội nghị “Basic Issues In implant Dentistry”: Các vấn đề cơ bản về Implant nha khoa.
VỊ TRÍ CHUYÊN MÔN TẠI NHA KHOA I-DENT
Bác sĩ Nguyễn Thanh Phong đang công tác tại nha khoa I-DENT, với vị trí bác sĩ chuyên môn về:
• Cấy ghép Implant.
• Phục hình răng sứ trên Implant.
• Răng sứ thẩm mỹ/dán sứ Veneer.
KINH NGHIỆM ĐIỀU TRỊ HƠN 2.000 CA
Trong hơn 5 năm làm việc, bác sĩ Nguyễn Thanh Phong đã thực hiện điều trị cho hơn 2,000 bệnh nhân gặp vấn đề về sức khỏe răng miệng. Trong đó, bác sĩ từng tiếp nhận nhiều ca có độ khó cao như: Nhiễm trùng răng sứ, viêm nha chu nặng, mất nhiều răng, mất răng lâu năm gây tiêu xương…
Bằng chuyên môn cao, tay nghề khéo léo và sự tận tâm, bác sĩ Phong đã giúp nhiều bệnh nhân có kết quả điều trị thành công, với một sức khỏe ăn nhai tốt và nụ cười đẹp rạng ngời.

Bác sĩ Thanh Phong thực hiện điều trị cho bệnh nhân
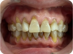
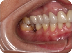
Cô Hoàng Thùy Vân
• Răng bị viêm nha chu, tiêu xương hàm.
TP Hồ Chí Minh
Cô Thùy Vân đến nha khoa I-DENT trong tình trạng răng bị viêm nha chu, đau nhức kéo dài. Trong đó có 4 răng lung lay nặng do tiêu xương, tụt nướu. Để ngăn tình trạng nhiễm trùng lan rộng, bác sĩ Phong chỉ định nhổ răng và cắm 4 trụ Implant trong 1 lần. Hạn chế tối đa cảm giác đau và giúp quá trình lành thương nhanh hơn.
Sau 3 tháng trụ Implant tích hợp tốt với xương hàm, cô Vân đã được bác sĩ phục hình răng sứ và có lại hàm răng ăn nhai chắc khỏe, thoải mái.
Chú Nguyễn Sơn
• Viêm nha chu, mất gần hết răng hàm dưới.
Việt Kiều Canada
Chỉ trong vòng 3 năm mắc bệnh lý viêm nha chu đã khiến chú Sơn mất gần hết răng hàm dưới. Bởi vậy chú gặp nhiều khó khăn trong việc ăn uống hàng ngày và sức khỏe yếu dần đi.
Qua thăm khám và chụp phim kỹ lưỡng, bác sĩ Phong nhận thấy tình trạng xương hàm của chú Sơn đã tiêu đi nhiều. Do đó, bác sĩ chỉ định cấy Implant toàn hàm All On 6, cắm 6 trụ Implant giúp phân bố đều lực nhai và giúp tái tạo xương tốt hơn.
Nhờ bác sĩ chỉ định đúng phương pháp, giờ đây chú Nguyễn Sơn đã có lại hàm răng chắc chắn và ăn uống thoải mái.
Chị Liên Phạm
• Răng nhiễm Tetracycline nặng.
Việt Kiều Mỹ
Răng nhiễm màu kháng sinh nặng và hình thể răng không đẹp là tình trạng răng của chị Liên Phạm. Chị có mong muốn cải thiện màu răng trắng sáng hơn nhưng vẫn phải tự nhiên, nhìn không bị “lộ” răng giả.
Để đáp ứng đúng nhu cầu của chị Liên, bác sĩ Phong tư vấn cho chị bọc toàn hàm 20 răng sứ Nacera 9Max. Đây là loại răng toàn sứ cao cấp, vừa có độ cứng chắc cao, vừa có hơn 20 màu răng đa dạng.
Chỉ sau 5 ngày, chị Liên đã hoàn tất quy trình bọc sứ và sở hữu hàm răng đều đẹp, trắng sáng tự nhiên đúng như mong muốn.






THẤU HIỂU TÂM LÝ BỆNH NHÂN TRONG QUÁ TRÌNH THĂM KHÁM VÀ ĐIỀU TRỊ
Với kinh nghiệm làm việc lâu năm, bác sĩ Nguyễn Thanh Phong có thể thấu hiểu được tâm lý lo lắng hay sợ đau của hầu hết người bệnh. Do đó, để bệnh nhân có thể an tâm, bác sĩ luôn cố gắng tư vấn kế hoạch điều trị thật kỹ lưỡng, đồng thời sẵn sàng giải đáp mọi thắc mắc của người bệnh. Chỉ đến khi bệnh nhân thật sự hài lòng mới tiến hành điều trị.
Bác sĩ Phong còn được đánh giá cao bởi sự tỉ mỉ, nhẹ nhàng trong từng thao tác để hạn chế xâm lấn cũng như cảm giác đau nhức cho bệnh nhân. Chính sự tận tâm này đã trở thành lý do mà rất nhiều người bệnh đã tiếp tục lựa chọn bác sĩ Thanh Phong cho những lần điều trị tiếp theo.
CÁC CA ĐIỀU TRỊ CỦA BÁC SĨ NGUYỄN THANH PHONG
-


CHỊ THU GIANG
TP HCM
Phương án: Phục hình răng sứ trên implant
Loại răng sứ: Răng sứ Lava Plus -


CHÚ VĂN VĨNH
ĐỒNG NAI
Phương án: Phục hình răng sứ trên implant
Loại răng sứ: Răng sứ Zirconia -


CHỊ BÍCH SƠN
TP.HCM
Phương án: Phục hình răng sứ trên implant
Loại răng sứ: Răng sứ Cercon HT -


CHỊ VƯƠNG THU UYÊN
TP.HCM
Phương án: Phục hình răng sứ trên implant
Loại răng sứ: Răng sứ Cercon HT
CẢM NHẬN KHÁCH HÀNG VỀ BÁC SĨ NGUYỄN THANH PHONG





Những Feedback của bệnh nhân được Bác sĩ Phong điều trị (lấy từ Google Maps)
BÁO CHÍ ĐÁNH GIÁ VỀ BS NGUYỄN THANH PHONG
NHẬN TƯ VẤN MIỄN PHÍ TỪ CHUYÊN GIA
ĐẶT LỊCH HẸN THĂM KHÁM NGAY
Vui lòng để lại thông tin của quý khách.
Nha Khoa I-Dent sẽ liên hệ đến Quý Khách trong thời gian sớm nhất












