
BÁC SĨ CKI TRẦN ĐOÀN LÊ NHÂN –
CHUYÊN GIA CẤY GHÉP IMPLANT VÀ THẨM MỸ RĂNG SỨ
Bác sĩ CKI Trần Đoàn Lê Nhân tốt nghiệp Đại học Y Dược TPHCM. Với kinh nghiệm 5 năm trong lĩnh vực Implant và thẩm mỹ răng sứ, bác sĩ đã điều trị thành công cho hơn 2,000 bệnh nhân trong và ngoài nước.
Nhằm mang đến kết quả điều trị tốt nhất cho bệnh nhân, bác sĩ Lê Nhân luôn không ngừng phấn đấu để nâng cao kiến thức và kỹ năng chuyên môn. Bác sĩ không chỉ thường xuyên tham gia các hội thảo, hội nghị chuyên ngành, mà còn tích cực tham gia các khóa đào tạo chuyên sâu ở cả trong và ngoài nước.
Hiện tại, bác sĩ Trần Đoàn Lê Nhân đang đảm nhận vai trò quan trọng là Chuyên gia cấy ghép Implant tại nha khoa I-DENT để tiếp tục hoàn thành sứ mệnh chăm sóc sức khỏe răng miệng cho bệnh nhân.
Để đưa ra giải pháp điều trị thích hợp cho bệnh nhân, quá trình thăm khám và chẩn đoán là yếu tố quyết định. Bác sĩ phải là người có kiến thức chuyên môn mới có thể đưa ra phác đồ điều trị tối ưu nhất. Đồng thời, bác sĩ phải có khả năng tiên lượng để phòng tránh những tình huống, biến chứng có thể xảy đến với sức khỏe của bệnh nhân.
Bác sĩ CKI: TRẦN ĐOÀN LÊ NHÂN
BẰNG CẤP VÀ CHỨNG CHỈ CỦA BÁC SĨ CKI TRẦN ĐOÀN LÊ NHÂN

- Bác sĩ CKI RHM Đại học Y Dược TP HCM.
- Chứng chỉ Cấy ghép nha khoa BV RHM TW.
- Chứng chỉ Phẫu thuật tạo hình nha chu.
- Khóa học cấy ghép Implant nâng cao.
VỊ TRÍ CHUYÊN MÔN TẠI NHA KHOA I-DENT
Bác sĩ CKI Trần Đoàn Lê Nhân đang công tác tại nha khoa I-DENT, với vị trí bác sĩ chuyên môn về:
• Thẩm mỹ răng sứ.
• Cấy ghép Implant và Phục hình sứ trên Implant.
• Điều trị bệnh lý răng miệng.
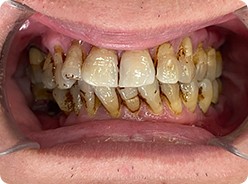
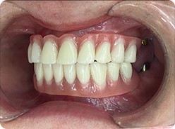
THỰC HIỆN NHIỀU CA ĐIỀU TRỊ KHÓ VÀ PHỨC TẠP
Với kinh nghiệm 5 năm trong lĩnh vực thẩm mỹ răng sứ và trồng răng Implant, Bác sĩ CKI Trần Đoàn Lê Nhân đã điều trị cho hơn 2,000 ca. Trong đó có những ca điều trị đầy thách thức như: Người lớn tuổi mất răng toàn hàm, mất răng lâu năm tiêu xương nặng, nhiễm trùng răng sứ, …
Nhờ vào kiến thức chuyên môn sâu rộng và thành thạo những kỹ thuật điều trị phức tạp đã giúp bác sĩ Lê Nhân thành công trong việc cải thiện không chỉ vẻ đẹp thẩm mỹ mà còn sức khỏe chức năng của bệnh nhân. Qua đó, giúp bệnh nhân có thêm sự tự tin và niềm vui trong cuộc sống hàng ngày.

Bác sĩ CKI Trần Đoàn Lê Nhân điều trị cho bệnh nhân
Chú Nguyễn Tôn Quyền
Mất răng toàn hàm lâu năm, bệnh tiểu đường.
Việt Kiều Mỹ
Dù đã thăm khám điều trị ở nhiều nơi nhưng hầu hết đều cho rằng tình trạng mất răng của chú không thể cải thiện bởi chú mắc bệnh lý tiểu đường. Cho đến khi đến nha khoa I-DENT và gặp được bác sĩ Lê Nhân, sau khi kiểm tra tổng quát bác sĩ tư vấn rằng chú vẫn có thể trồng răng Implant nếu kiểm soát được tình trạng bệnh lý.
Với kỹ thuật trồng răng toàn hàm Pro Arch kết hợp Implant Thụy Sỹ, thời gian lành thương và tích hợp được rút ngắn chỉ còn một nửa. Thời gian hoàn tất chỉ mất 3 tháng. Giờ đây chú Quyền đã có thể ăn uống thoải mái và yên tâm với độ bền chắc của răng Implant.
Chị Hoàng Quyên
Răng viêm tủy, nhiễm màu và khấp khểnh.
Việt Kiều Úc
Tình trạng nhiễm màu và viêm tủy răng ngày càng nặng khiến cho chị Quyên thường xuyên mất ngủ, không thể ăn uống ngon miệng vì đau nhức kéo dài. Chị may mắn được một người bạn giới thiệu đến bác sĩ Lê Nhân ( bác sĩ tại nha khoa I-DENT ). Sau khi thăm khám, bác sĩ đã lên phác đồ điều trị cho chị thực hiện bọc răng sứ toàn hàm.
Vì chỉ có 3 tuần về nước, nên chị chọn dòng răng sứ Everest Speed, sử dụng công nghệ CAD CAM 3D hiện đại giúp rút ngắn thời gian chế tác. Quá trình hoàn tất chỉ mất 48h, thời gian còn lại chị có thể đi du lịch và thăm bạn bè, người thân.
Anh Kim Tiến
Mất 2 răng hàm, có dấu hiệu tiêu xương hàm.
TP Hồ Chí Minh
Anh Kim Tiến đến với nha khoa I-DENT trong tình trạng mất 2 răng hàm nhai và xuất hiện dấu hiệu tiêu xương. Sau khi thăm khám, bác sĩ Lê Nhân đã chỉ định trồng răng Implant dòng Mis C1 Đức. Kết hợp cùng công nghệ M-Guide, quá trình trồng răng diễn ra vô cùng nhanh chóng và chuẩn xác.
Lần đầu tiên trồng răng Implant nên mình cũng khá lo lắng. Quá trình trồng răng diễn ra rất nhanh chóng và hoàn toàn không đau. Bác sĩ tay nghề giỏi và rất hiểu tâm lý của bệnh nhân.




CÁC CA ĐIỀU TRỊ CỦA BÁC SĨ CKI TRẦN ĐOÀN LÊ NHÂN
-


CHÚ THI VĂN QUANG
VIỆT KIỀU MỸ
Phương án: Phục hình răng sứ trên Implant toàn hàm
Loại răng sứ: Răng sứ Titan Mỹ -


CHÚ LÊ CHÍ BÌNH
TP.HCM
Phương án: Cấy ghép 3 trụ Implant và bọc 18 răng sứ
Loại răng sứ: Implant Mis C1 – Bọc răng sứ Cercon HT -


CHÚ NGÔN DANNY
TP.HCM
Phương án: Phục hình sứ trên Implant 2 hàm
Loại trụ: Implant Mis C1 Đức – Phục hình răng sứ Titan -


CÔ TRANG PHẠM
VIỆT KIỀU MỸ
Phương án: Phục hình răng sứ trên Implant cho 2 hàm
Loại trụ: Implant Mis C1 Đức – Phục hình sứ Zirconia
CẢM NHẬN KHÁCH HÀNG VỀ BÁC SĨ CKI TRẦN ĐOÀN LÊ NHÂN






Những Feedback của bệnh nhân được Bác sĩ Lê Nhân điều trị (lấy từ Google Maps)
BÁO CHÍ ĐÁNH GIÁ VỀ BS CKI ĐẶNG DUY TÙNG
NHẬN TƯ VẤN MIỄN PHÍ TỪ CHUYÊN GIA
ĐẶT LỊCH HẸN THĂM KHÁM NGAY
Vui lòng để lại thông tin của quý khách.
Nha Khoa I-Dent sẽ liên hệ đến Quý Khách trong thời gian sớm nhất










