
Tụt Lợi Là Gì? Nguyên Nhân Và Cách Chữa Tụt Lợi Hiệu Quả

Cố vấn chuyên môn:TS.BS. Nguyễn Hiếu Tùng
- Giám đốc Nha khoa I-DENT
- 10 năm tu nghiệp tại Pháp - hơn 10.000 ca Implant thành công
Tụt lợi hở chân răng là bệnh lý khá phổ biến ở nhiều người hiện nay, không chỉ gây mất thẩm mỹ nụ cười mà còn có thể gây ra nhiều tác hại khác đối với sức khỏe răng miệng. Vậy nguyên nhân dẫn đến tình trạng bị tụt lợi là gì? Có cách chữa răng bị tụt lợi nào hiệu quả và biện pháp phòng ngừa bệnh lý này ra sao? Hãy cùng tìm hiểu thông tin chi tiết trong bài viết sau đây nhé!
1. Tụt lợi là như thế nào?
Lợi (nướu) là phần mô mềm bao phủ chân răng, kéo dài từ cổ răng đến đáy hành lang miệng. Chúng có cấu tạo vững chắc để bao bọc, nâng đỡ và giúp răng đứng vững trên khuôn hàm.
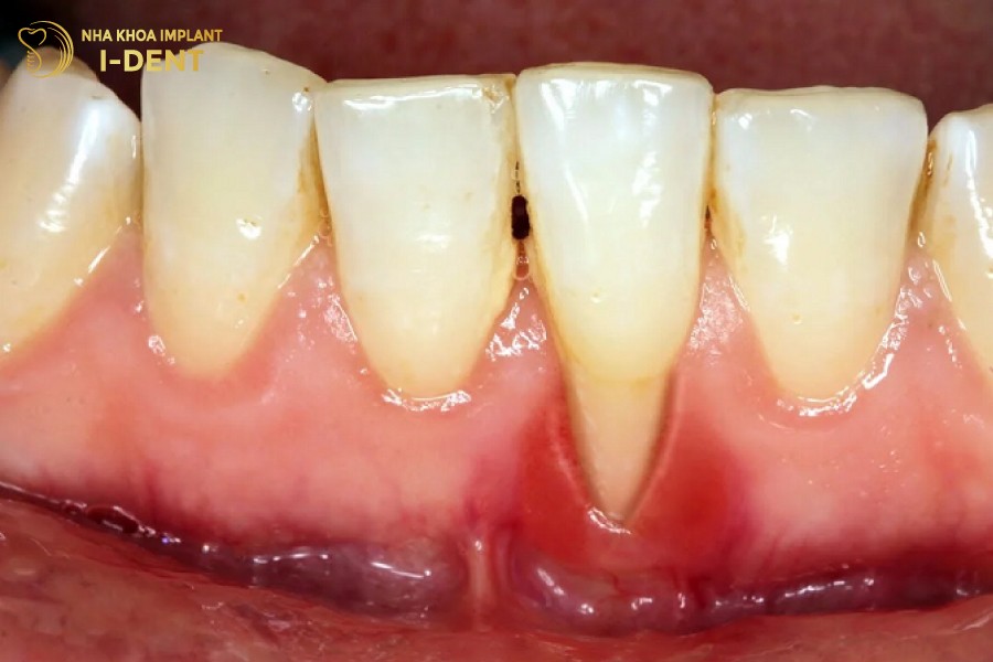
Răng bị tụt lợi nghĩa là phần lợi có xu hướng dịch chuyển xuống cuống răng, khiến cho chân răng lộ ra bên ngoài. Đồng thời tạo nên khoảng trống giữa răng và đường viền nướu, rất dễ tích tụ mảng bám vi khuẩn.

Tụt lợi gây hở chân răng
Nếu bạn chủ quan không chữa trị tụt lợi sớm, trong khi tình trạng còn nhẹ thì bệnh sẽ tiến triển ngày càng nặng và gây ra nhiều biến chứng khó chịu như lợi sưng đỏ, chảy máu chân răng, nguy hiểm hơn là khiến răng bị lung lay, mất răng.
2. Tụt lợi có thể gây ra những biến chứng gì?
Tụt lợi là bệnh lý dễ điều trị nếu phát hiện sớm. Ngược lại, nếu không khắc phục kịp thời sẽ gây ra nhiều ảnh hưởng đến sức khỏe răng miệng:
- Tụt lợi làm lộ chân răng, răng trở nên dài hơn, kẽ răng bị thưa và gây mất thẩm mỹ nụ cười.
- Tụt lợi tạo ra các kẽ hở dễ mắc kẹt thức ăn và khiến việc vệ sinh vô cùng khó khăn. Làm tăng nguy cơ mắc bệnh sâu răng cùng mùi hôi miệng khó chịu.
- Khi lợi bị tụt, chân răng lộ hẳn ra ngoài sẽ làm cho răng trở nên nhạy cảm hơn. Đặc biệt khi ăn uống đồ nóng lạnh hoặc chua cay sẽ có cảm giác ê buốt rất khó chịu.
- Phần lợi không còn ôm sát và nâng đỡ chân răng, khiến cho răng bị lung lay, thậm chí gãy rụng.

Tụt lợi vừa gây mất thẩm mỹ vừa ảnh hưởng sức khỏe răng miệng
3. Tụt lợi chân răng có chữa được không?
Với thắc mắc tụt lợi có chữa được không thì câu trả lời là có. Tùy thuộc vào tình trạng và mức độ bệnh mà mỗi trường hợp tụt lợi sẽ có cách điều trị khác nhau như: dùng thuốc kháng sinh, lấy vôi răng, phẫu thuật ghép lợi…
Quan trọng nhất vẫn là cần phải điều trị tụt lợi càng sớm càng tốt để tránh xảy ra những biến chứng nguy hiểm hơn cho răng miệng.
4. Những cách chữa răng bị tụt lợi hiệu quả
4.1 Cách điều trị tụt lợi tại nhà
Các phương pháp chữa tụt lợi tại nhà có thể được áp dụng nếu bạn chưa kịp đến nha khoa, giúp giảm bớt các triệu chứng khó chịu.
- Đánh răng và dùng chỉ nha khoa đúng cách
Đánh răng ít nhất 2 lần/ngày bằng bàn chải lông mềm, kết hợp dùng chỉ nha khoa để làm sạch kẽ răng. Đây là cách giúp ngăn ngừa tụt lợi đơn giản mà hiệu quả ngay tại nhà.
- Súc miệng với các loại thảo dược
Ở nhà, bạn có thể sử dụng những loại nước súc miệng chứa các thành phần thảo dược từ thiên nhiên như tinh dầu đinh hương, tinh dầu bạc hà, tinh dầu tràm, trà xanh, lô hội… giúp kháng khuẩn, giảm sưng viêm hiệu quả. Đồng thời hạn chế tích tụ mảng bám vôi răng và ngăn mùi hơi thở khó chịu.
- Bổ sung Axit béo Omega-3
Bổ sung thêm Axit béo Omega-3 từ cá, các loại hạt… sẽ giúp cải thiện sức khỏe răng miệng, giảm sưng viêm lợi, giúp lợi bám chắc vào chân răng.
- Dùng dầu dừa
Dùng dầu dừa là mẹo trị tụt lợi tại nhà dễ thực hiện. Dầu dừa có khả năng diệt khuẩn và làm dịu mô nướu bị tổn thương. Bạn chỉ cần lấy bông gòn thấm 1 ít dầu dừa chấm lên khu vực nướu bị tụt. Để yên 5 phút rồi súc miệng lại với nước sạch. Thực hiện mẹo này từ 1-2 lần/ngày.

Dùng dầu dừa sẽ giúp làm dịu phần mô nướu bị sưng viêm
4.2 Cách chữa răng bị tụt lợi tại nha khoa
Sau khi áp dụng một số cách trị tụt nướu răng tại nhà để giảm bớt cảm giác khó chịu, bạn nên đến nha khoa thăm khám càng sớm càng tốt. Bác sĩ sẽ kiểm tra và chẩn đoán mức độ tiến triển của bệnh, từ đó đưa ra cách điều trị tụt lợi phù hợp:
- Với tình trạng tụt lợi nhẹ và chân răng chưa lộ quá nhiều, bác sĩ thường chỉ định cạo vôi răng, đánh bóng. Nếu cần thiết sẽ cho bệnh nhân dùng thêm thuốc kháng sinh. Ngoài ra, bác sĩ cũng hướng dẫn cách đánh răng, dùng chỉ nha khoa… để ngăn bệnh tái phát trở lại.
- Với tình trạng tụt lợi nặng, chân răng hở nhiều và lợi sưng đỏ, đau nhức thì phẫu thuật ghép vạt lợi là phương pháp tối ưu. Bác sĩ sẽ sử dụng mô ghép rời tự thân, mô trong khoang miệng để cấy ghép vào phần lợi bị tụt.

Ghép vạt lợi giúp tái tạo thẩm mỹ và chức năng của vùng răng bị tụt lợi
5. Cách chăm sóc răng miệng để phòng ngừa bị tụt lợi
Các phương pháp chữa tụt lợi tuy không quá phức tạp nhưng để phòng ngừa khả năng bị tụt lợi hay ngăn chặn bệnh lý tụt lợi tái phát, bạn cần chú ý đến vấn đề vệ sinh và chăm sóc răng miệng hàng ngày:
- Đánh răng ít nhất 2 lần/ngày vào buổi sáng và tối trước khi đi ngủ với loại bàn chải lông mềm để tránh gây tổn thương nướu.
- Kết hợp sử dụng chỉ nha khoa hoặc máy tăm nước để làm sạch kẽ răng, vị trí mà bàn chải khó tiếp cận được.
- Đừng quên dùng nước súc miệng để làm sạch những vụn thức ăn còn sót lại và sát khuẩn toàn bộ khoang miệng.
- Ăn nhiều hoa quả và rau xanh để cung cấp chất xơ, vitamin… giúp tăng cường hệ miễn dịch cho sức khỏe răng miệng.
- Đến nha khoa lấy vôi răng định kỳ 6 tháng/lần và bác sĩ có thể sớm phát hiện các vấn đề răng miệng.

Nên định kỳ lấy cao răng 6 tháng/lần để đảm bảo sức khỏe răng miệng
Hy vọng bài viết đã cung cấp cho bạn nhiều kiến thức hữu ích về bệnh lý tụt lợi, các phương pháp chữa tụt lợi cũng như cách phòng ngừa tụt lợi hiệu quả. Quan trọng nhất là bạn phải xây dựng cho mình thói quen chăm sóc răng miệng kỹ lưỡng và đừng quên thăm khám định kỳ tại nha khoa nhé!
CHUYÊN SÂU IMPLANT DÀNH CHO NGƯỜI VIỆT
- Cơ sở 1:19V Nguyễn Hữu Cảnh, P.19, Q.Bình Thạnh, TP.Hồ Chí Minh
- Cơ sở 2:193A-195 Hùng Vương, P.9, Quận 5, TP.Hồ Chí Minh
- Cơ sở 3:83 Đường số 3 Khu dân cư Cityland, P.10, Q.Gò Vấp, TP.Hồ Chí Minh