
Cạo Vôi Răng Có Đau Không? Vì Sao Nên Cạo Vôi Răng?

Cố vấn chuyên môn:TS.BS. Nguyễn Hiếu Tùng
- Giám đốc Nha khoa I-DENT
- 10 năm tu nghiệp tại Pháp - hơn 10.000 ca Implant thành công
Cạo vôi răng là phương pháp hiệu quả để loại bỏ những mảng bám cứng đầu trên răng, giúp bảo vệ sức khỏe răng miệng. Vậy khi cạo vôi răng có đau không? Cần lưu ý những gì khi thực hiện cạo vôi răng? Cùng tìm hiểu chi tiết trong bài viết sau đây nhé!
1. Vì sao nên cạo vôi răng?
Cao răng/vôi răng là gì? Trong quá trình ăn uống hàng ngày luôn có những mảnh vụn thức ăn còn sót lại trong miệng, mặc dù đã vệ sinh răng vẫn khó có thể làm sạch hết được. Lâu ngày, những vụn thức ăn dư thừa này sẽ bị vôi hóa bởi vi khuẩn, muối Canxi carbonat, Calcium phosphate có trong nước bọt và bắt đầu hình thành cao răng.

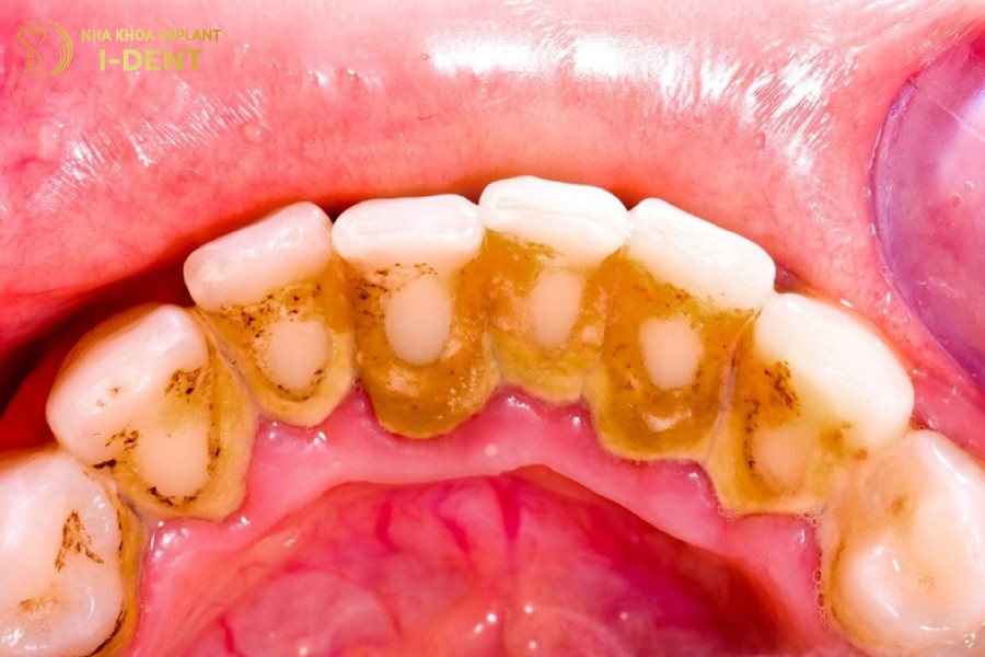
Lớp vôi răng bám chặt ở chân răng, không thể làm sạch bằng các dụng cụ vệ sinh thông thường
Cao răng lắng đọng thành lớp dày ở thân răng, nướu răng, có màu trắng đục hoặc vàng nâu gây mất thẩm mỹ và tổn hại đến sức khỏe răng miệng như là:
- Hơi thở có mùi hôi khó chịu, mất tự tin trong giao tiếp.
- Mảng bám tích tụ nhiều, dày sẽ phá hủy men răng, tăng nguy cơ mắc bệnh sâu răng.
- Vôi răng gây chảy máu chân răng, ê buốt, lâu dần sẽ thành tụt nướu, lộ chân răng.
- Vi khuẩn trong mảng bám là nguyên nhân hàng đầu gây viêm nướu, viêm nha chu, tiêu xương ổ răng… Nghiêm trọng hơn là khiến răng bị lung lay, dễ gãy rụng.
- Vôi răng còn dẫn đến một số tác nhân gây ra các bệnh lý: viêm niêm mạc miệng, viêm họng, viêm amidan…
Có thể thấy, cao răng nếu không được loại bỏ, lâu ngày tích tụ sẽ dẫn đến nhiều tác hại nguy hiểm cho răng miệng. Do đó, cần thực hiện cạo vôi răng định kỳ tại nha khoa từ 3 – 6 tháng/lần.
Bác sĩ sẽ sử dụng các thiết bị có độ rung sóng siêu âm để loại bỏ những mảng bám cứng chắc trên bề mặt răng hoặc bên dưới đường viền nướu. Tùy vào số lượng cao răng, bác sĩ sẽ quyết định thực hiện chỉ trong 1 lần hay nhiều hơn.

Cạo vôi răng cần được thực hiện định kỳ để hạn chế các bệnh lý răng miệng
2. Cạo vôi răng có đau không?
Cạo vôi răng có đau không là thắc mắc chung của nhiều người. Thực chất, cạo vôi chỉ là một thủ thuật nha khoa đơn giản, sử dụng độ rung của sóng siêu âm để làm các mảng vôi rơi ra mà không hề tác động đến cấu trúc răng. Vì thế, việc cạo vôi răng sẽ không gây đau hay có hại gì cho men răng.
Tuy nhiên trên thực tế, vẫn có trường hợp cảm thấy hơi đau hoặc có cảm giác ê ẩm sau khi cạo vôi răng. Nguyên nhân dẫn đến tình trạng này có thể là:
- Tình trạng cao răng
Trường hợp cao răng ở thân răng, có thể nhìn thấy bằng mắt thường thì việc lấy vôi sẽ diễn ra nhanh chóng, không gây ê buốt hay chảy máu chân răng.
Trường hợp vôi răng lắng đọng, bám chặt dưới nướu gây sưng, viêm thì quá trình lấy vôi răng có thể hơi đau nhức và ê buốt. Tuy nhiên, cảm giác này sẽ nhanh chóng biến mất sau vài ngày và không gây ảnh hưởng gì đến khả năng ăn nhai của răng.
- Tay nghề của bác sĩ
Nếu bệnh nhân được lấy vôi răng bởi bác sĩ có nhiều kinh nghiệm, tay nghề cao thì đương nhiên quá trình thực hiện sẽ nhẹ nhàng, không đau, không tác động đến lưỡi, má… Còn nếu lấy cao răng bởi bác sĩ tay nghề kém thì dễ gặp tổn thương nướu, răng và gây đau.

Bác sĩ có tay nghề cao sẽ lấy cao răng nhẹ nhàng, không đau
- Kỹ thuật lấy cao răng
Khi cạo vôi răng bằng máy siêu âm sẽ đảm bảo an toàn tuyệt đối với cơ thể, giúp loại bỏ nhanh chóng các mảng bám mà không hề xâm lấn vào răng hay nướu. Giảm thiểu tối đa cảm giác ê buốt cho bệnh nhân và rút ngắn thời gian thực hiện.
3. Những lưu ý sau khi cạo vôi răng
Sau khi cạo vôi răng, mô nướu và men răng lúc này sẽ khá nhạy cảm. Vì vậy, có một số vấn đề mà bệnh nhân cần lưu ý như sau:
- Đánh răng 2 lần/ngày vào sáng và tối. Sử dụng bàn chải có lông mềm, lực vừa phải, đặt bàn chải theo chiều dọc hoặc xoay tròn. Tránh chải răng theo chiều ngang vì có thể làm mòn men răng.
- Khám và cạo vôi răng định kỳ từ 3 – 6 tháng/lần.
- Không nên ăn đồ quá nóng hoặc quá lạnh thì chênh lệch nhiệt độ sẽ gây tổn hại đến men răng, khiến răng bị ê buốt.
- Không hút thuốc, uống rượu bia hay các loại thực phẩm sậm màu, nhiều axit như trà, cà phê, socola…
- Xây dựng chế độ ăn uống đầy đủ dinh dưỡng, nhiều rau củ, trái cây tươi…

Chế độ ăn uống khoa học sẽ giữ cho răng chắc khỏe
Hy vọng với những thông tin trong bài viết đã giúp bạn giải đáp thắc mắc “cạo vôi răng có đau không”. Tóm lại, khi thực hiện bất kì thủ thuật nha khoa nào, để đảm bảo an toàn và không đau đớn, bạn nên tìm hiểu kỹ để chọn đúng địa chỉ uy tín, chất lượng, với đội ngũ bác sĩ tay nghề cao, giàu kinh nghiệm.
CHUYÊN SÂU IMPLANT DÀNH CHO NGƯỜI VIỆT
- Cơ sở 1:19V Nguyễn Hữu Cảnh, P.19, Q.Bình Thạnh, TP.Hồ Chí Minh
- Cơ sở 2:193A-195 Hùng Vương, P.9, Quận 5, TP.Hồ Chí Minh
- Cơ sở 3:83 Đường số 3 Khu dân cư Cityland, P.10, Q.Gò Vấp, TP.Hồ Chí Minh