
Cạo Vôi Răng Có Tốt Không? Có Ảnh Hưởng Đến Men Răng Không?

Cố vấn chuyên môn:TS.BS. Nguyễn Hiếu Tùng
- Giám đốc Nha khoa I-DENT
- 10 năm tu nghiệp tại Pháp - hơn 10.000 ca Implant thành công
Mặc dù các bác sĩ nha khoa luôn khuyến cáo nên cạo vôi răng định kỳ từ 3 – 6 tháng/lần để bảo vệ sức khỏe răng miệng, nhưng nhiều người vẫn còn lo lắng, thắc mắc rằng liệu thực hiện cạo vôi răng có tốt không? Có ảnh hưởng gì không? Có làm mòn men răng không? Vậy thực hư như thế nào? Cùng tìm hiểu chi tiết trong bài viết sau đây!
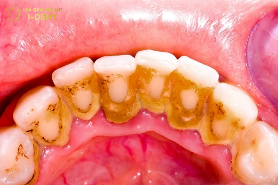
1. Vôi răng là gì?
Vôi răng chính là những mảng bám hay vụn thức ăn không được làm sạch và sót lại trong khoang miệng. Dưới tác động của vi khuẩn và nước bọt, các mảng bám này bị vôi hóa trở nên cứng hơn, không thể làm sạch bằng cách đánh răng thông thường mà phải nhờ tới sự can thiệp của các dụng cụ nha khoa chuyên dụng.
Ban đầu khi mới hình thành, vôi răng có màu ngà như men răng, sau một thời gian tích tụ sẽ dày lên và chuyển sang các màu nâu, đen.

Vôi răng lâu ngày bám cứng trên răng và dần chuyển màu
Không chỉ làm mất thẩm mỹ, vôi răng còn là nguyên nhân hàng đầu gây ra các bệnh lý răng miệng như: Sâu răng, viêm nướu, viêm nha chu, tụt nướu, thậm chí là mất răng vĩnh viễn. Đây cũng chính là lý do tại sao cần phải cạo vôi răng định kỳ.
2. Cạo vôi răng có tốt không? Có ảnh hưởng gì không?
Theo bác sĩ CKI Vũ Thiện Khanh (nha khoa I-DENT), vôi răng tích tụ trong thời gian dài sẽ gây nguy hiểm cho sức khỏe răng miệng nên việc lấy vôi răng là điều rất cần thiết và mang lại nhiều lợi ích.
Bên cạnh đó, kỹ thuật cạo vôi này thực chất chỉ tác động lên vôi răng, không hề ảnh hưởng đến phần men hay nướu răng nên bạn hoàn toàn có thể yên tâm rằng sẽ không gây ra tác hại nào và cũng không tạo ra bất kỳ đau đớn hay ê buốt nào.
Tuy nhiên, bác sĩ Khanh cũng cho biết không nên lạm dụng lấy cao răng thường xuyên, bởi dễ gây nên tình trạng chảy máu chân răng và nhiều tổn thương khác. Do đó, người bệnh chỉ nên tiến hành lấy cao răng định kỳ, tùy theo từng trường hợp răng miệng mà khoảng cách giữa các lần cạo vôi là khác nhau.

Chỉ nên cạo vôi răng 2 lần/năm, không nên lạm dụng quá nhiều
Thông thường, nên tiến hành lấy cao răng khoảng 6 tháng/lần đối với những trường hợp có sức khỏe răng miệng tốt và men răng láng bóng. Đây là thời điểm thích hợp nhất vì lúc này cao răng chưa hình thành nhiều và cũng chưa có khả năng làm ảnh hưởng đến nướu.
Trường hợp răng có men sần sùi, dễ tích tụ các mảng thức thừa hoặc người thường xuyên uống trà, cà phê, hút thuốc lá thì nên lấy cao răng từ 3 – 4 tháng/lần.
3. Cạo vôi răng có hết hôi miệng không?
Vôi răng là một trong những nguyên nhân chính gây ra tình trạng hôi miệng. Do vi khuẩn có trong mảng bám kết hợp với axit trong nước bọt tạo nên những phản ứng có hại cho sức khỏe răng miệng, đồng thời gây ra mùi hôi khó chịu. Vì vậy, việc cạo vôi răng có hết hôi miệng không không còn là câu hỏi khó trả lời.

Làm sạch vôi răng sẽ giúp giảm mùi hôi miệng khó chịu
Khi bị hôi miệng kéo dài, bệnh nhân sẽ được bác sĩ khuyến khích đi lấy vôi răng. Theo đó, việc làm sạch các mảng bám kết hợp với việc vệ sinh răng miệng sạch sẽ hàng ngày sẽ giúp cải thiện được mùi hôi trong miệng và phòng tránh tình trạng viêm nhiễm kéo dài sau đó một cách hiệu quả hơn.
4. Cách phòng ngừa vôi răng hiệu quả
Để phòng ngừa vôi răng một cách hiệu quả, chúng ta cần chú ý thực hiện chế độ chăm sóc răng miệng sạch sẽ và ăn uống hợp lý:
- Đánh răng ít nhất 2 lần/ngày: Dùng bàn chải lông mềm và kem đánh răng có florua, vừa giúp vệ sinh răng nhẹ nhàng, vừa bảo vệ men răng chắc khỏe.
- Dùng chỉ nha khoa: Sử dụng chỉ nha khoa để loại bỏ thức ăn thừa bám vào kẽ răng. Vị trí mà bàn chải thông thường khó tiếp cận được.
- Dùng nước súc miệng kháng khuẩn: Súc miệng bằng nước súc miệng kháng khuẩn, không chứa cồn 2 lần/ngày, giúp tiêu diệt vi khuẩn gây ra sự tích tụ mảng bám và vôi răng.

Dùng nước súc miệng giúp tiêu diệt vi khuẩn còn sót lại trong khoang miệng
- Không hút thuốc lá: Những người hút thuốc lá có nguy cơ phát triển vôi răng nhanh và nhiều hơn so với người bình thường.
- Chế độ ăn uống khoa học: Vi khuẩn trong miệng phát triển mạnh nhờ thức ăn có đường và tinh bột. Khi tiếp xúc với những thực phẩm đó, chúng sẽ tiết ra axit có hại. Vì vậy, bạn cần xây dựng một chế độ ăn uống lành mạnh, hạn chế thức ăn có đường, tinh bột.
- Kiểm tra và làm sạch định kỳ: Đánh răng và dùng chỉ nha khoa tại nhà là điều cần thiết để giữ răng khỏe mạnh. Tuy nhiên, bạn vẫn cần cạo vôi răng tại nha khoa 2 lần/năm.
Hy vọng những thông tin trong bài viết đã giúp bạn giải đáp các thắc mắc cạo vôi răng có tốt không? Cạo vôi răng có nguy hiểm không? Khi có nhu cầu cạo vôi răng hay tìm hiểu về bất cứ dịch vụ nha khoa nào khác, hãy liên hệ đến nha khoa I-DENT để được tư vấn hoàn toàn miễn phí.
CHUYÊN SÂU IMPLANT DÀNH CHO NGƯỜI VIỆT
- Cơ sở 1:19V Nguyễn Hữu Cảnh, P.19, Q.Bình Thạnh, TP.Hồ Chí Minh
- Cơ sở 2:193A-195 Hùng Vương, P.9, Quận 5, TP.Hồ Chí Minh
- Cơ sở 3:83 Đường số 3 Khu dân cư Cityland, P.10, Q.Gò Vấp, TP.Hồ Chí Minh