
Giải Đáp: Cạo Vôi Răng Có Trắng Răng Không?

Cố vấn chuyên môn:TS.BS. Nguyễn Hiếu Tùng
- Giám đốc Nha khoa I-DENT
- 10 năm tu nghiệp tại Pháp - hơn 10.000 ca Implant thành công
Vôi răng tích tụ lâu ngày không được làm sạch thường có màu vàng hoặc nâu, khiến răng bị xỉn màu và mất thẩm mỹ. Do đó, nhiều người thắc mắc là sau khi cạo vôi răng có làm trắng răng không? Hãy cùng nha khoa I-Dent tìm hiểu rõ hơn về vấn đề này trong bài viết dưới đây nhé!
1. Cạo vôi răng có làm trắng răng không?
Những mảng bám hay vụn thức ăn thừa sau quá trình ăn uống sẽ còn tồn đọng lại ở nhiều vị trí trong khoang miệng, dù đã đánh răng vẫn khó có thể làm sạch hết được. Theo thời gian, những mảng bám này sẽ bị vôi hóa dần thành cao răng bởi vi khuẩn và muối canxi cacbonat, calcium phosphate ở bên trong nước bọt.
Vôi răng khi bám trên răng lâu ngày sẽ gây ra nhiều tác hại xấu đối với sức khỏe răng miệng. Do đó, bác sĩ luôn khuyến cáo chúng ta nên cạo vôi định kỳ khoảng 6 tháng/lần.

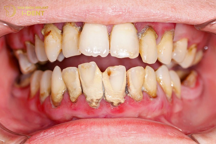
Vôi răng tích tụ gây vàng răng mất thẩm mỹ
Vậy ngoài tác dụng làm sạch thì cạo vôi răng có trắng răng không? Về cơ bản, cạo vôi răng sẽ giúp loại bỏ những mảng bám cứng đầu trên bề mặt răng hoặc sâu dưới viền nướu, mà bạn không thể tự làm sạch tại nhà. Từ đó giúp loại bỏ môi trường phát triển của vi khuẩn, ngăn chặn được nhiều bệnh lý như: hôi miệng, sâu răng, viêm nướu, viêm nha chu…
Đặc biệt, sau khi lấy cao răng, bác sĩ sẽ có thao tác đánh bóng giúp răng trở nên trơn nhẵn và sáng bóng hơn.
Tuy nhiên, theo ý kiến của bác sĩ chuyên khoa thì việc cao vôi không thể thay đổi màu sắc vốn có của răng và giúp trắng sáng rõ rệt được. Nếu muốn răng trắng bật tone thì phải nhờ đến phương pháp chuyên dụng chính là tẩy trắng răng với thuốc và đèn Laser.

Cạo vôi răng không giúp răng trắng sáng bật tone
2. Bao lâu nên cạo vôi răng một lần?
Vậy bao lâu nên cạo vôi răng một lần là hợp lý? Là câu hỏi của nhiều người có quan tâm đến vấn đề chăm sóc sức khỏe răng miệng khỏe mạnh. Theo bác sĩ Nguyễn Quang Linh (tại nha khoa I-DENT), trung bình khoảng 6 tháng thì nên đi khám nha khoa định kỳ và lấy vôi răng. Đây là thời gian phù hợp, khi các mảng bám hình thành chưa quá lâu, chưa tác động nhiều đến răng và nướu, đồng thời nướu răng cũng đã hồi phục từ lần lấy vôi trước.
Bên cạnh đó, vẫn có một số trường hợp đặt biệt cần lấy vôi răng sớm hoặc trễ hơn như:
- Trường hợp trễ hơn 6 tháng/lần: Đối với người có ít mảng bám hoặc vệ sinh răng miệng tốt, men răng bóng.
- Trường hợp nên cạo vôi răng 3 – 4 tháng/lần: Với người có men răng sần sùi, dễ tích tụ thức ăn hoặc người thường xuyên hút thuốc lá thì nên lấy vôi răng thường xuyên.
3. Cạo vôi răng mất bao lâu?
Trên thực tế, thời gian cạo vôi răng mất bao lâu sẽ tùy thuộc vào các yếu tố như mức độ vôi răng ít hay nhiều, tay nghề bác sĩ và kỹ thuật áp dụng.
Trước đây, việc cạo vôi răng chỉ được thực hiện bằng tay với các dụng cụ chuyên dụng nên sẽ khó làm sạch hết cao răng, đặc biệt là ở bên dưới đường viền nướu. Thời gian lấy vôi cũng kéo dài từ 40-60 phút.
Tuy nhiên, với sự phát triển của công nghệ nha khoa hiện nay, quá trình cạo vôi răng được thực hiện bằng máy siêu âm, giúp làm sạch mảng bám vôi răng một cách triệt để mà không hề gây ê buốt, khó chịu. Đồng thời, thời gian cũng được rút ngắn đáng kể, chỉ khoảng 20 – 30 phút là đã có thể hoàn thành.

Công nghệ sóng siêu âm giúp làm sạch vôi răng dễ dàng và nhanh chóng
4. Cách chăm sóc răng miệng ngăn ngừa cao răng
Sau khi cạo vôi răng, mảng bám chắc chắn sẽ quay trở lại bởi hoạt động ăn uống của chúng ta vẫn luôn tiếp diễn. Do đó, giúp giảm thiểu lượng vôi răng tích tụ ít hơn, bạn có thể chú ý trong hoạt động chăm sóc răng miệng hằng ngày như:
- Chải răng đúng cách, chải răng theo chiều dọc hoặc xoay tròn, không nên chải ngang vì sẽ làm hư hại men răng. Chú ý chải cả mặt sau của răng, bởi đây là vị trí mảng bám tích tụ nhiều hơn.
- Sử dụng các loại kem đánh răng có chứa Flour bổ sung lớp bảo vệ cho răng.
- Dùng thêm chỉ nha khoa, máy tăm nước và nước súc miệng để làm sạch mảng bám, vi khuẩn tốt hơn.
- Chế độ ăn uống lành mạnh, hạn chế đồ ăn nhiều đường, có gas, chua, lên men… vì chúng tiết nhiều axit ăn mòn men răng.
- Không nên hút thuốc lá vì dễ gây tích tụ mảng bám và làm vàng răng mất thẩm mỹ.
- Đặc biệt chú ý thăm khám nha khoa định kỳ 6 tháng/lần để bác sĩ cạo vôi răng.

Vôi răng chỉ có thể được loại bỏ bằng các kỹ thuật nha khoa
Hy vọng rằng những thông tin trong bài viết đã giúp bạn giải đáp được thắc mắc cạo vôi răng có trắng răng không và bao lâu nên lấy cao răng một lần. Nếu bạn cần tư vấn thêm thông tin, đừng ngần ngại liên hệ với nha khoa I-DENT qua số hotline 094 1818 616 nhé.
CHUYÊN SÂU IMPLANT DÀNH CHO NGƯỜI VIỆT
- Cơ sở 1:19V Nguyễn Hữu Cảnh, P.19, Q.Bình Thạnh, TP.Hồ Chí Minh
- Cơ sở 2:193A-195 Hùng Vương, P.9, Quận 5, TP.Hồ Chí Minh
- Cơ sở 3:83 Đường số 3 Khu dân cư Cityland, P.10, Q.Gò Vấp, TP.Hồ Chí Minh