
5 Mẹo Cạo Vôi Răng Tại Nhà Và Những Lưu Ý

Cố vấn chuyên môn:TS.BS. Nguyễn Hiếu Tùng
- Giám đốc Nha khoa I-DENT
- 10 năm tu nghiệp tại Pháp - hơn 10.000 ca Implant thành công
Vôi răng là một trong những nguyên nhân hàng đầu gây ra các bệnh lý răng miệng nguy hiểm. Do đó, việc làm sạch các mảng bám thường xuyên, để ngăn tích tụ vôi răng là điều cần thiết. Cùng tham khảo qua những mẹo cạo vôi răng tại nhà đơn giản trong bài viết sau đây nhé!
1. Những cách cạo vôi răng tại nhà đơn giản, hiệu quả
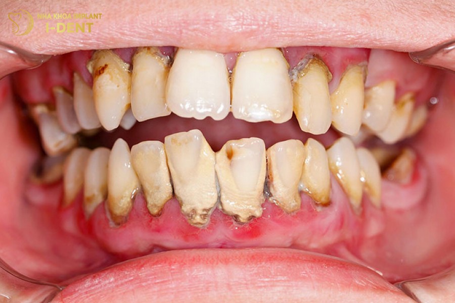
Vôi răng là những cặn bám tích tụ trên bề mặt răng và nằm tận sâu dưới viền nướu, có màu trắng đục hoặc nâu vàng. Vôi răng được hình thành do sự tác động của vi khuẩn lên vụn thức ăn còn sót lại, theo thời gian sẽ tích tụ và cứng dần. Nó không chỉ gây mất thẩm mỹ mà còn là tác nhân dẫn đến các bệnh lý như sâu răng, viêm nướu, viêm nha chu, hôi miệng…

Vôi răng tích tụ lâu ngày gây ra nhiều bệnh lý răng miệng nguy hiểm
Khi vôi răng đã bám lâu ngày, gắn chặt vào bề mặt răng thì cần phải thực hiện các biện pháp chuyên nghiệp tại nha khoa để loại bỏ. Nhưng với những mảng bám mới hình thành, mỏng, nhẹ thì bạn có thể áp dụng 05 mẹo sau đây để tự cạo vôi răng tại nhà:
1.1 Lấy cao răng tại nhà bằng muối và chanh
Muối có tác dụng sát khuẩn, ngừa sâu răng, kết hợp với chanh có tính axit sẽ giúp làm sạch mảng bám một cách hiệu quả.
Cách thức hiện rất đơn giản. Bạn chỉ cần vắt lấy nước cốt chanh, cho 1 ít muối và khuấy đều. Sau khi được hỗn hợp chanh muối, bạn dùng để ngậm trong miệng khoảng 2 – 3 phút. Kết thúc, hãy súc miệng lại với nước.
Chỉ nên duy trì phương pháp này khoảng 1 – 2 lần/tuần, không nên làm dụng đế tránh làm hỏng men răng.

Muối và chanh là bộ đôi giúp làm sạch mảng bám hiệu quả
1.2 Tự cạo vôi răng tại nhà bằng dầu dừa
Sử dụng dầu dừa là một trong những cách cạo vôi răng tại nhà đơn giản. Ngoài công dụng làm đẹp tóc, đẹp da, dầu dừa còn có khả năng ngăn chặn mảng bám, tránh hình thành vôi răng và giúp răng sáng bóng hơn.
Bạn tẩm dầu dừa tinh khiết vào một miếng bông gòn sạch, sau đó chà sát trực tiếp lên toàn bộ bề mặt răng, giữ trong khoảng 4 phút rồi đánh răng lại.
1.3 Lấy cao răng tại nhà bằng dầu oliu
Cũng giống như dầu dừa, dầu oliu được sử dụng để loại bỏ mảng bám, vết ố vàng mất thẩm mỹ trên răng.
Cách thực hiện tương tự như khi dùng dầu dừa. Dùng một miếng bông sạch để tẩm dầu và chà sát lên răng. Đây là cách cạo vôi răng tại nhà khá đơn giản mà bạn có thể thực hiện mỗi ngày.

Tự lấy vôi răng tại nhà với dầu oliu
1.4 Loại bỏ cao răng bằng baking soda
Cách cạo vôi răng tại nhà tiếp theo chính là dùng baking soda. Đây là loại bột nở có tính kiềm yếu, trong thành phần chứa nhóm -OH. Do đó khi sử dụng baking soda sẽ phản ứng với các chất trên mảng bám vôi răng. Làm vôi răng mềm và dễ để làm sạch hơn.
Bên cạnh đó, baking soda còn có tác dụng cải thiện tình trạng răng ố vàng, xỉn màu.
Với cách sử dụng đơn giản: bạn hòa tan một nửa muỗng baking soda với nước ấm, tạo thành hỗn hợp sền sệt. Sử dụng hỗn hợp này để đánh răng trong 3 phút rồi súc miệng lại với nước sạch.
1.5 Lấy cao răng tại nhà bằng vỏ cam
Sử dụng vỏ cam là cách cạo vôi răng tại nhà đơn giản nhưng không kém phần hiệu quả. Ngoài ra, trong thành phần vỏ cam có chứa nhiều vitamin C, giúp làm trắng răng một cách tự nhiên.
Để sử dụng vỏ cam lấy vôi răng, đầu tiên, bạn lấy vỏ đi phơi khô rồi xay nhuyễn. Mỗi lần sử dụng, hãy lấy một ít bột trộn cùng với kem đánh răng và chải răng như bình thường.

Sử dụng bột vỏ cam vừa làm sạch mảng bám, vừa giúp răng sáng bóng hơn
2. Lưu ý về việc thực hiện cạo vôi răng tại nhà
Thực tế, các phương pháp cạo vôi răng tại nhà chỉ có tác dụng trong trường hợp những mảng bám mới hình thành, còn mỏng, nhẹ. Riêng trường hợp vôi hóa lâu năm, mảng bám có màu vàng và bám chặt tại cổ chân răng hoặc nướu thì chỉ có thể làm sạch bằng các biện pháp chuyên dụng tại nha khoa.
Ngoài ra, nếu lạm dụng hoặc thực hiện sai cách có thể gây kích ứng nướu răng, mòn men răng, răng trở nên ê buốt, khó chịu…
Tự lấy vôi răng tại nhà cũng không thể loại bỏ hết mảng bám ở những vị trí sâu bên trong hàm, hay bên dưới nướu.

Cạo vôi răng tại nhà không đảm bảo hiệu quả như ở nha khoa
Trên đây là những cách cạo vôi răng tại nhà mà bạn đọc có thể tham khảo. Tuy nhiên, để đảm bảo sức khỏe răng miệng thì bạn nên đến nha khoa thăm khám định kỳ 6 tháng/lần. Tại đây, bác sĩ có chuyên môn và thiết bị hiện đại hỗ trợ sẽ lấy vôi răng một cách triệt để.
CHUYÊN SÂU IMPLANT DÀNH CHO NGƯỜI VIỆT
- Cơ sở 1:19V Nguyễn Hữu Cảnh, P.19, Q.Bình Thạnh, TP.Hồ Chí Minh
- Cơ sở 2:193A-195 Hùng Vương, P.9, Quận 5, TP.Hồ Chí Minh
- Cơ sở 3:83 Đường số 3 Khu dân cư Cityland, P.10, Q.Gò Vấp, TP.Hồ Chí Minh