
Làm Cầu Răng Sứ Có Bị Tiêu Xương Không?

Cố vấn chuyên môn:TS.BS. Nguyễn Hiếu Tùng
- Giám đốc Nha khoa I-DENT
- 10 năm tu nghiệp tại Pháp - hơn 10.000 ca Implant thành công
Cầu răng sứ là một trong những phương án phục hình răng mất được khá nhiều người lựa chọn. Khi có thể giúp khôi phục lại một phần chức năng ăn nhai và tính thẩm mỹ. Tuy nhiên, phương án này không mang lại kết quả trọn vẹn, bởi không ngăn được tình trạng tiêu xương, tụt nướu. Vậy nguyên nhân là gì và có cách khắc phục như thế nào?
1. Làm cầu răng có bị tiêu xương không?
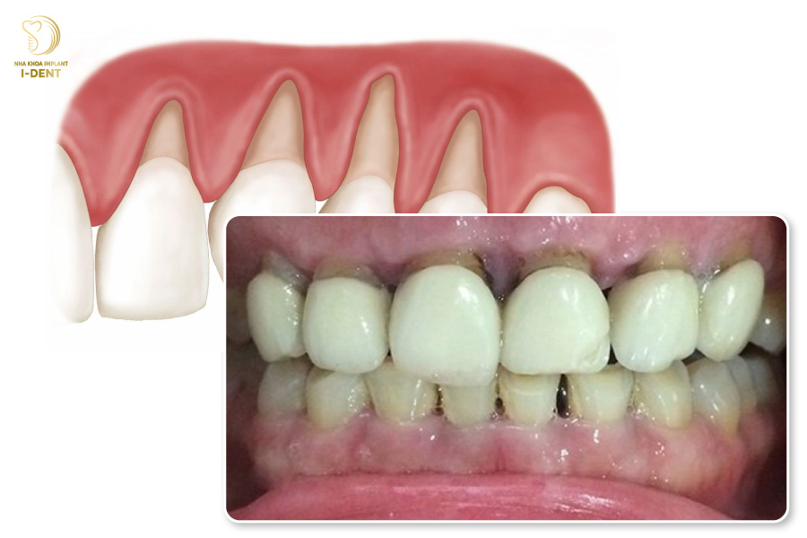
Sau khi làm cầu răng, hiện tượng tiêu xương hàm vẫn diễn ra vì không có chân răng, khiến cho mô nướu bên dưới cầu răng ngày càng co lại, không còn đầy đặn như trước. Theo thời gian, chân răng không còn cũng sẽ không có lực tác động. kích thích đến vùng xương hàm, khiến cho chiều rộng và chiều cao của xương hàm ngày càng sụt giảm. Biểu hiện dễ thấy nhất chính là vùng mô nướu bên dưới cầu răng dần lõm xuống, để lộ khoảng trống giữa nướu và phần răng giả.
Cấu tạo của một cầu răng sứ bao gồm: 2 mão răng sứ bọc lên 2 chân răng làm trụ và răng giả nằm ở giữa thay thế cho răng đã mất. Vì vậy, về bản chất phương án này chỉ giúp khôi phục lại được phần thân răng trên nướu, lấp đi chỗ trống mất răng chứ không thể tái tạo lại được chân răng đã mất.
Tình trạng tiêu xương khi làm cầu răng sứ
Ngoài ra một số nguyên nhân có thể làm tiêu xương sau khi phục hình cầu răng sứ như:
- Bác sĩ thực hiện sai kỹ thuật, khiến cho răng sứ không sát khít với đường viền nướu, thức ăn dễ mắc lại. Lâu ngày tạo điều kiện cho vi khuẩn sinh sôi, hình thành mảng bám và gây tiêu xương.
- Chất liệu răng sứ không đảm bảo, gây kích ứng nướu và tiêu xương.
- Vệ sinh răng miệng không đúng cách, gây mòn cổ răng.
2. Tiêu xương khi làm cầu răng sứ có ảnh hưởng gì?
Những biến chứng xảy ra khi bắc cầu răng sứ bị hở là rất nghiêm trọng, không chỉ ảnh hưởng đến thẩm mỹ khuôn mặt mà còn làm nguy hại đến độ khỏe mạnh của những răng xung quanh.
- Gây ra nhiều bệnh lý răng miệng: Khi cầu răng sứ bị hở sẽ tạo ra khoảng trống giữa răng sứ và nướu, vị trí này rất dễ mắc kẹt thức ăn và tạo thành môi trường để vi khuẩn phát triển. Lâu dần sẽ dẫn đến các bệnh lý răng miệng như: sâu răng, viêm nướu, viêm nha chu,…
Cầu răng sứ gây tiêu xương và dẫn đến nhiều bệnh lý răng miệng
- Gây ra đau nhức, ê buốt: Do răng sứ không sát khít, nên mỗi khi ăn uống sẽ gây khó chịu, đau nhức vùng nướu. Có thể xuất hiện tình trạng tụ mủ và chảy máu chân răng. Hơn nữa, thức ăn dễ bám vào chân răng, lâu ngày không được làm sạch cũng gây viêm nhiễm và làm tình trạng đau nhức nghiêm trọng hơn.
- Khó khăn trong ăn nhai: Cầu răng sứ bị hở khiến chức năng ăn nhai bị cản trở. Bởi lúc này khớp cắn không còn linh hoạt, nên việc cắn xé thức ăn sẽ gặp nhiều khó khăn.
- Nguy cơ mất răng thật: Tình trạng tiêu xương, tụt nướu kéo dài sẽ làm cho chân răng không còn được nâng đỡ chắc chắn, rất dễ bị lung lay và gãy rụng.
3. Phương án trồng răng giả không bị tiêu xương
Hiện nay, chỉ có duy nhất một phương án phục hình răng giả có thể khắc phục được tình trạng tiêu xương, tụt nướu chính là trồng răng Implant (cấy ghép Implant).
Cấy ghép Implant có thể khắc phục được tình trạng tiêu xương
Với phương án này, trụ Implant sẽ được đặt vào xương hàm tại vị trí mất răng. Sau khi trụ Implant đã tích hợp cứng chắc với xương hàm, sẽ hệt như một chân răng thật. Thông qua quá trình ăn nhai hàng ngày, răng Implant sẽ tạo ra lực tác động và kích thích lên xương hàm, từ đó giúp duy trì mật độ xương, ngăn chặn được tình trạng tiêu xương và giữ cho phần nướu không bị lõm xuống sau khi mất răng. Điều mà cầu răng sứ không làm được.
Người mất răng lâu năm, tiêu xương hàm nhiều cũng có thể trồng răng Implant nhờ vào các kỹ thuật hỗ trợ như nâng xoang, ghép màng xương, ghép xương… Sau khi thực hiện, các mô xương hàm tại vị trí mất răng có thể phục hồi cả chiều dài, chiều rộng và chiều cao.
Ngoài khả năng bảo tồn xương hàm nhờ phục hồi lại được chân răng, chức năng ăn nhai và thẩm mỹ của răng Implant cũng được đánh giá rất cao, khi có thể khôi phục đến 99% lực nhai tự nhiên của hàm, hình dáng, kích thước và màu sắc như răng thật..
CHUYÊN SÂU IMPLANT DÀNH CHO NGƯỜI VIỆT
- Cơ sở 1:19V Nguyễn Hữu Cảnh, P.19, Q.Bình Thạnh, TP.Hồ Chí Minh
- Cơ sở 2:193A-195 Hùng Vương, P.9, Quận 5, TP.Hồ Chí Minh
- Cơ sở 3:83 Đường số 3 Khu dân cư Cityland, P.10, Q.Gò Vấp, TP.Hồ Chí Minh