
Chi Phí Chữa Tụt Lợi Bao Nhiêu Tiền?

Cố vấn chuyên môn:TS.BS. Nguyễn Hiếu Tùng
- Giám đốc Nha khoa I-DENT
- 10 năm tu nghiệp tại Pháp - hơn 10.000 ca Implant thành công
Khi mắc phải bệnh lý tụt lợi chân răng cần điều trị càng sớm càng tốt để tránh những biến chứng nguy hiểm cho sức khỏe răng miệng. Vậy cụ thể chi phí chữa tụt lợi bao nhiêu tiền? Cùng tìm hiểu trong bài viết dưới đây.
1. Chữa tụt lợi bao nhiêu tiền theo từng giai đoạn
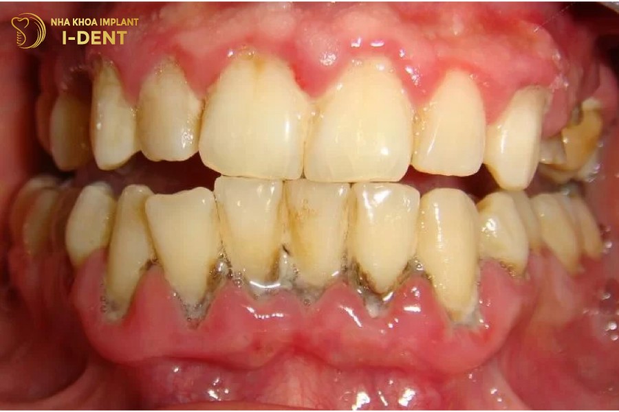
Tụt lợi là tình trạng mô nướu bị co về phía cuống răng, làm lộ chân răng ra ngoài. Tình trạng này kéo dài sẽ ảnh hưởng lớn đến thẩm mỹ và sức khỏe răng miệng. Vì vậy, việc phát hiện và điều trị bệnh sớm sẽ giúp tránh được những biến chứng nghiêm trọng.

Tụt lợi gây ảnh hưởng lớn đến sức khỏe răng miệng
Vậy chữa tụt lợi bao nhiêu tiền? Để biết chính xác về giá tiền điều trị, người bệnh nên đến trực tiếp nha khoa để bác sĩ thăm khám và báo giá đúng chi phí chữa tụt lợi cho tình trạng bệnh lý của bản thân. Bởi bệnh lý này thường tiến triển qua ba giai đoạn, tương đương với ba phương pháp điều trị khác nhau. Do đó, chi phí điều trị ở từng giai đoạn cũng sẽ có sự khác biệt.
- Tụt lợi giai đoạn đầu
Ở giai đoạn đầu, tình trạng tụt lợi chưa gây ra nhiều ảnh hưởng đến sức khỏe răng miệng. Lúc này, nhìn từ ngoài vào răng sẽ hơi dài ra, có thể xuất hiện viêm nướu nhưng cảm giác ê buốt răng vẫn chưa rõ ràng.
Giải pháp để cải thiện tình trạng này khá đơn giản, đó là cạo vôi răng giúp loại bỏ mảng bám và vi khuẩn gây bệnh.
Chi phí cạo vôi thường dao động từ 200.000 – 500.000VNĐ/lần tùy vào số lượng cao răng nhiều hay ít.

Cạo vôi răng là phương pháp phổ biến để điều trị tụt lợi mức độ nhẹ
- Bệnh tụt lợi ở giai đoạn đang phát triển
Ở giai đoạn này, bạn có thể nhận thấy chân răng bị ăn mòn rõ rệt, phần chân răng lộ ra ngoài khá nhiều và kèm theo triệu chứng ê buốt, đau nhức rõ rệt khi ăn uống hoặc vệ sinh răng miệng.
Bác sĩ sẽ tiến hành cạo vôi răng, sau đó cho bệnh nhân ngậm gel Florua hoặc thực hiện hàn trám cổ răng. Mức độ răng bị ăn mòn càng nhiều thì chi phí chữa trị tụt lợi sẽ càng cao.
- Tụt lợi ở giai đoạn nặng
Tình trạng tụt lợi tiến triển nghiêm trọng, chân răng lộ hẳn ra ngoài, thậm chí bị ăn mòn nặng. Đồng thời xuất hiện những kẽ hở lớn nên rất dễ bị giắt thức ăn, mảng bám. Những cơn đau buốt cũng trở nên trầm trọng hơn.
Giải pháp điều trị tốt nhất lúc này là phải tiến hành phẫu thuật ghép lợi. Bác sĩ sử dụng một vạt niêm mạc trong miệng để ghép vào vị trí bị tụt lợi. Nhờ vậy, phần chân răng bị lộ ra có thể được che khuất và được bảo vệ tốt hơn.
Vậy trong giai đoạn này, phẫu thuật tụt lợi giá bao nhiêu? Chi phí phẫu thuật ghép lợi có giá khoảng 5 – 7 triệu đồng/răng.

Phẫu thuật ghép vạt lợi bù đắp phần nướu bị thiếu hụt, khôi phục chức năng nhai
2. Yếu tố quyết định đến chi phí chữa tụt lợi
Có 2 yếu tố chính quyết định đến chi phí điều trị tụt lợi hết bao nhiêu tiền:
- Tình trạng răng miệng
Như đã thông tin ở trên, nếu người bệnh điều trị tụt lợi ở giai đoạn nhẹ thì chi phí chỉ khoảng vài trăm nghìn. Còn để bệnh tiến triển đến giai đoạn nặng, phải thực hiện phẫu thuật thì chi phí sẽ lên đến vài triệu.
- Chính sách của mỗi nha khoa
Mỗi nha khoa đều có sự khác biệt về cơ sở vật chất, công nghệ, thiết bị, đội ngũ bác sĩ, chế độ hậu mãi… Do đó, chi phí chữa tụt lợi tại từng nha khoa cũng sẽ khác nhau.
3. Địa chỉ nha khoa điều trị tụt lợi an toàn, hiệu quả
Để điều trị tụt lợi an toàn, hiệu quả với mức chi phí hợp lý, bệnh nhân nên lựa chọn được địa chỉ nha khoa thực sự uy tín.
Tại TP.HCM, nha khoa I-Dent là địa chỉ đáng tin cậy mà bệnh nhân có thể đặt niềm tin. Trung tâm nha khoa I-Dent đáp ứng đầy đủ các tiêu chí về đội ngũ bác sĩ có chuyên môn cao, trang thiết bị, máy móc hiện đại và chi phí hợp lý.

Hệ thống nha khoa I-DENT đạt chuẩn Quốc tế ISO của Vương Quốc Anh về chất lượng dịch vụ
- Đội ngũ bác sĩ tại I-Dent đều có trình độ từ chuyên khoa I trở lên và có hơn 6 năm kinh nghiệm trong nghề. Các bác sĩ với tay nghề khéo léo, đảm bảo điều trị cho bệnh nhân nhẹ nhàng, không đau và đạt kết quả đúng như mong muốn.
- Trang thiết bị, máy móc được I-Dent nhập khẩu trực tiếp từ Mỹ, Châu Âu như: máy siêu âm Piezotome, máy cạo vôi siêu âm, tẩy trắng răng với công nghệ Lumacool, máy trám răng thẩm mỹ Soft – Start, máy chữa tủy siêu âm, máy hấp vô trùng Autoclave…
- Quy trình điều trị đúng chuẩn Bộ Y tế, mỗi bệnh nhân được điều trị 1:1:1 (Trong 1 phòng riêng biệt, với 1 bác sĩ và 1 bộ dụng cụ riêng).
- Nha khoa I-Dent luôn công khai bảng giá điều trị minh bạch, rõ ràng để bệnh nhân có thể tham khảo. Kèm theo nhiều chương trình ưu đãi hàng tháng.
Vậy chi phí chữa tụt lợi bao nhiêu tiền sẽ còn phụ thuộc vào mức độ nghiêm trọng của bệnh lý và địa chỉ nha khoa mà bạn lựa chọn. Nếu muốn biết chính xác chi phí, hãy đến nha khoa I-DENT để được bác sĩ thăm khám và tư vấn hoàn toàn miễn phí.