
Cùi Răng Sứ Giả Là Gì? Làm Cùi Giả Cho Răng Có Đau Không?

Cố vấn chuyên môn:TS.BS. Nguyễn Hiếu Tùng
- Giám đốc Nha khoa I-DENT
- 10 năm tu nghiệp tại Pháp - hơn 10.000 ca Implant thành công
Có lẽ nhiều người sẽ xa lạ với cụm từ “cùi răng sứ” giả. Thay vì các bác sĩ sẽ mài răng thật làm cùi răng để gắn mão sứ, thì cùi răng sứ giả có chức năng như cùi răng thật. Được áp dụng trong nhiều trường hợp đặc biệt. Để biết thêm thông tin, ưu và nhược điểm của cùi răng sứ, mời bạn tham khảo bài viết sau đây.
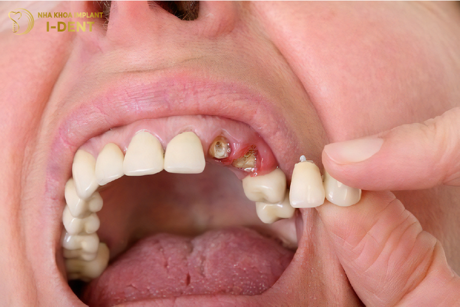
1. Cùi răng giả là gì?
Để bọc răng sứ, bác sĩ bắt buộc phải mài răng thật để làm cùi. Sau đó, gắn mão sứ bên ngoài và kết thúc quá trình bọc sứ. Tuy nhiên trong một số trường hợp như: Răng đã điều trị tủy răng nhiều lần, răng bị sâu nặng, men răng bị hư tổn quá nhiều không thể mài cùi răng vì không đủ men răng, thì bác sĩ sẽ tiến hành gắn cùi răng sứ giả.
Tóm lại, cùi răng sứ giả là một dạng mô phỏng của cùi răng thật. Mục đích để răng cứng chắc hơn, tạo trụ đỡ cho mão sứ gắn bên ngoài. Cùi răng sứ giả có thể được làm từ nhiều chất liệu và kích cỡ khác nhau tùy thuộc vào tình trạng răng của mỗi người.

Cùi răng giả
2. Cùi răng giả có những loại nào?
2.1 Cùi giả kim loại
Cùi giả kim loại có cấu tạo gồm hai lớp: khung sườn được làm từ hợp kim Cr – Cb, Cr – Ni hoặc Titan và vỏ sứ Ceramco III. Cùi răng giả kim loại mang lại nhiều ưu điểm như:
- Chi phí thấp
- Khả năng chịu lực ăn nhai cao
- Độ cứng chắc gấp 1 đến 2 lần răng thật
- Tuổi thọ trung bình khoảng 5 đến 10 năm
Tuy có độ cứng chắc cao và chi phí khá thấp, song cùi răng kim loại vẫn còn nhiều hạn chế. Chẳng hạn như về màu sắc của răng. Bởi do được làm từ kim loại, nên sau một thời gian sử dụng sẽ bị oxy hóa. Gây ra hiện tượng đen viền nướu kém thẩm mỹ.

Cùi giả kim loại
2.2 Cùi răng giả toàn sứ
Khác với cùi răng sứ kim loại, cùi giả toàn sứ được cấu tạo từ 100% phôi sứ nguyên chất. Đây là lựa chọn tối ưu dành cho khách hàng muốn chụp răng sứ thẩm mỹ nhưng cấu trúc răng chưa được đảm bảo. Cùi răng giả toàn sứ mang lại nhiều ưu điểm như:
- Có khả năng thích ứng với môi trường khoang miệng rất tốt vì làm từ sứ 100%.
- Không gây kích ứng, đảm bảo an toàn cho khách hàng sử dụng.
- Cùi giả toàn sứ đạt tính thẩm mỹ rất cao, không đen viền nướu khi sử dụng.
- Độ lệch màu răng thật gần như không có.
- Khả năng dẫn nhiệt tốt, không gây ê buốt khi ăn uống.
- Tuổi thọ sử dụng lên đến 20 năm nếu chăm sóc tốt.
Về chi phí, cùi răng giả toàn sứ sẽ cao hơn cùi răng giả kim loại. Khách hàng có thể dựa vào nhu cầu và điều kiện kinh tế để có lựa chọn phù hợp.

Cùi răng giả toàn sứ
3. Làm cùi giả cho răng có đau không?
Gắn cùi răng giả có đau hay không sẽ tùy thuộc vào tay nghề bác sĩ. Nếu bác sĩ tay nghề kém chưa xác định đúng hướng và vị trí an toàn để gắn cùi có thể sẽ gây đau đớn thậm chí là biến chứng cho khách hàng.
Tuy nhiên, nếu phải gắn cùi giả thì bạn cũng không cần phải quá lo lắng. Chỉ cần chọn đúng nha khoa uy tín, mọi kỹ thuật nha khoa đều có sự hỗ trợ thuốc gây tê, giúp quy trình gắn cùi giả diễn ra an toàn và không hề gây đau đớn.

Gắn cùi răng giả có đau không?
4. Ưu và nhược điểm khi làm cùi giả cho răng
Gắn cùi răng sứ giả cho răng là giải pháp tiện lợi để phục hình khuyết điểm răng trong các trường hợp đặc biệt. Chỉ cần phủ mão răng sứ lên trên cùi, sau đó đóng chặt vào chân răng là bạn đã sở hữu một chiếc răng sứ hoàn chỉnh.
Ưu điểm khi làm cùi răng sứ giả
- Là giải pháp tốt nhất dành cho những trường hợp men răng bị hư tổn quá nhiều, đã điều trị tủy, răng thật không thể mài nhỏ để làm cùi răng sứ.
- Thực hiện dễ dàng, không có phức tạp. Chỉ cần tạo cùi, rồi lắp mão sứ lên là đã có răng sứ hoàn chỉnh.
- Hạn chế tình trạng tiêu xương vì không phải nhổ răng, ngăn ngừa bệnh lý hiệu quả, không ảnh hưởng đến sức khỏe răng miệng.
- Không xâm lấn hay ảnh hưởng đến các răng bên cạnh.
Nhược điểm khi làm cùi răng giả
- Tuổi thọ của cùi răng giả tương đối thấp, bạn phải thay lại nếu xuất hiện các hiện tượng đen viền nướu hoặc mão sứ thường xuyên bị rơi rớt.
- Cùi giả có thể bị gãy nếu ăn thức ăn quá cứng.
Để biết chính xác về tình trạng răng, bạn nên đến khám trực tiếp tại các cơ sở nha khoa uy tín, có đủ máy móc, thiết bị chụp phim để có thể đưa ra hướng xử lý thích hợp.

Cùi giả có thể bị gãy nếu ăn thức ăn quá cứng
CHUYÊN SÂU IMPLANT DÀNH CHO NGƯỜI VIỆT
- Cơ sở 1:19V Nguyễn Hữu Cảnh, P.19, Q.Bình Thạnh, TP.Hồ Chí Minh
- Cơ sở 2:193A-195 Hùng Vương, P.9, Quận 5, TP.Hồ Chí Minh
- Cơ sở 3:83 Đường số 3 Khu dân cư Cityland, P.10, Q.Gò Vấp, TP.Hồ Chí Minh