
Dán sứ veneer cho 2 răng cửa thưa được không? Giá bao nhiêu?

Cố vấn chuyên môn:TS.BS. Nguyễn Hiếu Tùng
- Giám đốc Nha khoa I-DENT
- 10 năm tu nghiệp tại Pháp - hơn 10.000 ca Implant thành công
Răng cửa được xem là “mặt tiền” của cả hàm răng, vậy nên khi có khuyết điểm sẽ rất dễ nhận biết và gây ảnh hưởng đến thẩm mỹ của cả khuôn mặt. Vậy trong trường hợp răng cửa thưa có thể thực hiện dán sứ Veneer để cải thiện không? Hãy cùng nha khoa I-Dent tìm hiểu rõ hơn về phương án này nhé!
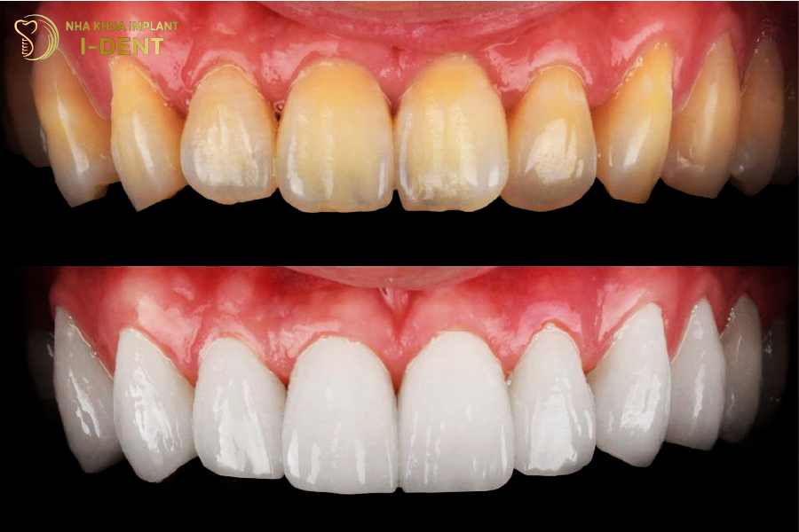
1. Có thể dán sứ Veneer cho 2 răng cửa thưa không?
Dán sứ Veneer là kỹ thuật nha khoa được cải tiến từ phương án đắp răng sứ, giúp khắc phục các khuyết điểm răng miệng một cách hiệu quả. Ưu điểm nổi bật của phương án này là tỷ lệ mài răng ít và mức độ xâm lấn thấp. Vì vậy, dán sứ Veneer ngày càng được nhiều người lựa chọn để giúp hàm răng trở nên cân đối và có màu sắc hài hòa hơn.

Dán sứ Veneer giúp khắc phục tình trạng răng cửa thưa
Thông thường, dán sứ Veneer được thực hiện cho cả răng cửa và răng tiền hàm. Tuy nhiên, một số trường hợp chỉ thưa ở 2 răng cửa và có nhu cầu dán sứ cho 2 răng này có được không? Thực tế, dán sứ Veneer vẫn được thực hiện riêng lẻ cho từng răng như khi bọc sứ. Do đó, bạn hoàn toàn có thể dán sứ riêng cho 2 răng cửa bị thưa.
Sau khi dán sứ, 2 răng cửa sẽ sát khít trở lại và không còn kẽ hở gây mất thẩm mỹ. Thời gian thực hiện cũng rất nhanh chóng, chỉ khoảng 3 ngày là hoàn tất.
2. Các trường hợp có thể dán sứ răng cửa
Phương pháp dán răng sứ không mài răng cho 2 răng cửa được áp dụng đối với các trường hợp sau:
- Răng cửa khấp khểnh nhưng không quá nghiêm trọng hoặc hai răng cửa chỉ hơi xô lệch thì dán sứ Veneer sẽ giúp các răng đều đặn hơn.
- Răng cửa bị mẻ, vỡ nhẹ cần phục hình thẩm mỹ. Đây là trường hợp nên dán sứ để vừa đảm bảo thẩm mỹ, vừa giữ tốt chức năng ăn nhai của răng.
- Răng cửa bị nhiễm tetracycline, không thể tẩy trắng. Trường hợp này có thể dán sứ để cải thiện màu răng trắng sáng hơn.

Răng cửa ố vàng, nhiễm màu kháng sinh có thể dán sứ để cải thiện
- Các răng bị thưa nhưng khe hở giữa các răng không quá lớn, thì nên chọn dán sứ Veneer để khắc phục.
- Răng cửa bị sâu kẽ thì có thể mài bỏ phần răng hư hại và dán sứ để phục hồi.
3. Lợi ích khi dán sứ Veneer 2 răng cửa
Dán sứ Veneer với khả năng phục hình nhanh chóng và tỷ lệ mài răng ít, nên đây là phương pháp thẩm mỹ răng được rất nhiều khách hàng lựa chọn. Những điểm nổi bật của phương pháp này chính là:
- Bảo tồn tối đa răng gốc
Miếng dán sứ siêu mỏng nên không cần mài răng hoặc chỉ chà nhám bề mặt răng để tạo độ bám. Từ đó giúp bảo vệ tối đa răng gốc, không xâm lấn và không gây ê buốt, khó chịu cho răng.
- Giá trị thẩm mỹ cao
Mặt dán sứ mỏng, nhẹ và được chế tác tỉ mỉ. Với kích thước và màu sắc tự nhiên y hệt như răng thật, có độ trong bóng, vân mờ, phản quang vô cùng tự nhiên. Nhờ đó, giúp hàm răng trở nên trắng sáng và nụ cười rạng rỡ hơn.

Mặt dán sứ vô cùng mỏng nhẹ và trắng bóng tự nhiên như răng thật
- Đảm bảo chức năng ăn nhai
Nhờ thiết kế mỏng nhẹ mà mặt dán sứ hoàn toàn không gây vướng víu, cộm cấn khi sử dụng. Ngoài ra, mặt sứ có khả năng chịu lực lên đến 400 Mpa, có thể chịu được lực cắn lớn của răng cửa, giúp bạn có thể thoải mái ăn uống mà không lo sợ bị nứt, mẻ.
- Độ bền vượt trội
Mặt sứ Veneer được chế tác hoàn toàn bằng chất liệu sứ cao cấp nên có độ bền màu rất tốt, giữ được màu sắc trắng sáng lâu dài. Khác với răng thật, bề mặt sứ nhẵn bóng và có khả năng chống bám màu nên không bị ngả vàng, xỉn màu hay bị oxi hóa theo thời gian.
- Tuổi thọ lâu dài
Răng sứ Veneer có tuổi thọ trung bình từ 10-15 năm, thậm chí là 20 năm hoặc lâu hơn nếu biết cách chăm sóc, vệ sinh tốt và cấu trúc răng bên dưới khỏe mạnh.

Tuổi thọ sử dụng của mặt sứ lên đến 15 năm
4. Dán sứ Veneer 2 răng cửa bao nhiêu tiền?
Với những ưu điểm vượt trội của mặt dán sứ cùng những yêu cầu khắt khe về tay nghề chuyên môn của bác sĩ, trang thiết bị hỗ trợ và vật liệu, nên chi phí dán sứ Veneer thường khá cao. Dán sứ Veneer giá dao động từ 6 – 12 triệu đồng/1 răng tùy thuộc vào nhiều yếu tố như loại sứ, cơ sở nha khoa, tình trạng răng miệng.
Hiện nay, tại nha khoa I-Dent có đa dạng các loại sứ Veneer cao cấp được nhập khẩu chính hãng từ Mỹ, Đức với đầy đủ thẻ bảo hành, đảm bảo chất lượng và hiệu quả sử dụng răng sứ lâu dài cho khách hàng.
Nếu bạn đang có nhu cầu dán sứ Veneer 2 răng cửa, có thể tham khảo bảng giá trọn gói tại I-DENT sau đây:
| LOẠI RĂNG | CHI PHÍ |
|---|---|
| Veneer Emax CAD (Ivoclar – Đức) |
6.000.000 VNĐ/ Răng (Bảo hành 5 năm) |
| Veneer Emax Press (Ivoclar – Đức) |
8.000.000 VNĐ/Răng
6.400.000 VNĐ/Răng (Bảo hành 5 năm) |
| Veneer Lisi Press (GC – Mỹ) |
10.000.000 VNĐ/Răng (Bảo hành 5 năm) |
| Veneer Lisi Press Ultra Thin (GC – Mỹ) |
12.000.000 VNĐ/Răng
9.600.000 VNĐ/Răng (Bảo hành 5 năm) |
| Thẩm mỹ răng sứ toàn hàm (16 – 20 răng toàn sứ) |
Giảm 30% cho cho tất cả loại răng toàn sứ |
Bảng giá dán răng sứ Veneer tại nha khoa I-Dent
CHUYÊN SÂU IMPLANT DÀNH CHO NGƯỜI VIỆT
- Cơ sở 1:19V Nguyễn Hữu Cảnh, P.19, Q.Bình Thạnh, TP.Hồ Chí Minh
- Cơ sở 2:193A-195 Hùng Vương, P.9, Quận 5, TP.Hồ Chí Minh
- Cơ sở 3:83 Đường số 3 Khu dân cư Cityland, P.10, Q.Gò Vấp, TP.Hồ Chí Minh