
Chi Phí Niềng Răng Cho Trẻ 13 Tuổi Hết Bao Nhiêu Tiền?

Cố vấn chuyên môn:TS.BS. Nguyễn Hiếu Tùng
- Giám đốc Nha khoa I-DENT
- 10 năm tu nghiệp tại Pháp - hơn 10.000 ca Implant thành công
Giá niềng răng cho trẻ 13 tuổi dao động từ 20.000.000 đến hơn 100.000.000 đồng, tùy vào tình trạng răng miệng, phương pháp niềng và giá niềng ở mỗi nha khoa. Vì 13 tuổi là thời điểm vàng để niềng răng cho trẻ nên phụ huynh hãy cân nhắc đưa trẻ đến nha khoa uy tín để được bác sĩ thăm khám và tư vấn cụ thể.
1. Giá niềng răng cho trẻ 13 tuổi bao nhiêu?
Giá niềng răng cho trẻ 13 tuổi tại thị trường Việt Nam nằm trong khoảng 20.000.000 đến hơn 100.000.000 đồng. Tại Nha khoa I-Dent, chi phí niềng răng cho trẻ 13 tuổi dao động từ 35.000.000 đến 135.000.000 đồng. Mỗi loại niềng răng sẽ có mức giá khác nhau, phụ huynh có thể tham khảo chi phí cụ thể tại bảng giá sau:
| Loại niềng răng | Mức giá niềng |
|---|---|
| Mắc cài kim loại tiêu chuẩn | 35.000.000 – 55.000.000 VNĐ |
| Mắc cài kim loại tự buộc/nắp đậy | 40.000.000 – 60.000.000 VNĐ |
| Mắc cài sứ tiêu chuẩn | 45.000.000 – 65.000.000 VNĐ |
| Mắc cài sứ tự buộc/nắp đậy | 50.000.000 – 70.000.000 VNĐ |
| Niềng răng Invisalign | 50.000.000 – 135.000.000 VNĐ |
| Niềng răng bổ trợ | 10.000.000 VNĐ |
2. Những yếu tố ảnh hưởng đến giá niềng răng cho trẻ 13 tuổi
Những yếu tố sau ảnh hưởng đến chi phí niềng răng cho trẻ 13 tuổi:
- Phương pháp niềng răng: Mỗi phương pháp niềng sẽ tốn khoản chi phí khác nhau. Hiện tại, niềng răng mắc cài kim loại có chi phí tối ưu nhất và niềng trong suốt là phương pháp có mức giá khá cao.
- Tình trạng răng miệng của trẻ: Nếu răng của trẻ chỉ lệch nhẹ và không bị bệnh răng miệng thì giá niềng sẽ thấp hơn. Ngược lại, những trường hợp phức tạp cần điều trị trước khi niềng răng thì chi phí sẽ cao hơn.
- Chính sách giá của nha khoa: Mỗi nha khoa sẽ có bảng giá niềng răng và các chính sách ưu đãi khác nhau do sự khác biệt trang thiết bị và đội ngũ bác sĩ.
- Mức độ tuân thủ của trẻ: Trong quá trình điều trị, trẻ chăm sóc tốt răng miệng, tuân thủ những yêu cầu của bác sĩ và tái khám đúng hẹn sẽ hạn chế phát sinh chi phí không cần thiết.
3. Nên niềng răng cho trẻ 13 tuổi phương pháp nào tốt nhất?
13 tuổi là thời điểm vàng để niềng răng cho trẻ em. Vì ở độ tuổi này, xương hàm của trẻ vẫn đang phát triển nên dễ dàng điều chỉnh răng về vị trí chuẩn trên cung hàm. Niềng răng sớm giúp rút ngắn thời gian điều trị nhưng vẫn đảm bảo hiệu quả, đồng thời ổn định khớp cắn, mang lại cho trẻ hàm răng đều đặn cùng nụ cười tự tin.

Niềng răng cho trẻ 13 tuổi mang đến cho bé nụ cười tự tin
Trẻ 13 tuổi có thể cải thiện các vấn đề răng miệng bằng 3 phương pháp phổ biến là niềng răng mắc cài kim loại, niềng răng mắc cài sứ và niềng răng Invisalign.
Niềng răng mắc cài kim loại là sự lựa chọn phổ biến nhất cho trẻ 13 tuổi bởi những ưu điểm sau:
- Mắc cài kim loại được sản xuất từ vật liệu bền, chắc và chịu lực tốt. Vì vậy, quá trình điều trị diễn ra thuận lợi, nhanh chóng, hạn chế hỏng mắc cài.
- Lực tác động từ mắc cài kim loại lên răng lớn, phù hợp với nhiều tình trạng sai lệch như: Răng hô, móm, thưa, răng mọc chen chúc, sai khớp cắn.
- Giá niềng răng mắc cài kim loại thấp hơn các phương pháp khác.
Tương tự với phương pháp trên, niềng răng mắc cài sứ sử dụng lực tác động của mắc cài và dây cung để dịch chuyển răng về vị trí mong muốn. Tuy nhiên, phương pháp này sử dụng chất liệu sứ cao cấp, mang lại những ưu điểm về mặt thẩm mỹ. Cụ thể:
- Mắc cài sứ có màu gần với màu răng thật, ít bị ố màu nên khó nhận biết, giúp trẻ tự tin hơn khi giao tiếp và sinh hoạt.
- Được làm từ vật liệu ceramic chất lượng cao, chịu lực tốt nên phù hợp với nhiều tình trạng răng.
- Mắc cài sứ sẽ được chế tạo riêng để phù hợp với từng cá nhân nên đảm bảo quá trình điều trị diễn ra thuận lợi và chính xác.
Niềng răng Invisalign là phương pháp chỉnh nha sử dụng khay niềng trong suốt thay thế cho hệ thống mắc cài và dây cung truyền thống. Nhờ vậy, quá trình điều trị của trẻ diễn ra thoải mái và tiện lợi hơn.
- Khay Invisalign được làm từ nhựa y tế trong suốt nên đảm bảo an toàn và thẩm mỹ.
- Mỗi khay niềng đều được thiết kế để phù hợp với khuôn hàm của mỗi người nên không gây cộm hay khó chịu khi đeo. Đồng thời, dễ dàng tháo lắp và tự thay khay mà không cần đến nha khoa.
- Sử dụng phần mềm 3D Clincheck, giúp phụ huynh cùng trẻ theo dõi quá trình răng dịch chuyển và thấy trước kết quả điều trị.
4. Trẻ 13 tuổi niềng răng bao lâu?
Quá trình niềng răng cho trẻ 13 tuổi thường kéo dài từ 16 – 36 tháng. Tuy nhiên thời gian điều trị có thể ngắn hơn hoặc bị kéo dài, tùy vào tình tình trạng răng miệng của trẻ.
Thời gian điều trị có thể ngắn hơn nếu tình trạng sai lệch răng của trẻ ở mức độ nhẹ, không cần nhổ răng hoặc can thiệp phức tạp. Đồng thời nếu tuân thủ hướng dẫn chăm sóc răng miệng của bác sĩ, quá trình niềng sẽ thuận lợi hơn.
Ngược lại, thời gian niềng răng có thể bị kéo dài khi răng của trẻ bị sai lệch nghiêm trọng, khớp cắn phức tạp, cần kết hợp nhiều phương pháp chỉnh nha hoặc phẫu thuật hàm. Bên cạnh đó, nếu trẻ không tái khám đúng lịch, không tuân thủ chỉ định hoặc phát sinh vấn đề trong quy trình niềng răng cũng làm tăng thời gian điều trị.

Trẻ 13 tuổi niềng răng từ 16 – 36 tháng
5. Niềng răng cho trẻ 13 tuổi cần lưu ý điều gì?
Để quá trình niềng răng cho trẻ 13 tuổi diễn ra thuận lợi, phụ huynh cần lưu ý những điều sau đây:
- Lựa chọn nha khoa niềng răng uy tín: Cần chọn cơ sở nha khoa có đội ngũ bác sĩ chuyên môn cao, giàu kinh nghiệm và trang thiết bị hiện đại để đảm bảo quá trình niềng răng an toàn, hiệu quả.
- Chuẩn bị chi phí: Hãy tham khảo bảng giá của các nha khoa và chuẩn bị mức kinh phí phù hợp.
- Chuẩn bị tâm lý cho trẻ: Quá trình niềng răng kéo dài lâu, gây khó chịu và đau đớn trong thời gian đầu. Nên trước khi niềng răng, hãy giúp trẻ hiểu về lợi ích khi niềng răng để trẻ thoải mái hơn.
- Cẩn trọng khi ăn uống: Hạn chế thực phẩm cứng, quá dai hoặc dính để tránh làm ảnh hưởng đến mắc cài hoặc khay niềng.
- Chú ý vệ sinh răng miệng: Niềng răng khiến việc làm sạch răng khó hơn, vì vậy hãy cho trẻ chăm sóc răng theo hướng dẫn của bác sĩ. Nên sử dụng bàn chải kẽ kết hợp chỉ nha khoa hoặc máy tăm nước để loại bỏ mảng bám và thức ăn thừa.
- Đưa trẻ tái khám đúng thời hạn: Phụ huynh cần đưa trẻ đến nha khoa theo lịch hẹn để bác sĩ kiểm tra mức độ dịch chuyển răng, điều chỉnh lực siết phù hợp và xử lý kịp thời các vấn đề phát sinh.
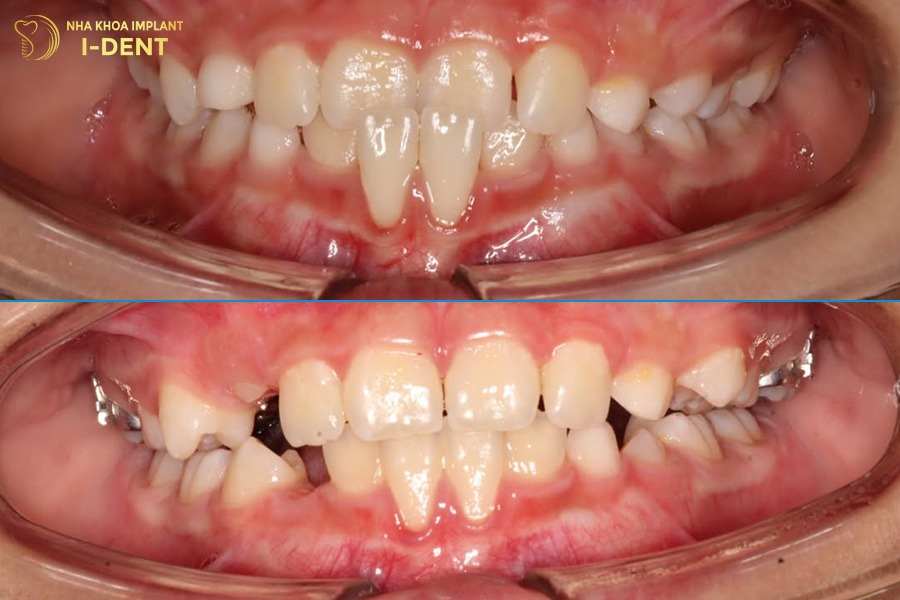
6. Hình ảnh trẻ 13 tuổi trước và sau khi niềng tại Nha khoa I-Dent
Sau đây là hình ảnh trước và sau khi niềng răng của trẻ 13 tuổi tại Nha khoa I-Dent:

Răng của trẻ 13 tuổi trước và sau khi niềng tại nha khoa I-Dent

Niềng răng cho trẻ 13 tuổi giúp trẻ có hàm răng đều, đúng khớp cắn

13 tuổi là thời điểm vàng để niềng răng cho trẻ và sở hữu hàm răng đẹp
Giá niềng răng cho trẻ 13 tuổi phụ thuộc vào nhiều yếu tố như tình trạng răng miệng, phương pháp chỉnh nha và cơ sở thực hiện. Đây là thời điểm tốt để niềng răng, giúp tối ưu chi phí, rút ngắn thời gian điều trị và đảm bảo hiệu quả lâu dài. Vì vậy phụ huynh hãy đưa trẻ đến các nha khoa uy tín để được bác sĩ thăm khám và tư vấn cụ thể.
CHUYÊN SÂU IMPLANT DÀNH CHO NGƯỜI VIỆT
- Cơ sở 1:19V Nguyễn Hữu Cảnh, P.19, Q.Bình Thạnh, TP.Hồ Chí Minh
- Cơ sở 2:193A-195 Hùng Vương, P.9, Quận 5, TP.Hồ Chí Minh
- Cơ sở 3:83 Đường số 3 Khu dân cư Cityland, P.10, Q.Gò Vấp, TP.Hồ Chí Minh