
Bọc Răng Sứ Có Hại Không? 11 Tác Hại Cần Lưu Ý

Cố vấn chuyên môn:TS.BS. Nguyễn Hiếu Tùng
- Giám đốc Nha khoa I-DENT
- 10 năm tu nghiệp tại Pháp - hơn 10.000 ca Implant thành công
Bọc răng sứ có thể gây ra tác hại như ê buốt, viêm tủy răng, hở cổ chân răng, viêm nướu, răng lung lay, hôi miệng,.. và thậm chí hỏng răng thật, nếu bệnh nhân thực hiện tại các nha khoa không uy tín, không đúng kỹ thuật và chăm sóc sai cách. Nếu bệnh nhân có dấu hiệu bất thường hãy đến nha khoa để được kiểm tra và điều trị kịp thời.
1. Hậu quả của bọc răng sứ
Nếu bọc răng sứ sai kỹ thuật tại các cơ sở không uy tín thì có thể gây ra các tác hại sau:
1.1. Xâm hại răng thật
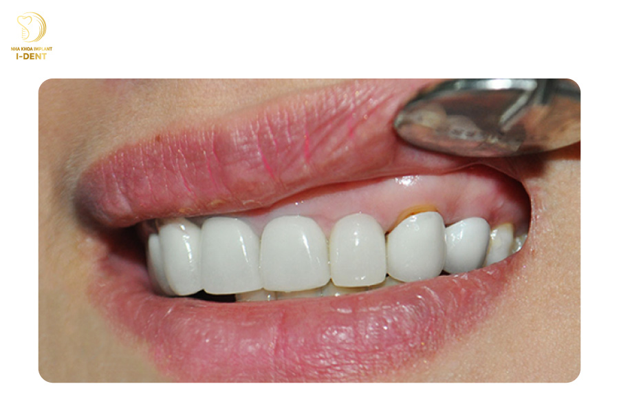
Khi bọc răng sứ bác sĩ sẽ mài đi một phần răng thật để tạo không gian cho mão sứ. Vì vậy răng thật bị tiêu hao quá nhiều gây giảm cảm nhận ăn nhai không còn giống so với trước kia.
Bác sĩ mài một phần lớn răng thật để bọc sứ
1.2. Răng ê buốt, đau nhức
Khi bác sĩ mài sai kỹ thuật xâm lấn quá nhiều vào cùi răng thật có thể làm lộ ngà răng. Điều này khiến răng nhạy cảm hơn và đặc biệt khó chịu khi ăn các món nóng lạnh.
Cảm giác răng sứ bị ê buốt đau nhức kéo dài cũng có thể do bác sĩ thực hiện mài răng với thiết bị kém chất lượng làm tăng ma sát giữa mũi khoan và bề mặt răng khiến tủy răng bị tổn thương. Dẫn đến mài răng xong bị ê buốt và nhức.
Ngoài ra, nếu mão răng lắp sai hay lệch lạc với răng xung quanh khiến lực nhai bị dồn lên răng sứ cũng khiến người bệnh có cảm giác răng sứ bị đau và ê buốt.
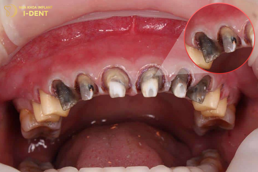
Bệnh nhân bị ê buốt và đau nhức sau khi bọc răng sứ do mài răng xâm lấn làm lộ ngà răng.
1.3. Răng sứ bị nứt vỡ
Nếu sử dụng loại răng sứ kém chất lượng, không rõ nguồn gốc, không đảm bảo độ bền hoặc kỹ thuật gắn răng không chắc chắn đảm bảo có thể khiến răng dễ bị nứt vỡ hoặc bong ra sau một thời gian ngắn hoặc lúc ăn nhai. Lúc này, bệnh nhân dễ nuốt phải mão sứ vào dạ dày, gây hại nghiệm trọng đến sức khỏe người bệnh.
Hậu quả bọc răng sứ kém chất lượng là răng dễ nứt vỡ sau một thời gian.
1.4. Hở cổ chân răng
Trường hợp chế tác răng sứ không vừa vặn với kích thước răng của bệnh nhân hoặc gắn răng sứ không chính xác khiến răng sứ không được bọc khít sát dẫn đến tình trạng tạo khoảng trống hở cổ chân răng. Dẫn đến phần nướu bị chảy xệ, cổ chân răng lộ ra, làm thức ăn dễ giắt vào khi ăn uống. Lâu dài tình trạng này khiến mảng bám tích tụ, tạo điều kiện vi khuẩn phát triển và gây ảnh hưởng sức khỏe răng miệng.
Hở cổ chân răng có thể tạo điều kiện vi khuẩn phát triển gây ra các vấn đề răng miệng.
1.5. Viêm nướu
Bệnh nhân cảm thấy cộm cấn, không thoải mái sau khi bọc răng sứ là do tỷ lệ mài răng không đúng gây sưng lợi, viêm nướu và đau nhức. Ngoài ra, nếu mão sứ không được lắp đặt chính xác có thể làm hở cổ chân răng hoặc răng sứ không khít cùi răng thật. Các vấn đề này khiến thức ăn dễ bám lại làm răng sứ bị viêm lợi gây đau nhức, ê buốt và có thể dẫn đến hôi miệng.
Ngoài ra, những bệnh nhân có cơ địa mẫn cảm với kim loại có thể bị kích ứng và viêm nhiễm chân răng.
Tỷ lệ mài răng không chuẩn hoặc bọc răng sứ không chắc chắn tạo khe hở khiến vi khuẩn tấn công gây viêm nướu.
1.6. Bị hôi miệng
Nếu bọc răng sứ sai kỹ thuật làm xuất hiện kẽ hở giữa răng và nướu, hoặc răng bị nứt gãy tạo các rãnh thì thức ăn dễ bám vào và khó vệ sinh sạch, nên tạo ra mùi hôi miệng khó chịu.
Ngoài ra, khi bệnh nhân dùng loại răng sứ giá rẻ làm từ vật liệu kém chất lượng, chỉ sau một thời gian sử dụng loại răng này bị biến chất do dịch khoang miệng và tạo mùi hôi.
Bọc răng sứ giá rẻ là không tốt, gây hôi miệng
1.7. Lệch khớp cắn, ăn nhai khó khăn
Nguyên nhân dẫn đến tình trạng khi lắp răng sứ bị kênh thường do bác sĩ lấy dấu hàm không chính xác, dẫn đến việc thiết kế mão sứ không vừa khít với cùi răng nên sau khi bọc xong răng sứ bị kênh cộm.
Ngoài ra, trường hợp bác sĩ mài răng quá nhỏ hoặc quá to không đều hoặc bác sĩ không kiểm tra lại khớp cắn sau khi gắn răng sứ để điều chỉnh kịp thời thì sẽ gây sai lệch khớp cắn và nhiều biến chứng nguy hiểm. Hậu quả của việc sai lệch khớp cắn là người bệnh ăn uống khó khăn, dễ đau nhức hàm và về lâu dài sẽ tăng áp lực lên khớp hàm gây rối loạn khớp thái dương hàm.
Sai lệch khớp cắn dẫn đến nhiều biến chứng nguy hiểm
1.8. Gây chết tủy răng
Nếu trong quá trình bọc răn sứ, bác sĩ chưa đủ kinh nghiệm và tay nghề thực hiện mài răng không đúng kỹ thuật hoặc sai tỷ lệ có thể gây tổn thương cấu trúc răng và tủy răng. Điều này tạo điều kiện cho vi khuẩn dễ xâm nhập vào tủy dẫn đến viêm tủy răng. Nếu tình trạng kéo dài không điều trị kịp thời thậm chí gây chết tủy răng và nguy cơ cao hỏng răng thật vĩnh viễn.
Kỹ thuật bọc sứ của bác sĩ không đảm bảo có thể gây chết tủy răng.
1.9. Hỏng răng gốc
Bọc răng sứ sai cách hoặc dùng loại răng sứ kém chất lượng dẫn đến các biến chứng sau khi bọc răng sứ như viêm nhiễm và tổn thương răng gốc. Thậm chí có thể dẫn đến răng lung lay và mất răng thật vĩnh viễn. Đây là hậu quả nghiêm trọng sau khi bọc răng sứ bệnh nhân cần chú ý.
Sai lầm khi bọc răng sứ làm hỏng răng gốc
1.10. Răng sứ bị lung lay
Nếu bác sĩ không thực hiện đúng kỹ thuật bọc răng sứ thì có thể xảy ra nhiều vấn đề như mài răng không đúng tỉ lệ, lấy dấu răng không chính xác và các vấn đề khác. Các sai sót này dẫn đến gắn mão sứ không sát khít cùi răng thật. Dẫn đến sau một thời gian sử dụng răng sứ có thể bị lỏng lẻo và tự động rơi ra.
Biến chứng răng sứ bị lung lay xảy ra do bác sĩ thực hiện sai kỹ thuật
1.11. Gây bệnh lý răng miệng
Răng bị xâm lấn quá nhiều tạo khe hở giữa cùi răng thật và mão răng sứ, tạo điều kiện cho vi khuẩn phát triển và gây bệnh lý răng miệng như sâu răng, viêm nha chu, viêm tủy, hôi miệng.
Cho nên bọc răng sứ có hại không, tùy thuộc vào nhiều yếu tố: tay nghề bác sĩ, chất lượng răng sứ và nha khoa thực hiện.
2. Cách giảm tác hại của bọc răng sứ
Để ngăn ngừa hậu quả bọc răng sứ bệnh nhân cần lưu ý các yếu tố sau:
2.1. Tay nghề bác sĩ
Kinh nghiệm và tay nghề bác sĩ quyết định lớn và đảm bảo kết quả bọc răng sứ thẩm mỹ. Nên chọn các bác sĩ uy tín có kinh nghiệm lâu năm nhằm đảm bảo kỹ thuật mài cùi răng đúng tỷ lệ, lấy dấu răng chính xác, kiểm soát và xử tốt các vấn đề trong quá trình bọc răng sứ, không gây tổn hại đến tủy hoặc nướu, đảm bảo không phát sinh biến chứng nguy hiểm.
Lựa chọn bác sĩ có tay nghề cao để tránh tác hại khi bọc răng sứ
2.2. Loại răng sứ
Hiện nay có 2 loại răng sứ phổ biến là răng sứ kim loại và răng toàn sứ. Việc lựa chọn bọc răng sứ kim loại hay toàn sứ phụ thuộc vào nhu cầu, tình trạng răng miệng và khả năng tài chính.
Răng toàn sứ có màu sắc tự nhiên như răng thật, độ bền cao và không gây kích ứng. Còn răng sứ kim loại có thể là lựa chọn tối ưu về chi phí cho chức năng ăn nhai cơ bản. Nên bọc sứ tại các nha khoa uy tín sẽ được đảm bảo về chất lượng vật liệu.
Bệnh nhân cần đến trực tiếp nha khoa để các bác sĩ thăm khám cụ thể tình trạng răng miệng. Từ đó, bác sĩ mới có thể đưa ra tư vấn nên lựa chọn loại sứ nào cho phù hợp với nhu cầu.
Răng sứ kim loại không đẹp tự nhiên bằng răng toàn sứ.
2.3. Chọn địa chỉ bọc răng sứ uy tín
Bọc răng sứ ở nha khoa uy tín có đội ngũ bác sĩ giỏi, trang bị máy móc hiện đại và công nghệ tiên tiến để quá trình bọc răng sứ chính xác, an toàn và đem lại hiệu quả tốt nhất.
2.4. Chăm sóc răng sứ đúng cách
Để tránh các tác hại bọc răng sứ và duy trì răng sứ lâu bền, bệnh nhân cần lưu ý chăm sóc răng sứ đúng cách:
- Sau khi mới bọc răng sứ bệnh nhân cần tuân thủ liều lượng thuốc giảm đau theo chỉ định bác sĩ, không tự ý sử dụng thuốc bên ngoài.
- Thời gian đầu sau khi bọc răng sứ thì người bệnh nên ăn thức ăn mềm, dễ nhai và nhai đều lực nhai ở 2 hàm để tránh ảnh hưởng khớp cắn.
- Không dùng răng để cắn các vật cứng như nắp chai hoặc xé bao bì, tránh tác động mạnh đến răng sứ để hạn chế nguy cơ nứt mẻ vỡ răng sứ.
- Hạn chế cà phê, rượu, bia, nước ngọt có gas, thuốc lá,.. vì có thể ảnh hưởng men răng và sức khỏe. Không nên ăn thực phẩm quá nóng hoặc quá lạnh nhất là sau khi mới làm răng sứ. Và hạn chế thức ăn dai hoặc cứng.
- Vệ sinh răng miệng sạch sẽ bằng bàn chải lông mềm đều đặn 2 lần/ngày. Kết hợp sử dụng chỉ nha khoa, máy tăm nước và nước xúc miệng để loại bỏ thức ăn thừa, làm sạch sâu mảng bám và vi khuẩn còn tồn đọng.
- Thực hiện khám răng miệng 6 tháng/lần để phát hiện sớm các biến chứng và lấy cao răng định kỳ.
Chăm sóc răng sứ đúng cách nhằm ngăn các hậu quả và biến chứng sau khi bọc răng sứ.
3. Câu hỏi thường gặp
3.1. Bọc răng sứ có ảnh hưởng gì không?
Bọc răng sứ có thể gây ra nhiều tác hại ảnh hưởng đến bệnh nhân như răng ê buốt, tổn hại răng thật, hư tủy, viêm nướu, hở cổ chân răng, lệch khớp cắn, mắc bệnh lý răng miệng và thậm chí hỏng răng thật nếu không thực hiện đúng cách. Việc bọc răng sứ đúng đem lại nhiều lợi ích về thẩm mỹ và khôi phục chức năng.
3.2. Răng sứ giá rẻ có tốt không?
Răng sứ giá rẻ không tốt và gây ra nhiều rủi ro như bị mẻ vỡ khi ăn nhai, đen viền răng, tính thẩm mỹ kém, ê buốt, viêm nướu, hôi miệng và thậm chí làm hỏng răng gốc vĩnh viễn. Bạn nên ưu tiên lựa chọn chất liệu răng sứ chất lượng và nha khoa uy tín để đảm bảo an toàn và hiệu quả.
Bọc răng sứ có ảnh hưởng gì không còn phụ thuộc vào tay nghề bác sĩ, vật liệu sử dụng và nha khoa thực hiện. Nếu bọc răng sứ không đúng cách tại các nha khoa kém uy tín thì bệnh nhân sẽ đối mặt với các hậu quả bọc răng sứ khôn lường nguy hiểm. Vì vậy để hạn chế tối đa các tác hại bọc răng sứ thì bệnh nhân nên chọn địa chỉ bọc răng sứ đáng tin cậy, có đội ngũ bác sĩ giỏi, trang thiết bị hiện đại, sử dụng răng sứ chất lượng tốt.
CHUYÊN SÂU IMPLANT DÀNH CHO NGƯỜI VIỆT
- Cơ sở 1:19V Nguyễn Hữu Cảnh, P.19, Q.Bình Thạnh, TP.Hồ Chí Minh
- Cơ sở 2:193A-195 Hùng Vương, P.9, Quận 5, TP.Hồ Chí Minh
- Cơ sở 3:83 Đường số 3 Khu dân cư Cityland, P.10, Q.Gò Vấp, TP.Hồ Chí Minh