
Hậu Quả Nghiêm Trọng Khi Cấy Ghép Implant Với Bác Sĩ Không Đủ Chuyên Môn

Cố vấn chuyên môn:TS.BS. Nguyễn Hiếu Tùng
- Giám đốc Nha khoa I-DENT
- 10 năm tu nghiệp tại Pháp - hơn 10.000 ca Implant thành công
Trồng răng Implant là phương pháp phục hình răng mất tối ưu nhất hiện nay, được nhiều người lựa chọn vì đảm bảo khả năng ăn nhai giống như răng thật, tính thẩm mỹ cao, độ bền lâu dài, ngăn ngừa tiêu xương,… Tuy nhiên, trồng răng Implant là một kỹ thuật phức tạp, đòi hỏi bác sĩ có trình độ chuyên môn cao, tay nghề tốt và trang thiết bị hiện đại để đảm bảo quá trình cấy ghép an toàn, chính xác.
Nếu thực hiện bởi bác sĩ không đủ chuyên môn hoặc tại cơ sở nha khoa kém chất lượng, bệnh nhân có thể đối mặt với nhiều biến chứng nguy hiểm, ảnh hưởng nghiêm trọng đến sức khỏe răng miệng và toàn thân.
7 Biến chứng khi cấy Implant với Bác sĩ không đủ chuyên môn
Việc cấy ghép Implant do bác sĩ không đủ chuyên môn thực hiện tiềm ẩn rất nhiều rủi ro, có thể gây ra những biến chứng từ nhẹ đến nặng như nhiễm trùng, chảy máu kéo dài, đào thải trụ Implant, tổn thương dây thần kinh, thậm chí mất xương hàm. Một số biến chứng thường gặp bao gồm:
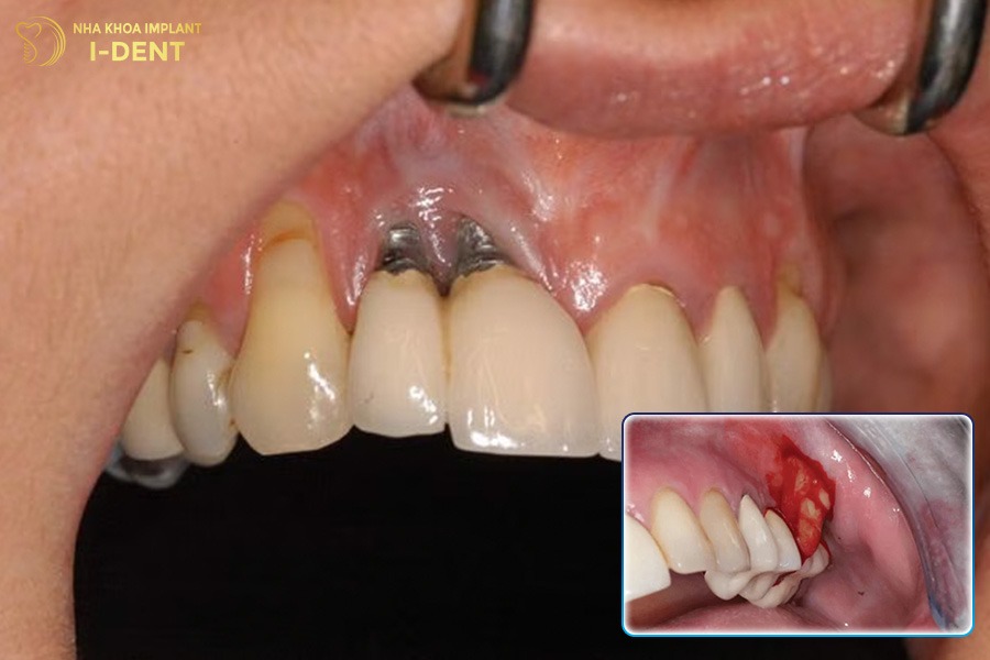
1. Nhiễm trùng vùng trồng răng Implant
Nhiễm trùng vùng trồng răng Implant là tình trạng vi khuẩn xâm nhập và phát triển tại vị trí cấy ghép, gây viêm nhiễm mô mềm và có thể lan rộng đến xương hàm. Nếu bác sĩ không có kinh nghiệm hoặc không tuân thủ quy trình vô trùng nghiêm ngặt, vi khuẩn có thể xâm nhập vào vùng phẫu thuật, gây viêm nhiễm sau khi cấy Implant.
Nhiễm trùng nếu không được xử lý kịp thời sẽ dẫn đến viêm quanh Implant, gây tiêu xương và mất mô liên kết xung quanh implant, từ đó có thể khiến trụ Implant bị lung lay và đào thải khỏi xương hàm.
Các dấu hiệu nhận biết nhiễm trùng: Vùng cấy ghép Implant bị sưng to, đau nhức liên tục, dữ dội, không thuyên giảm khi dùng thuốc giảm đau; Xuất hiện dịch mủ trắng hoặc vàng ở vùng cấy ghép và có thể kèm theo mùi hôi khó chịu; Sốt cao, mệt mỏi, ớn lạnh; Implant bị lung lay, không còn chắc chắn.

Nhiễm trùng vùng trồng răng Implant
2. Chảy máu kéo dài sau phẫu thuật
Nếu sau 1-2 ngày phẫu thuật mà vị trí đặt trụ Implant vẫn không ngừng chảy máu, đây cũng là biến chứng do cấy ghép Implant không chuẩn, bệnh nhân cần đến bác sĩ ngay để xử lý kịp thời.

Chảy máu kéo dài sau phẫu thuật
3. Viêm quanh trụ Implant
Vấn đề đến từ việc cấy ghép không đúng quy trình hoặc vấn đề vệ sinh răng miệng kém, bệnh nhân hút thuốc lá ngay sau khi cấy Implant. Nếu không khắc phục kịp thời sẽ dễ làm mất xương xung quanh vị trí trồng răng, trụ Implant không đứng vững.

Viêm quanh trụ Implant
4. Tổn thương các mô lân cận
Điều này có thể xảy ra do bác sĩ thiếu kinh nghiệm trong việc tính toán và xác định vị trí, chủ quan không chụp CT trước khi cấy ghép và kỹ thuật cấy ghép kém, dễ gây tổn thương đến các mô lân cận như:
- Hỏng mão răng hoặc các chân răng bên cạnh: Do bác sĩ không thực hiện đúng quy trình, chụp X-quang hoặc CT trước khi tiến hành khoan và cắm Implant vào.
- Tác động vào dây thần kinh dưới ổ răng: Khoan sai vị trí làm trụ Implant lệch hướng, có thể chèn ép dây thần kinh, gây tê bì môi, lưỡi hoặc đau nhức kéo dài.
- Viêm xoang hàm: Do bác sĩ không kiểm soát tốt và đánh giá đúng tình trạng xương hàm, cấy trụ Implant xuyên qua lớp màng xoang sẽ gây ảnh hưởng xấu đến xoang hàm.
- Tổn thương xương hàm: Nguyên nhân do bệnh nhân không đủ xương hàm hoặc xương không đủ dày để cấy Implant nhưng bác sĩ không thực hiện ghép xương mà vẫn cắm trụ Implant vào.

Tổn thương các mô lân cận
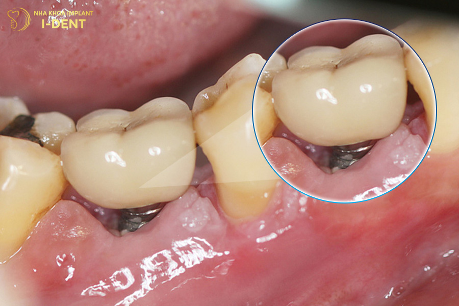
5. Răng Implant bị lung lay
Đặt Implant không đủ sâu khiến trụ không bám chắc vào xương, dễ bị lung lay, đào thải, bắt buộc phải tháo bỏ và làm lại. Việc gắn trụ không chuẩn xác khiến cho lực nhai khó phân chia đồng đều, lực nhai tập trung nhiều vào răng Implant làm cho răng bị quá tải làm lung lay. Nếu bác sĩ tính toán sai lực nhai hoặc chọn sai loại trụ Implant, có thể dẫn đến gãy trụ, khiến việc điều trị trở nên phức tạp và tốn kém hơn.

Răng Implant bị lung lay
6. Sưng đau kéo dài
Sau 1 tuần trồng răng Implant mà hiện tượng đau nhức vẫn không thuyên giảm, bệnh nhân cần đến gặp ngay bác sĩ để thăm khám.

Sưng đau kéo dài
7. Phản ứng dị ứng của cơ thể
Bác sĩ cần tầm soát được các bệnh lý và bệnh nhân nếu dị ứng với vật liệu trồng Implant để hạn chế biến chứng dị ứng của cơ thể.

Phản ứng dị ứng của cơ thể
Nguyên nhân dẫn đến việc trồng răng Implant thất bại
Có nhiều nguyên nhân dẫn đến sự thất bại của một ca cấy ghép Implant, trong đó có thể kể đến các nguyên nhân như: tay nghề bác sĩ điều trị không đảm bảo, nha khoa cấy ghép không đủ uy tín, chất lượng trụ Implant, mật độ xương hàm và bệnh lý toàn thân của bệnh nhân. Trong đó, tay nghề bác sĩ điều trị và địa chỉ nha khoa uy tín là nhân tố chính ảnh hưởng trực tiếp đến sự thành công của một ca cấy ghép.
Tại các cơ sở nha khoa không uy tín, trang thiết bị không đảm bảo, hỗ trợ tốt trong quá trình lên kế hoạch điều trị. Bác sĩ thiếu chuyên môn, không đánh giá đúng tình trạng xương hàm dẫn đến lựa chọn trụ Implant không phù hợp, không xử lý tốt các biến chứng có thể xảy ra trong và sau phẫu thuật. Điều này sẽ khiến răng phục hình bị đào thải, dẫn đến những biến chứng nghiêm trọng, làm giảm khả năng ăn nhai, ảnh hưởng đến sức khỏe, gây ra nhiều khó khăn trong cuộc sống.
Lưu ý để cấy ghép Implant thành công
Một ca phẫu thuật cấy ghép thành công phụ thuộc vào rất nhiều yếu tố từ tình trạng sức khỏe của bệnh nhân đến chuyên môn của các bác sĩ. Để đảm bảo thành công cho ca cấy ghép, bệnh nhân cần chú ý đến việc lựa chọn nha khoa uy tín, bác sĩ giỏi và
Cơ sở nha khoa hợp pháp: Điều đầu tiên và quan trọng nhất là đảm bảo rằng cơ sở đó được Sở Y tế cấp phép hoạt động. Một nha khoa hợp pháp đảm bảo các tiêu chuẩn về chất lượng chăm sóc sức khỏe và đáp ứng các yêu cầu về an toàn trong phẫu thuật.

Cơ sở nha khoa uy tín, hoạt động hợp pháp
Bác sĩ chuyên môn cao, giàu kinh nghiệm: Đây được xem là yếu tố quan trọng quyết định đến sự thành công của một ca cấy ghép Implant. Nếu bác sĩ không đáp ứng đầy đủ các yêu cầu về mặt chuyên môn cũng như kinh nghiệm thì có thể chẩn đoán sai tình trạng bệnh, dẫn đến phác đồ điều trị được đưa ra cũng không chính xác.
Nha khoa uy tín quy tụ có đội ngũ bác sĩ giàu kinh nghiệm, chuyên môn sâu. Điều này có thể được đảm bảo qua các yếu tố: Bác sĩ thực hiện cấy ghép Implant có đầy đủ chứng chỉ hành nghề, có nhiều năm kinh nghiệm trong lĩnh vực cấy ghép, thực hiện thành công qua nhiều ca khó. Thường xuyên tham gia các khóa đào tạo, hội thảo để nắm bắt các công nghệ và kỹ thuật cấy ghép mới nhất, ứng dụng vào điều trị Cấy ghép Implant cho bệnh nhân giúp tối ưu chi phí cấy ghép Implant và thời gian điều trị.

Đội ngũ bác sĩ tại Nha khoa I-Dent
Trang thiết bị hiện đại: Trang thiết bị tối tân sẽ hỗ trợ cho quá trình chẩn đoán, lập kế hoạch và thực hiện cấy ghép. Một vài công nghệ quan trọng bao gồm: CT Cone Beam 3D, CAD/CAM, công nghệ định vị hỗ trợ phẫu thuật, hệ thống vô trùng, vô khuẩn đạt chuẩn Bộ Y tế nhằm ngăn ngừa lây nhiễm chéo và nguy cơ nhiễm trùng sau cấy ghép.

Trang thiết bị hiện đại, hỗ trợ tốt quá trình chẩn đoán, lập kế hoạch điều trị
Trụ Implant chính hãng: Khi thực hiện cấy ghép Implant, việc chọn trụ Implant có chất lượng và nguồn gốc rõ ràng là vô cùng quan trọng. Nên lựa chọn nha khoa uy tín, có hợp tác quốc tế với các thương hiệu Implant lớn và lâu đời trên thế giới. Giúp nâng cao tỷ lệ thành công và giảm thiểu các rủi ro, biến chứng khi cấy ghép. Một vài dòng trụ nổi tiếng như: Straumann (Thụy sĩ), Mis C1 (Đức), Dentium (Hàn quốc),..
Tóm lại, để đảm bảo an toàn và hiệu quả khi cấy ghép Implant, việc lựa chọn bác sĩ có chuyên môn cao và kinh nghiệm dày dặn là vô cùng quan trọng, để tránh các hậu quả không mong muốn, ảnh hưởng đến sức khỏe và chất lượng cuộc sống.
CHUYÊN SÂU IMPLANT DÀNH CHO NGƯỜI VIỆT
- Cơ sở 1:19V Nguyễn Hữu Cảnh, P.19, Q.Bình Thạnh, TP.Hồ Chí Minh
- Cơ sở 2:193A-195 Hùng Vương, P.9, Quận 5, TP.Hồ Chí Minh
- Cơ sở 3:83 Đường số 3 Khu dân cư Cityland, P.10, Q.Gò Vấp, TP.Hồ Chí Minh