
Những Kinh Nghiệm Dán Răng Sứ Veneer Mà Bạn Cần Biết

Cố vấn chuyên môn:TS.BS. Nguyễn Hiếu Tùng
- Giám đốc Nha khoa I-DENT
- 10 năm tu nghiệp tại Pháp - hơn 10.000 ca Implant thành công
Những kinh nghiệm dán răng sứ Veneer sau đây sẽ giúp bạn có sự chuẩn bị tốt hơn về tâm lý cũng như chi phí thực hiện. Đặc biệt sẽ giúp bạn dễ dàng lựa chọn địa chỉ nha khoa dán răng sứ Veneer uy tín. Điều này sẽ giúp bạn hạn chế được những biến chứng không đáng có xảy ra.
1. Khách hàng chia sẻ kinh nghiệm dán răng sứ Veneer
Dán sứ Veneer hiện đang là phương pháp thẩm mỹ răng được ưa chuộng nhất hiện nay, mang đến diện mạo mới cho nụ cười chỉ trong một thời gian ngắn. Phương án này không cần mài răng nên hoàn toàn không ảnh hưởng đến cấu trúc răng thật. Trước khi thực hiện bất kỳ dịch vụ nha khoa này cũng vậy, cho dù bác sĩ sẽ tư vấn nhưng nếu biết trước những kinh nghiệm này sẽ giúp bạn có sự chuẩn bị tốt hơn.
1.1 Kinh nghiệm khi nào nên làm răng sứ Veneer
Mặc dù không phải mài răng thật nhưng dán răng sứ Veneer vẫn cần chà xát nhẹ bề mặt răng để tạo độ bám. Chính vì thế, theo khuyến cáo của bác sĩ cũng như kinh nghiệm của những người đã từng thực hiện khuyên rằng dán sứ Veneer trong các trường hợp sau:
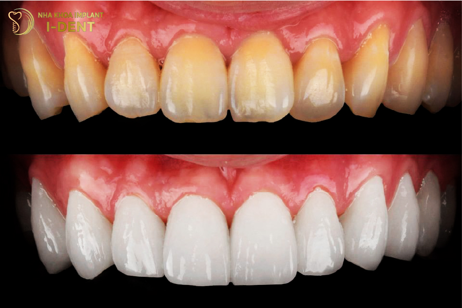
- Răng ố vàng, xỉn màu ở mức độ nhẹ và không thể khắc phục bằng phương pháp tẩy trắng răng.
- Răng bị mẻ vỡ nhẹ do sâu răng gây ra hoặc do cắn vật cứng tạo thành,…
- Răng cửa phía trước thưa nhẹ và được bác sĩ chỉ định là có thể khắc phục bằng dán sứ Veneer.
- Dán răng to nhỏ không đều.

Khi răng bị ố vàng, xỉn màu mức độ nhẹ nên dán răng sứ veneer
1.2 Kinh nghiệm chọn địa chỉ nha khoa uy tín để dán răng sứ Veneer
Dựa theo kinh nghiệm dán răng sứ veneer từ những người đã thực hiện dán sứ Veneer, sau đây sẽ là 04 tiêu chí để xác định nha khoa dán sứ uy tín:
- Lựa chọn nha khoa có đội ngũ bác sĩ chuyên môn
Tay nghề của bác sĩ là yếu tố đầu tiên quyết định nên sự thành công của một ca bọc sứ thẩm mỹ. Do đó trước khi thực hiện, bạn cần phải tham khảo thông tin về đội ngũ bác sĩ điều trị, về trình độ chuyên môn, tay nghề và số năm kinh nghiệm, lĩnh vực chuyên môn,…
- Phòng Labo kỹ thuật cao
Răng sứ Veneer có đều đẹp, màu sắc có tự nhiên hay không phụ thuộc rất nhiều vào kỹ thuật tại phòng Labo. Bạn nên chọn những nha khoa có phòng Labo riêng hoặc có ứng dụng nhiều công nghệ trong chế tác. Nhằm đảm bảo mang lại những mẩu răng sứ đúng tiêu chuẩn và đúng theo yêu cầu của bạn.

Phòng Labo tại nha khoa I-DENT
- Chất lượng sứ cao cấp, chính hãng
Răng sứ Veneer có bền đẹp hay không phụ thuộc vào chất lượng của răng sứ. Trước khi thực hiện, bạn nên yêu cầu nha khoa giới thiệu về xuất xứ dòng sứ cũng như phải cam kết có bảo hành sau khi thực hiện.
- Được đánh giá tốt bởi các báo đài và những khách hàng đã điều trị
Những lời nhận xét, đánh giá từ báo đài, truyền thông hay từ chính những khách hàng đã và đang có những trải nghiệm tại phòng khám nha khoa sẽ cho bạn biết chính xác nhất về chất lượng của phòng khám và độ tin cậy của các bác sĩ nha khoa ở đó.
1.3 Kinh nghiệm chia sẻ cách chăm sóc sau khi làm răng
Sau khi dán răng sứ Veneer, bạn cần chú trọng nhiều hơn đến cách chăm sóc răng miệng hàng ngày. Để có thể đảm bảo hiệu quả thẩm mỹ cũng như tuổi thọ của răng sứ.
- Cần đánh răng đủ 2 lần/ngày bằng bàn chải lông tơ, đều đặn mỗi sáng tối hoặc sau mỗi bữa ăn 30 phút. Chải theo chiều dọc răng, từ trong ra ngoài.
- Nên kết hợp chỉ nha khoa hoặc máy tăm nước để làm sạch răng, hạn chế tổn thương răng sứ.
- Sử dụng nước muối sinh lý hoặc nước súc miệng để loại bỏ hoàn toàn vi khuẩn và mảng bám thức ăn trong khoang miệng.
- Khi ăn uống cần nhai đều lực ở cả hai hàm, để không bên nào phải chịu tác động lực quá mạnh.
- Theo dõi và kiểm tra sức khỏe răng miệng định kỳ 6 tháng/ lần.
- Nếu sau khi bọc sứ xuất hiện các triệu chứng bất thường như: chảy máu chân răng kéo dài, răng đau nhức, ê buốt răng bọc sứ trong vài tuần liền, răng sứ cộm cấn gây ăn nhai khó khăn… thì cần liên hệ ngay với bác sĩ để điều trị

Kinh nghiệm chia sẻ cách chăm sóc sau khi làm răng
2. Quy trình dán răng sứ Veneer tại Nha khoa I-DENT
Quy trình dán sứ Veneer tại nha khoa I-DENT như sau:
- Bước 1: Thăm khám tổng quát tình trạng sức khoẻ
- Bước 2: Tiến hành chà sát bề mặt răng và kiểm tra khớp cắn
- Bước 3: Lấy dấu mẫu răng và chuyển đến phòng Labo
- Bước 4: Kiểm tra, so sánh và tiến hành dán răng sứ cố định

Quy trinh dán sứ Veneer
3. Chi phí dán răng sứ Veneer
Dán răng sứ giá bao nhiêu? Ở mỗi Nha khoa sẽ có giá làm răng sứ veneer khác nhau. Để biết được chính xác chi phí thực hiện dán sứ Veneer bạn nên đến nha khoa chất lượng để bác sĩ tư vấn chi tiết. Chi phí dán sứ mới nhất hiện nay tại nha khoa I-DENT sẽ từ 6 – 12 triệu đồng.
Ngoài ra, toàn bộ chi phí thăm khám, tư vấn hay chụp phim đều hoàn toàn miễn phí. Và tất nhiên, bạn hoàn toàn có thể đến đây để tham khảo mức giá, nha khoa I-DENT chỉ thanh toán chi phí dán sứ Veneer khi có sự đồng ý của khách hàng.
Một lời khuyên dành cho bạn là có thể theo dõi website chính thức của nha khoa I-DENT, bởi tại đây có công khai bảng giá cũng như chương trình ưu đãi. Nếu đăng ký thực hiện trong dịp ưu đãi, bạn sẽ tiết kiệm được một khoản chi phí không nhỏ. Đội ngũ Bác sĩ tại đây cũng là những Bác sĩ đầu ngành trong lĩnh vực dán sứ thẩm mỹ, sẽ mang lại cho bạn một hàm răng trắng sáng và rạng rỡ.
CHUYÊN SÂU IMPLANT DÀNH CHO NGƯỜI VIỆT
- Cơ sở 1:19V Nguyễn Hữu Cảnh, P.19, Q.Bình Thạnh, TP.Hồ Chí Minh
- Cơ sở 2:193A-195 Hùng Vương, P.9, Quận 5, TP.Hồ Chí Minh
- Cơ sở 3:83 Đường số 3 Khu dân cư Cityland, P.10, Q.Gò Vấp, TP.Hồ Chí Minh