
Bọc răng sứ có tẩy trắng được không?

Cố vấn chuyên môn:TS.BS. Nguyễn Hiếu Tùng
- Giám đốc Nha khoa I-DENT
- 10 năm tu nghiệp tại Pháp - hơn 10.000 ca Implant thành công
Bọc răng sứ rồi không thể tẩy trắng được vì thuốc tẩy trắng chỉ có tác dụng với men răng thật. Tẩy trắng răng là quá trình oxy hóa khử giúp cắt đứt các chuỗi protein tạo màu giúp răng trở nên trắng sáng hơn. Tuy nhiên, bản chất của răng sứ lại không có cấu tạo men ngà như răng thật nên tẩy trắng không có hiệu quả.
1. Đã bọc răng sứ có tẩy trắng được không?
Bọc răng sứ rồi không thể tẩy trắng được vì thuốc tẩy chỉ có tác dụng với mô răng thật và không ảnh hưởng đến cấu trúc sứ. Bản chất của răng sứ là được làm từ sứ nguyên chất, không bị nhiễm màu thực phẩm. Nếu răng sứ bị xỉn màu, bạn cần đến nha khoa để được vệ sinh, đánh bóng hoặc thay thế mão sứ mới.
Sau khi bọc răng sứ, để giữ cho màu răng sứ được bền đẹp lâu dài bạn cần có chế độ chăm sóc và vệ sinh khoa học như:
- Sử dụng bàn chải lông mềm chải răng 2 lần/ngày.
- Súc miệng bằng nước muối hoặc nước súc miệng chuyên dụng sau khi ăn.
- Dùng chỉ nha khoa hoặc tăm nước để làm sạch kẽ răng.
- Hạn chế ăn thực phẩm chứa phẩm màu
- Kiểm tra răng sứ và cạo vôi răng định kỳ 6 tháng/ lần.

Bọc răng sứ
2. Tại sao răng sứ bị đổi màu?
2.1. Do loại răng sứ sử dụng
Hiện nay có 2 loại răng sứ là răng toàn sứ và răng sứ kim loại. Trong đó, nếu sử dụng răng sứ kim loại sẽ nhanh chóng gặp tình trạng răng ố vàng hơn. Răng sứ kim loại có khung sườn bên trong làm từ kim loại nên tại vị trí chân răng bọc sứ sẽ bị đen sau một thời gian sử dụng do bị oxy hóa với môi trường bên ngoài.
Ngoài ra, màu răng sứ kim loại không trắng và trong bằng các loại răng toàn sứ, răng sẽ dần bị ố vàng sau 2-3 năm. Còn tình trạng răng ố vàng ở răng toàn sứ sẽ từ 7-10 năm, tùy dòng răng toàn sứ.
2.2. Do bọc răng sứ sai kỹ thuật
Khi bọc răng sứ, bác sĩ sẽ mài răng thật để tạo thành cùi cho việc chụp mão sứ lên trên. Nếu bác sĩ không thực hiện đúng kỹ thuật, khiến cho răng sứ và cùi răng không sát khít sẽ làm cho thức ăn bám ở vùng chân răng và từ đó khiến răng sứ bị đổi màu.
2.3. Do chế độ ăn uống
Răng sứ tuy có khả năng chống nhiễm màu thực phẩm và hình thành mảng bám nhưng nếu sử dụng các thực phẩm chứa phẩm màu thường xuyên như trà, cà phê, socola,… có thể làm cho răng sứ bị tối màu đi.

Chế độ ăn uống hàng ngày
2.4. Do vệ sinh răng miệng sai cách
Bên cạnh việc ăn uống thường xuyên các thực phẩm chứa nhiều phẩm màu và kết hợp với việc vệ sinh răng miệng không đúng cách có thể làm răng sứ bị đổi màu nhanh chóng.
3. Mẹo làm sáng răng sứ tại nhà
Từ những nguyên nhân khiến cho răng sứ bị đổi màu trên, bạn có thể áp dụng một số cách làm trắng răng sứ tại nhà như sau:
- Chăm sóc và vệ sinh răng miệng đúng cách: Đánh răng 2 lần/ ngày bằng bàn chải lông mềm, chải răng nhẹ nhàng để không làm tổn hại đến cùi răng và nướu. Đồng thời sử dụng thêm nước súc miệng, chỉ nha khoa để loại bỏ thức ăn thừa ở kẽ răng.
- Chế độ ăn uống khoa học: Hạn chế tối đa việc ăn uống các thực phẩm chứa phẩm màu, thực phẩm chứa nhiều đường và tinh bột. Bạn nên thường xuyên ăn cần tây, dâu tây, táo, nho khô,… để giúp ngăn chặn việc hình thành mảng bám, đổi màu của răng sứ.
Ngoài ra, bạn cũng cần lưu ý rằng, đối với việc sử dụng thuốc tẩy trắng răng sứ tại nhà sẽ không có tác dụng. Vì thuốc tẩy chỉ có tác dụng với răng thật, chúng sẽ làm phá vỡ các liên kết hóa học của các mảng bám hình thành trên răng. Do đó, bạn không cần tìm đến các chất tẩy trắng.

Chăm sóc răng miệng đúng cách sẽ làm trắng răng sứ
4. Cách làm trắng răng sứ hiệu quả nhất
Với các cách làm trắng răng sứ tại nhà đã nêu trên chỉ giải quyết tạm thời vấn đề xỉn màu của răng sứ. Cách giải quyết triệt để và tận gốc răng sứ xỉn màu là bạn nên đến nha khoa để lấy vôi răng và đánh bóng răng. Lấy vôi răng sẽ giúp lấy hết các mảng bám trên răng, giúp răng sứ sáng màu hơn. Còn việc đánh bóng răng sẽ giúp bề mặt răng được nhẵn bóng, từ đó ngăn ngừa mảng bám và răng bị đổi màu, ố vàng.
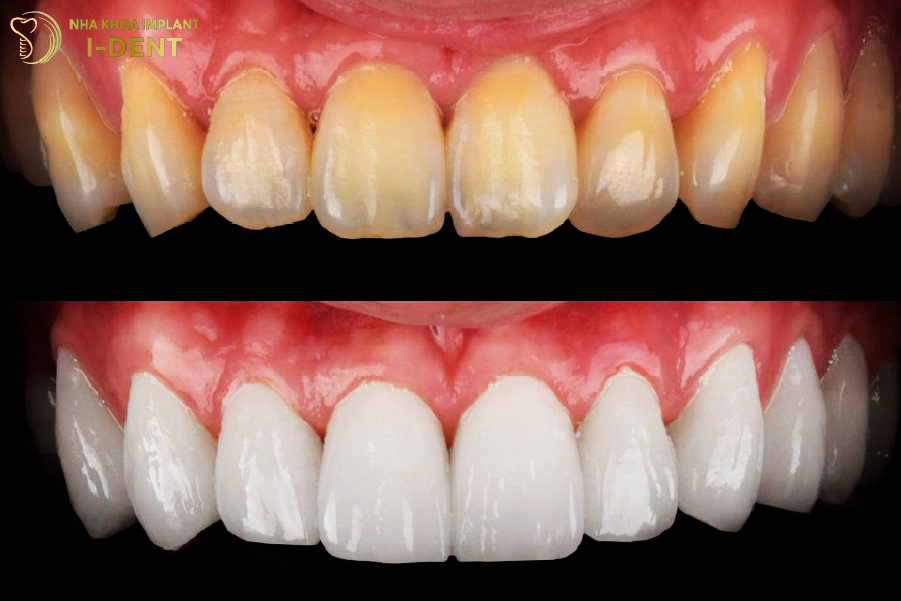
Với trường hợp như răng sứ đã bị ố vàng nghiêm trọng và bạn mong muốn sở hữu hàm răng trắng sáng như trước đây thì phương pháp làm trắng răng sứ tốt nhất là thay mới mão răng sứ cho những răng sứ đã bị xỉn màu.
Lưu ý là khi bọc lại sứ mới, bạn hãy lựa chọn cho mình loại răng toàn sứ để tránh tình trạng răng sứ dễ bị oxy hóa sau một thời gian sử dụng. Răng toàn sứ được đánh giá là có độ bóng tự nhiên, bền màu và tuổi thọ kéo dài lâu nhất trong các dòng răng sứ hiện nay.

Bọc răng sứ mới là phương pháp làm trắng răng hiệu quả và nhanh chóng nhất
Tóm lại, răng sứ không thể tẩy trắng được vì phương pháp tẩy trắng chỉ hiệu quả đối với răng thật. Do đó, khi răng sứ bị xuống cấp đổi màu sau thời gian sử dụng, bạn nên đến nha khoa để bác sĩ lấy vôi răng, đánh bóng hoặc thay thế mới. Ngoài ra, việc tuân thủ về cách chăm sóc và ăn uống đúng cách sẽ giúp màu răng sứ bền đẹp theo thời gian.
CHUYÊN SÂU IMPLANT DÀNH CHO NGƯỜI VIỆT
- Cơ sở 1:19V Nguyễn Hữu Cảnh, P.19, Q.Bình Thạnh, TP.Hồ Chí Minh
- Cơ sở 2:193A-195 Hùng Vương, P.9, Quận 5, TP.Hồ Chí Minh
- Cơ sở 3:83 Đường số 3 Khu dân cư Cityland, P.10, Q.Gò Vấp, TP.Hồ Chí Minh