
Mất răng có sao không? Nguyên nhân, hậu quả và cách khắc phục

Cố vấn chuyên môn:TS.BS. Nguyễn Hiếu Tùng
- Giám đốc Nha khoa I-DENT
- 10 năm tu nghiệp tại Pháp - hơn 10.000 ca Implant thành công
Mất răng là tình trạng một hoặc nhiều răng không còn tồn tại trên cung hàm, để lại khoảng trống gây mất cân đối giữa các răng. Nguyên nhân xuất phát từ sâu răng, viêm nha chu, chấn thương, tuổi tác hoặc thói quen chăm sóc răng miệng chưa đúng cách. Khi mất răng, không chỉ việc ăn nhai bị suy giảm mà còn kéo theo hàng loạt hệ lụy như tiêu xương hàm, xô lệch răng, lão hóa sớm,… gây ảnh hưởng đến sức khỏe, giao tiếp và chất lượng cuộc sống.
1. Nguyên nhân gây mất răng
Mất răng có thể xuất phát từ nhiều nguyên nhân khác nhau:
- Hậu quả của các bệnh lý răng miệng như sâu răng, viêm tủy, viêm nha chu,…
- Chấn thương, va đập mạnh gây hỏng hoặc gãy răng.
- Răng số 8 mọc lệch làm hỏng răng bên cạnh hoặc chân răng nên phải loại bỏ.
- Chế độ dinh dưỡng không hợp lý, thiếu khoáng chất như canxi, kali khiến răng yếu và dễ gãy rụng.
- Tuổi tác và quá trình lão hóa khiến men răng và cấu trúc răng suy giảm, dẫn đến mất răng.
- Các tổn thương mô cứng: mòn răng do khớp cắn bất thường, nghiến răng, chải răng quá mạnh; tiêu cổ răng khi răng xoay trục; tiêu chân răng do chấn thương, nhiệt độ cao hoặc viêm tủy mạn tính.
- Mòn răng hóa học do tiếp xúc axit, trào ngược dạ dày hoặc môi trường làm việc chứa hóa chất.
- Răng bị nhổ bỏ trong điều trị u, nang xương hàm.
Các nguyên nhân phổ biến dẫn đến tình trạng mất răng
2. Hậu quả mất răng nghiêm trọng thế nào?
Mất răng có thể gây ra những hậu quả nghiêm trọng:
2.1. Suy giảm chức năng ăn nhai
Mất răng tạo ra hoảng trống làm giảm diện tích tiếp xúc ăn nhai và răng đối diện răng mất cũng không còn chức năng nhai khiến lực nhai mất đi gấp đôi. Lực nhai yếu đi khiến việc nghiền nát thức ăn kém hiệu quả. Thức ăn không được nghiền nát trước đi đưa xuống hệ tiêu hóa gây ảnh hưởng tới dạ dày và đường ruột.
Đặc biệt mất răng hàm khiến khả năng ăn nhai ảnh hưởng nghiêm trọng khi lực nghiền thức ăn giảm 40–60%. Mất răng hàm không chỉ làm giảm lực cắn, mà còn phá vỡ toàn bộ cơ chế nghiền, trộn và phân bổ lực nhai.
Ngoài ra, khi bị mất răng khiến thức ăn dễ bị kẹt vào chỗ trống gây cảm giác khó chịu, vướng víu, thậm chí đau nếu thức ăn cứng hoặc dai cấn vào nướu. Bệnh nhân thường phải dùng lưỡi hoặc tay để lấy thức ăn ra, gây gián đoạn bữa ăn.
Ở người trung niên hoặc cao tuổi mất nhiều răng, chức năng nhai kém khiến cơ thể suy nhược, dễ mệt mỏi và chán ăn. Theo thời gian, tình trạng này dẫn đến giảm cân, lão hóa nhanh hơn.
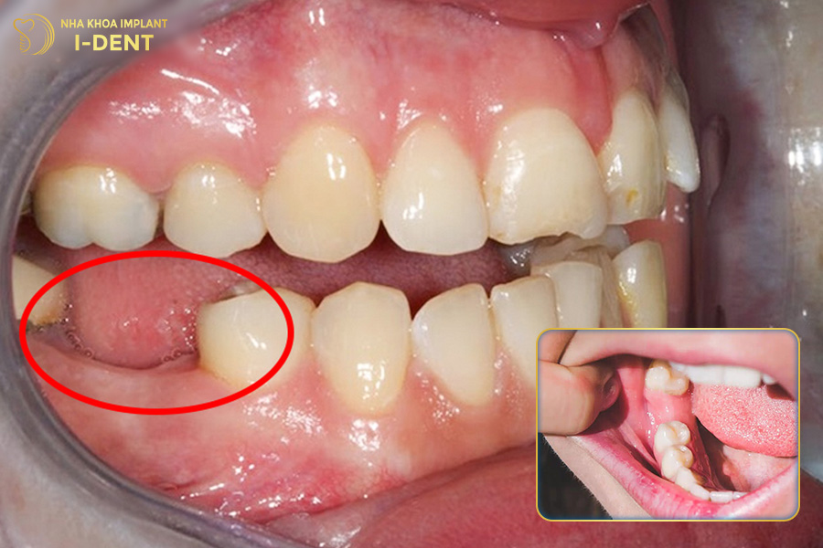
Mất 1 răng cũng gây ảnh hưởng lớn đến chức năng ăn nhai.
2.2. Xô lệch răng và sai lệch khớp cắn
Mất răng gây ra hiện tượng xô lệch các răng còn lại trong hàm và rối loạn khớp cắn. Các răng trên cung hàm tạo thành một thể thống nhất nâng đỡ nhau trên cung hàm và phân bổ đều lực nhai. Khi mất một răng thì răng ở hàm đối diện cũng không còn sự nâng đỡ, dần trồi lên hoặc tụt xuống để tìm điểm tiếp xúc, làm hỏng khớp cắn tự nhiên. Gây ảnh hưởng hoạt động nhai cắn và đau nhức khi nhai, ảnh hưởng lâu dài đến chức năng nhai.
Mất răng khiến lực nhai không phân bổ đều. Hai răng bên cạnh răng mất sẽ mất điểm tựa và có xu hướng dịch chuyển hoặc nghiêng về phía khoảng trống mất răng. Lâu dần tạo các khoảng trống mới cho các răng khác tiếp tục xô lệch, gây chen chúc, sai lệch khớp cắn và ảnh hưởng đến thẩm mỹ. Đặc biệt khi bị mất răng hàm thì khả năng bị lệch khớp cắn nặng hơn có thể dẫn đến liệt cơ hàm và lệch mặt.
Ngoài ra các khoảng kẽ răng mới hình thành do xô lệch răng cũng làm thức ăn dễ mắc vào, tạo môi trường thuận lợi cho vi khuẩn phát triển, tăng nguy cơ mắc bệnh lý răng miệng.
Mất răng hàm khiến các răng khác xô lệch, làm sai lệch khớp cắn.
2.3. Tiêu xương hàm và lão hóa sớm
Sau khi răng mất, xương hàm xung quanh ổ răng bắt đầu tiêu biến dần do hiện tượng đào thải tự nhiên của cơ thể. Xương ở vị trí răng mất tiêu biến nhanh chóng làm giảm lực nâng đỡ răng, ảnh hưởng lớn đến thẩm mỹ khuôn mặt và khả năng phục hình răng giả sau này. Nếu muốn phục hình răng giả bác sĩ sẽ phải ghép xương.
Tiêu xương hàm làm thay đổi hình dạng khuôn mặt, điển hình là hóp má, mất điểm tựa khiến da mặt chảy xệ, nếp nhăn xuất hiện sớm và gương mặt trông già hơn so với tuổi. Ở những người mất răng hàm, tình trạng hóp má thường gây ra hiện tượng hô giả. Với trường hợp mất răng toàn hàm, tiêu xương diễn ra mạnh hơn, dẫn đến khuôn mặt nhanh chóng lão hóa và thậm chí biến dạng rõ rệt.
Tiêu xương hàm còn làm giảm khả năng nâng đỡ hàm răng khiến hàm giảm lực nhai và răng trở lên lỏng lẻo hơn.
Mất răng hàm gây tiêu xương hàm, làm biến dạng gương mặt và lão hóa sớm.
2.4. Đau đầu và đau cổ vai
Khi mất răng đặc biệt là mất răng hàm, lực nhai không còn được phân bố đều trên cả hai bên làm cho hàm mất cân bằng. Các răng còn lại phải chịu áp lực lớn hơn bình thường, làm biên độ vận động của khớp thái dương hàm bị thay đổi. Về lâu dài sự mất cân đối này dễ dẫn đến rối loạn khớp thái dương hàm, gây đau đầu, đau cổ vai gáy, thậm chí kèm theo các triệu chứng như đau tai hoặc ù tai.
2.5. Phát âm không chính xác
Khoảng trống do mất răng khiến luồng hơi thoát ra không được kiểm soát làm ảnh hưởng trực tiếp đến khả năng phát âm. Đặc biệt khi bị mất răng cửa thì sự hỗ trợ và tương tác giữa răng, môi và lưỡi bị giảm hoặc mất đi. Từ đó gây khó khăn trong việc phát âm chuẩn xác, đặc biệt là các âm gió. Âm thanh phát ra không được rõ ràng hoặc bị biến dạng, giọng nói có thể bị ngọng nghịu.
2.6. Gây mất thẩm mỹ và ảnh hưởng giao tiếp
Khi mất răng đặc biệt là ở vị trí dễ lộ như răng cửa hay răng nanh, nụ cười sẽ trở nên kém duyên, làm giảm sự tự tin trong giao tiếp. Ngay cả khi mất răng hàm, các răng bên cạnh cũng dễ bị xô lệch, lâu dần ảnh hưởng đến thẩm mỹ của toàn bộ hàm răng.
Ngoài vấn đề thẩm mỹ, mất răng còn gây khó khăn trong phát âm, khiến giọng nói thiếu rõ ràng, đôi khi bị ngọng hoặc méo tiếng làm người bệnh e ngại khi giao tiếp.
Về lâu dài tình trạng tiêu xương hàm khiến khuôn mặt thay đổi rõ rệt: má hóp, da chảy xệ, nếp nhăn quanh miệng và mắt xuất hiện sớm, gương mặt già đi nhanh chóng so với tuổi thật. Những biến đổi này không chỉ ảnh hưởng ngoại hình mà còn tác động lớn đến chất lượng cuộc sống của người bệnh.
Mất răng hàm gây mất thẩm mỹ nghiêm trọng và gây khó khăn trong giao tiếp.
Video về tác hại khi bị mất răng lâu năm.
2.7. Ảnh hưởng sức khỏe tổng thể
Mất răng làm giảm hiệu suất ăn nhai khiến thức ăn không được nghiền nát kỹ trước khi xuống hệ tiêu hóa, từ đó tạo áp lực lên dạ dày và dễ dẫn đến rối loạn tiêu hóa. Người bị mất răng thường hạn chế ăn các loại thực phẩm cứng, dai hoặc nhiều chất xơ, dẫn tới khẩu phần ăn mất cân bằng dinh dưỡng và thiếu hụt vitamin, khoáng chất. Ở người trung niên và cao tuổi, tình trạng này còn gây chán ăn, suy nhược, mệt mỏi và làm tăng nguy cơ mắc các bệnh mạn tính do thiếu dinh dưỡng.
2.8. Ảnh hưởng tâm lý
Khi bị mất tăng tại các vị trí dễ thấy như răng cửa hoặc mất răng làm xô lệch hàm gây ảnh hưởng tới tâm lý khiến cho người bệnh luôn lo lắng, tự ti.
2.9. Nguy cơ mắc nhiều bệnh lý răng miệng
Khoảng trống tại vị trí răng mất hoặc khe hở do răng xô lệch tạo ra là nơi dễ mắc thức ăn và tích tụ vi khuẩn. Đây là môi trường thuận lợi để mảng bám hình thành, lâu dần dẫn đến các bệnh lý răng miệng như sâu răng, viêm nướu, viêm nha chu. Đặc biệt những răng còn lại trên cung hàm sẽ chịu tác động nặng nề hơn, dễ bị hư hỏng và mất dần chức năng nếu không được can thiệp kịp thời.
3. Mất răng phải làm sao?
Khi bị mất răng bạn nên thăm khám bác sĩ nha khoa sớm để đánh giá tình trạng răng và được tư vấn phương pháp phục hồi răng mất phù hợp. Hiện nay có 3 kỹ thuật trồng răng giả phổ biến được nhiều người lựa chọn bao gồm: trồng răng Implant, làm cầu răng sứ và sử dụng hàm tháo lắp.
3.1. Trồng răng implant
Trồng răng Implant hiện là phương pháp phục hình răng mất tối ưu nhất hiện nay cho mất một răng, mất nhiều răng hoặc mất răng toàn hàm, giúp phục hồi khả năng ăn nhai tốt gần như răng thật. Phương pháp này sử dụng trụ implant cấy ghép trực tiếp vào xương hàm tại vị trí răng mất để thay thế cho chân răng thật đã mất. Sau đó phục hình răng sứ lên trên để tạo thành 1 chiếc răng giả hoàn chỉnh với đầy đủ chức năng, thẩm mỹ và màu sắc giống như răng thật.
Đối với những trường hợp mất răng toàn hàm, bác sĩ thường khuyến khích sử dụng phương pháp cấy ghép implant All-on-4 hoặc All-on-6, cụ thể là cấy 4 hoặc 6 trụ implant vào mỗi hàm, sau đó lắp cầu răng lên trên để phục hồi toàn bộ hàm.
Ưu điểm:
- Phục hồi chức năng ăn nhai tốt và thẩm mỹ cao.
- Tuổi thọ lâu dài, có thể sử dụng đến trọn đời nếu chăm sóc tốt.
- Răng implant tồn tại độc lập, không ảnh hưởng đến các răng lân cận.
- Răng implant ngăn ngừa tiêu xương hàm hiệu quả.
- Vệ sinh dễ dàng như răng thật.
- Áp dụng được cho mọi trường hợp mất răng.
Nhược điểm:
- Chi phí trồng răng implant khá cao và thời gian điều trị lâu.
- Bệnh nhân phải đảm bảo đủ điều kiện về sức khỏe theo chỉ định của bác sĩ.
Trồng răng implant là giải pháp tốt nhất khi mất răng hàm đơn lẻ hay thậm chí toàn hàm.
3.2. Làm cầu răng sứ
Làm cầu răng sứ là phương pháp phục hình răng mất cố định, thường áp dụng khi một hoặc vài răng liền kề cùng khu vực bị mất. Cầu răng được chế tạo từ ít nhất 3 răng sứ liền nhau và được gắn chắc chắn vào hai răng thật kế cận đã được mài một phần để làm trụ đỡ.
Ưu điểm:
- Đảm bảo thẩm mỹ tự nhiên và chức năng ăn nhai tốt hơn hàm giả tháo lắp.
- Thời gian thực hiện nhanh, thường hoàn tất trong 1-3 ngày.
- Chi phí thấp hơn so với cấy ghép implant.
Nhược điểm:
- Phải mài răng thật để làm trụ cầu và yêu cầu 2 răng lân cận răng mất phải chắc khỏe.
- Không ngăn ngừa được tiêu xương hàm hoặc tụt nướu theo thời gian.
- Khó vệ sinh làm sạch răng xung quanh bên dưới cầu răng.
- Cầu răng dễ bị sứt mẻ nếu ăn nhai thực phẩm cứng.
- Chi phí đầu tư cao vì cần sửa chữa và thay mới nhiều lần.
Phương pháp cầu răng sứ.
3.3. Làm hàm giả tháo lắp
Hàm tháo lắp là phương pháp phục hình răng truyền thống phù hợp với người cao tuổi mất nhiều răng hoặc toàn bộ hàm, đặc biệt khi xương hàm yếu hoặc không đủ điều kiện sức khỏe để trồng Implant hay làm cầu răng sứ. Phương pháp này sử dụng một hàm giả có phần mô nướu gắn trực tiếp lên nướu của bệnh nhân, có thể là hàm bán phần hoặc toàn phần tùy tình trạng.
Ưu điểm:
- Chi phí thấp, phù hợp với nhiều đối tượng.
- Thời gian thực hiện nhanh, thường hoàn tất trong 3-7 ngày.
- Dễ tháo lắp, thuận tiện vệ sinh hàng ngày.
Nhược điểm:
- Khả năng ăn nhai yếu chỉ đạt 30-40% so với răng thật, không nhai được thức ăn cứng.
- Dễ rơi rớt hoặc dịch chuyển sau một thời gian.
- Bất tiện khi phải tháo ra vệ sinh hàng ngày.
- Không ngăn được tiêu xương hàm mà còn gây lão hóa già nhanh hơn nên kỹ thuật này không còn được sử dụng nhiều.
- Có nguy cơ kẹt thức ăn, gây hôi miệng.
- Gây teo nướu, đau nướu sau một thời gian sử dụng.
- Tuổi thọ ngắn, thời gian sử dụng được chỉ khoảng 3-5 năm.
Phục hình răng mất bằng hàm tháo lắp.
4. Biện pháp phòng ngừa mất răng
Để ngăn tình trạng mất răng bạn nên:
- Vệ sinh răng miệng đều đặn 2 lần/ngày bằng kem đánh răng có fluor.
- Dùng chỉ nha khoa hoặc bàn chải kẽ răng để làm sạch mảng bám thức ăn.
- Đeo dụng cụ bảo vệ miệng khi tham gia thể thao có nguy cơ chấn thương răng.
- Tránh hút thuốc, nghiến răng hoặc các thói quen gây hại cho răng.
- Ăn uống đầy đủ chất dinh dưỡng để bảo vệ men răng.
- Khám nha khoa định kỳ 6 tháng/lần.
5. Câu hỏi thường gặp về mất răng
5.1. Mất răng hàm có sao không?
Mất răng hàm làm tạo khoảng trống lớn trên khuôn hàm, làm các răng bên cạnh bị xô lệch, đổ nghiêng về hướng răng mất gây ảnh hưởng toàn bộ hệ thống ăn nhai. Khi ăn, thức ăn dễ rơi vào khoảng trống răng mất tạo điều kiện vi khuẩn phát triển nên tăng nguy cơ mắc bệnh lý răng miệng.
5.2. Mất 1 răng hàm có sao không?
Mất 1 răng hàm thôi cũng làm giảm đáng kể lực nhai và nghiền nát thức ăn của toàn bộ hàm răng. Tại vị trí mất răng, bệnh nhân sẽ cảm thấy ăn nhai khó khăn và không còn hiệu quả. Khi hiệu quả ăn nhai giảm do mất 1 chiếc răng hàm thì thức ăn không được nghiền nhỏ trước khi nuốt, lâu ngày gây đau dạ dày.
5.3. Mất răng hàm trên có sao không?
Răng hàm trên đóng vai trò chính trong nhai và nghiền nát thức ăn. Bị mất răng hàm trên sẽ làm giảm hiệu quả ăn uống rõ rệt. Ở hàm trên, tình trạng tiêu xương sau khi bị mất răng dẫn đến việc xoang hàm bị hạ thấp, gây khó khăn cho phục hình răng sau này. Ngoài ra còn ảnh hưởng cấu trúc gương mặt và thẩm mỹ.
5.4. Tác hại của mất răng lâu năm là gì?
Tác hại của mất răng lâu năm chính là giảm mạnh hiệu suất ăn nhai, ảnh hưởng quá trình ăn uống, gây đau khi ăn, ảnh hưởng đến dạ dày và hệ tiêu hóa. Đặc biệt tiêu xương hàm là tác hại nghiêm trọng nhất của mất răng. Làm thay lệch khớp cắn nghiêm trọng, lệch hàm, thay đổi toàn bộ cấu trúc khuôn mặt và lão hóa sớm.
5.5. Mất 2 răng hàm có sao không?
Mất 2 răng hàm làm ảnh hưởng đến chức năng ăn nhai chính của cả hàm. Vì 2 răng hàm có vai trò chính trong việc nhai và nghiền nát thức ăn. Khi mất cả 2 răng hàm liền kề thì lực nhai giảm đi nhiều, ăn nhai khó khăn, ảnh hưởng dạ dày và đường ruột. Và còn ảnh hưởng sự cân đối khuôn mặt và phát âm.
5.6. Mất răng có ảnh hưởng gì không?
Mất răng làm giảm hiệu quả ăn nhai, gây khó khăn ăn uống, đau khi ăn, ảnh hưởng các răng khác, lệch khớp cắn, tiêu xương hàm, lão hóa sớm, nguy cơ mắc các bệnh lý về răng, gây đau dạ dày ảnh hưởng sức khỏe tổng thể và khiến người bệnh tự ti nhất là khi mất răng cửa.
Khi bị mất răng gây ra nhiều hệ lụy nghiêm trọng, không chỉ là vấn đề thẩm mỹ mà còn ảnh hưởng lớn đến sức khỏe và chất lượng cuộc sống. Với sự phát triển của kỹ thuật nha khoa tiên tiến hiện nay, việc phục hình răng mất đã trở nên đơn giản và hiệu quả hơn bao giờ hết. Hãy tham khảo ý kiến nha sĩ hoặc đến nha khoa trồng răng để tìm ra phương án phục hình răng phù hợp, giúp bạn nhanh chóng lấy lại hàm răng chắc khỏe và nụ cười tự tin.
CHUYÊN SÂU IMPLANT DÀNH CHO NGƯỜI VIỆT
- Cơ sở 1:19V Nguyễn Hữu Cảnh, P.19, Q.Bình Thạnh, TP.Hồ Chí Minh
- Cơ sở 2:193A-195 Hùng Vương, P.9, Quận 5, TP.Hồ Chí Minh
- Cơ sở 3:83 Đường số 3 Khu dân cư Cityland, P.10, Q.Gò Vấp, TP.Hồ Chí Minh