
3 Mức Độ Sâu Răng Từ Nhẹ Đến Nặng Và Cách Xử Lý

Cố vấn chuyên môn:TS.BS. Nguyễn Hiếu Tùng
- Giám đốc Nha khoa I-DENT
- 10 năm tu nghiệp tại Pháp - hơn 10.000 ca Implant thành công
Sâu răng là bệnh lý răng miệng phổ biến xảy ra do vi khuẩn tấn công bề mặt răng và nếu không điều trị kịp thời có thể gây biến chứng nguy hiểm. Sâu răng có 3 mức độ: Sâu men răng (mức độ nhẹ), Sâu ngà nông (mức độ trung bình) và Sâu ngà sâu lan đến tủy (mức độ nặng). Tùy vào mức độ sâu răng mà xử lý bằng cách cải thiện vệ sinh răng miệng, dùng florua, trám răng, bọc răng sứ, điều trị tủy răng hoặc nhổ răng và phục hình răng mới.
1. Phân loại sâu răng
Sâu răng chia thành 3 loại dựa vào vị trí tổn thương trên răng bao gồm: sâu chân răng, sâu hố rãnh và sâu bề mặt.
- Sâu chân răng (Root decay)
Sâu chân răng xảy ra trên bề mặt răng và phổ biến ở người lớn tuổi, đặc biệt là người có bệnh về nướu. Khi nướu tụt xuống, các mô xung quanh răng thấp đi khiến chân răng bị lộ ra và dễ bị tấn công bởi axit và vi khuẩn.
- Sâu hố rãnh (Pit and fissure decay)
Sâu hố rãnh xảy ra trên bề mặt nhai của răng hàm sau do thức ăn và mảng bám dễ mắc kẹt trong kẽ hở và rãnh trên mặt nhai ở vị trí này. Sâu hố rãnh thường xảy ra ở thanh thiếu niên và người có thói quen vệ sinh răng miệng kém, không đánh răng thường xuyên.
- Sâu bề mặt (Smooth surface)
Sâu bề mặt thường xảy ra ở các răng ở hai bên làm ảnh hưởng đến bề mặt răng nhưng tiến triển chậm và rất ít gặp. Sâu bề mặt thường xảy ra ở người trưởng thành khoảng 20 tuổi.

Sâu răng tấn công vào tủy, gây đau nhức, khó chịu.
2. Các mức độ sâu răng từ nhẹ đến nặng
Sâu răng có 3 mức độ:
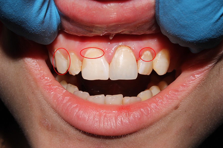
2.1 Sâu răng độ 1 (Mức độ nhẹ)
Sâu răng độ 1 là sâu men răng và là mức độ nhẹ nhất của bệnh sâu răng. Axit sinh ra từ bệnh nền hoặc thói quen vệ sinh răng miệng kém là nguyên nhân gây sâu răng ở giai đoạn này. Dấu hiệu dễ nhìn thấy nhất ở giai đoạn này chính là sự xuất hiện của những vệt trắng đục hoặc lốm đốm màu đen (hoặc nâu) trên bề mặt răng. Ở giai đoạn này, bệnh nhân sẽ rất dễ chủ quan vì vẫn chưa cảm thấy đau nhức hay khó chịu kể cả khi ăn thực phẩm cay, nóng hay lạnh.
Cách xử lý giai đoạn sâu răng ở giai đoạn này khá đơn giản, bạn nên thường xuyên răng miệng một cách cẩn thận và tốt nhất nên đến nha khoa để loại bỏ vôi răng định kỳ 6 tháng/lần để tránh bệnh chuyển biến sang sâu răng độ 2.

Sâu răng độ 1 (Mức độ nhẹ).
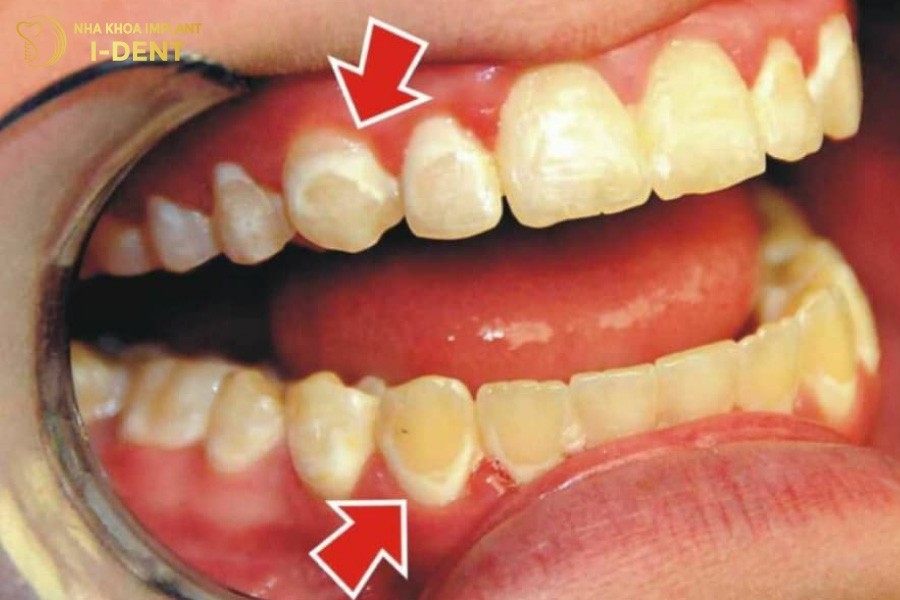
2.2 Sâu răng độ 2 (Sâu răng đã ăn vào tuỷ)
Sâu răng độ 2 là sâu ngà nông. Ở giai đoạn này, vi khuẩn sâu răng đã bắt đầu tấn công vào trong cấu trúc tủy răng và dẫn đến sự phá hủy men răng . Khiến cho bệnh nhân cảm thấy đau răng khi ăn uống và gây bất tiện cho sinh hoạt hàng ngày. Sâu răng giai đoạn này thì bệnh nhân phải đến nha khoa để điều trị bằng cách trám răng hoặc bọc sứ.

Sâu răng độ 2 (Sâu răng đã ăn vào tuỷ).
2.3 Sâu răng độ 3 ( Sâu đến tủy răng)
Trong các loại sâu răng thì mức độ sâu răng độ 3 được cảnh báo là nguy hiểm đến sức khoẻ nhất.
Khi bạn có thể cảm nhận những cơn đau nhức, thậm chí đau dữ dội lúc về đêm thì có nghĩa là tình trạng bệnh của bạn đã chuyển sang mức độ sâu răng nặng. Vi khuẩn sẽ ăn sâu vào vị trí đáy chân răng, hình thành ổ viêm nhiễm và gây ra tình trạng viêm tủy răng. Đây là nguyên nhân chính làm tăng nguy cơ áp xe răng, sâu răng hàm nặng, thậm chí là mất răng, nhiễm trùng máu.

Sâu răng độ 3 ( Sâu đến tủy răng).
Khi sâu răng đã diễn biến đến mức độ nghiêm trọng, bạn cần đến khoa để nha sĩ xử lý kịp thời. Nếu như chân răng chưa bị vi khuẩn tấn công đến, bác sĩ sẽ áp dụng phương án trám răng để phục hồi vết sâu. Còn nếu tủy răng đã bị phá huỷ nhiều thì bác sĩ sẽ chỉ định nhổ bỏ răng để tránh nhiễm trùng xương hàm.
3. Các giai đoạn sâu răng
Sâu răng chia thành 5 giai đoạn từ nhẹ đến nặng lần lượt là: khử khoáng, sâu men răng, sâu ngà răng, viêm tủy răng và chết tủy.
3.1 Giai đoạn 1: Khử khoáng
Biểu hiện của giai đoạn này là bề mặt răng xuất hiện đốm nhỏ màu trắng như phấn do các kháng chất trong men răng bị phân hủy bởi vi khuẩn.

Giai đoạn 1: Khử khoáng: Xuất hiện đốm nhỏ màu trắng như phấn trên bề mặt răng.
3.2 Giai đoạn 2: Sâu men răng
Nếu sâu răng giai đoạn đầu không được chữa trị thì vi khuẩn sẽ tiếp tục phá hủy men răng và hình thành các lỗ sâu răng. Biểu hiện của giai đoạn này là đốm trắng chuyển thành đốm màu nâu nhạt.

Giai đoạn 2 (Sâu men răng): Đốm trắng xuất hiện là dấu hiệu của sâu men răng.
3.3 Giai đoạn 3: Sâu ngà răng
Sau đó, vi khuẩn tiếp tục xâm nhập vào lớp ngà răng mềm bên dưới men răng khiến tốc độ sâu răng diễn ra nhanh hơn. Ở giai đoạn này, răng trở nên nhạy cảm và đau đớn khi ăn uống đồ nóng, lạnh. Các đốm màu nâu nhạt cũng chuyển sang màu sẫm hơn.

Giai đoạn 3: Sâu ngà răng: Đốm màu nâu nhạt chuyển sang màu đậm hơn.
3.4 Giai đoạn 4: Viêm tủy răng
Viêm tủy răng là một trong các giai đoạn sâu răng nguy hiểm nhất vì tủy răng chứa dây thần kinh và mạch máu vận chuyển dinh dưỡng giúp nuôi dưỡng răng. Lỗ sâu răng mở rộng, vi khuẩn tiến dần đến tủy khiến tủy bị tổn thương, sưng to lên và gây đau dữ dội dù không chịu tác động gì. Vùng nướu xung quanh răng dễ bị sưng đỏ và các đốm màu nâu sẫm trước đó chuyển sang màu sẫm hơn hoặc đen.

Giai đoạn 4: Viêm tủy răng: Tủy răng đã bị viêm, vùng nướu xung quanh răng dễ bị sưng đỏ.
3.5 Giai đoạn 5: Chết tủy
Khi viêm tủy không được điều trị thì tủy sẽ bị hoại tử và chết. Lúc này, vi khuẩn tiếp tục lan rộng sang các tổ chức quanh răng như mô nướu, xương ổ răng và gây ra những tổn thương nghiêm trọng như: tiêu xương hàm, gãy xương hàm, nhiễm trùng máu…

Giai đoạn 5: Chết tủy: Tủy răng đã chết, vi khuẩn tiếp tục lây lan sang các tổ chức khác trong khoang miệng.
4. Cách điều trị sâu răng từ mức độ nhẹ đến nặng
Tùy mức độ sâu răng nặng hay nhẹ mà tiến hành điều trị bằng cách dùng florua, cải thiện vệ sinh răng miệng, trám răng, bọc sứ, điều trị tủy hay là nhổ và phục hình răng.
4.1 Điều trị sâu răng độ 1
Sâu răng giai đoạn 1 nếu phát hiện kịp thời có thể điều trị bằng florua để tái khoáng khôi phục men răng và ngăn ngừa sâu răng tiếp tục phát triển lên giai đoạn 2.
4.2 Điều trị sâu răng độ 2
Nếu bạn đang bị sâu răng độ 2 thì sẽ được tư vấn điều trị bằng cách trám răng. Bác sĩ sẽ dùng dụng cụ nha khoa chuyên dụng để làm sạch vết sâu để ngăn chặn vi khuẩn sâu răng phát triển. Sau đó đắp vật liệu trám răng vào lỗ sâu, nhằm khôi phục lại cấu trúc răng mất và hạn chế vi khuẩn tiếp tục ăn sâu vào tuỷ răng (sâu răng độ 3).
Trường hợp sâu răng nặng, không còn nhiều men răng khỏe mạnh thì bác sĩ tiến hành bỏ phần bị hư hỏng và lắp mão sứ để phục hồi hình dạng và chức năng của răng
4.3 Điều trị sâu răng độ 3
Trường hợp sâu răng giai đoạn 3 bắt buộc phải điều trị tủy hoặc nhổ răng và phục hình răng.
- Điều trị tủy răng: Nếu chân răng hoặc tủy răng bị thương, không thể chữa được hoặc đã chết thì bác sĩ sẽ điều trị tủy. Sau đó, ống tủy được lấp đầy bằng vật liệu nha khoa để ngăn chặn vi khuẩn tấn công và xâm nhập trở lại. Sau khi lấy tủy thì người bệnh cần dùng mão răng để khôi phục hình dáng và chức năng ăn nhai của răng.
- Nhổ răng và trồng răng mới: Khi răng bị hư hại quá nặng và không thể chữa thì phải nhổ bỏ răng để ngăn chặn vi khuẩn sâu răng lan rộng sang vùng khác. Sau khi nhổ răng thì người bệnh có thể phục hình răng bằng cách cắm trụ implant (biện pháp phổ biến nhất) hoặc làm cầu răng sứ.

Mỗi giai đoạn sâu răng sẽ có cách điều trị khác nhau.
5. Biện pháp ngăn ngừa bệnh sâu răng
Ngăn ngừa khả năng răng bị sâu bằng cách:
- Đánh răng bằng bàn chải lông mềm ít nhất 2 lần/ngày, kết hợp sử dụng chỉ nha khoa, tăm nước và nước súc miệng diệt khuẩn sau mỗi bữa ăn để hạn chế thức ăn tích tụ ở kẽ răng.
- Hạn chế đồ ăn quá nhiều tinh bột, đường… tăng cường ăn rau xanh để hỗ trợ làm sạch mảng bám trên răng.
- Hạn chế sử dụng các chất kích thích như hút thuốc, rượu, bia, cà phê, trà…
- Có chế độ ăn uống hợp lý, bổ sung nhiều vitamin, canxi, khoáng chất tốt cho răng và cho sức khỏe cơ thể.
- Khám răng định kỳ 6 tháng/lần để bác sĩ thăm khám và kịp thời xử lý nếu như phát hiện dấu hiệu sâu răng.

Biện pháp ngăn ngừa bệnh sâu răng.
Sâu răng tiến triển qua nhiều giai đoạn từ nhẹ đến nặng với mức độ tổn thương và cách xử lý khác nhau. Nếu không được điều trị kịp thời, sâu răng có thể gây viêm tủy, áp xe răng, thậm chí mất răng vĩnh viễn. Vì vậy, khi phát hiện bất kỳ dấu hiệu nào của sâu răng thì bạn nên chủ động thăm khám nha khoa để được tư vấn và can thiệp sớm nhằm tránh biến chứng nghiêm trọng về sau.
CHUYÊN SÂU IMPLANT DÀNH CHO NGƯỜI VIỆT
- Cơ sở 1:19V Nguyễn Hữu Cảnh, P.19, Q.Bình Thạnh, TP.Hồ Chí Minh
- Cơ sở 2:193A-195 Hùng Vương, P.9, Quận 5, TP.Hồ Chí Minh
- Cơ sở 3:83 Đường số 3 Khu dân cư Cityland, P.10, Q.Gò Vấp, TP.Hồ Chí Minh