
Những Người Không Nên Niềng Răng? Đối Tượng Cần Tránh

Cố vấn chuyên môn:TS.BS. Nguyễn Hiếu Tùng
- Giám đốc Nha khoa I-DENT
- 10 năm tu nghiệp tại Pháp - hơn 10.000 ca Implant thành công
Niềng răng là giải pháp thẩm mỹ và cải thiện chức năng ăn nhai hiệu quả. Tuy nhiên, không phải ai cũng phù hợp để thực hiện phương pháp này. Một số trường hợp những người không nên niềng răng như: Người mắc bệnh lý nha chu, người gặp vấn đề về xương hàm, mắc bệnh lý toàn thân, đã bọc răng sứ hoặc trồng implant, người dị ứng với vật liệu chỉnh nha và phụ nữ mang thai.
1. Tổng quan về phương pháp niềng răng
Niềng răng là phương pháp điều trị nha khoa cải thiện vị trí và hình dáng của răng trên cung hàm, bằng cách sử dụng các khí cụ chỉnh nha chuyên dụng để tạo lực kéo tác động lên răng, giúp răng dịch chuyển dần dần về đúng vị trí mong muốn. Niềng răng giúp khắc phục các khuyết điểm như răng hô, móm, lệch lạc, chen chúc và góp phần cải thiện sức khỏe răng miệng.
Hiện nay, có nhiều phương pháp niềng răng khác nhau phù hợp với từng nhu cầu và tình trạng răng cụ thể như niềng răng mắc cài kim loại, niềng răng mắc cài sứ và niềng răng trong suốt. Mỗi phương pháp sẽ có những ưu điểm riêng về thẩm mỹ, hiệu quả và chi phí.
Thông thường, quá trình niềng răng kéo dài từ 1 – 2 năm, tuy nhiên với những trường hợp sai lệch khớp cắn nghiêm trọng thì thời gian niềng có thể lên đến 3 năm. Thời gian này còn phụ thuộc vào tay nghề của bác sĩ, tình trạng răng miệng ban đầu và phương pháp niềng răng mà bệnh nhân lựa chọn.
Tuy nhiên, bạn cần lưu ý niềng răng không phải là phương pháp phù hợp với tất cả mọi người. Trong một số trường hợp đặc biệt, người có vấn đề về răng miệng cần được thăm khám để xác định có thuộc nhóm những người không nên niềng răng hay không. Nếu vẫn cố tình thực hiện khi không đủ điều kiện sẽ làm kết quả điều trị không đạt như mong muốn và tiềm ẩn nguy cơ ảnh hưởng nghiêm trọng đến sức khỏe răng miệng.

Niềng răng là phương pháp điều trị nha khoa cải thiện vị trí và hình dáng của răng trên cung hàm.
2. Trường hợp những người không nên niềng răng
Mặc dù niềng răng là phương pháp cải thiện thẩm mỹ nụ cười và chức năng ăn nhai, nhưng không phải ai cũng có thể thực hiện phương pháp này. Những người không nên niềng răng bao gồm: Người mắc bệnh lý nha chu nặng, người có răng và xương hàm yếu, người mắc bệnh lý toàn thân, người đã bọc răng sứ hoặc trồng implant toàn hàm, người dị ứng với vật liệu chỉnh nha và phụ nữ đang mang thai.
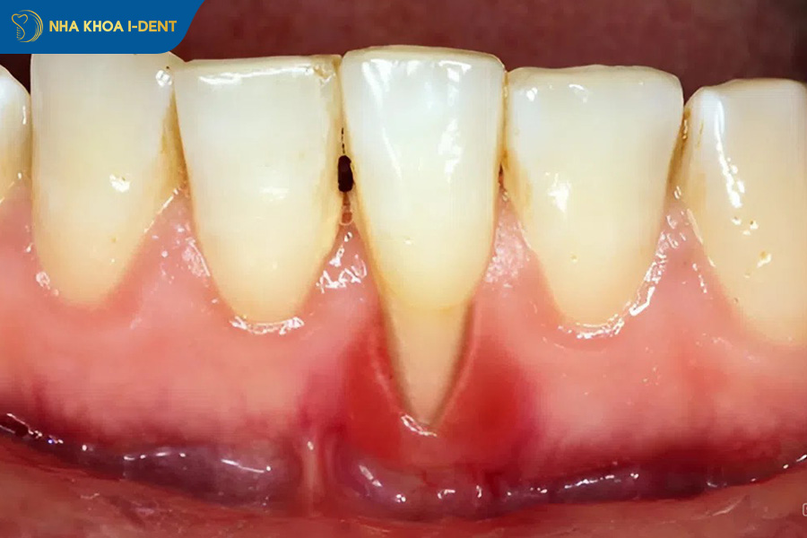
2.1. Người mắc bệnh lý nha chu nặng
Những người đang gặp các vấn đề nha chu như viêm nướu, viêm nha chu nặng, tụt nướu hay tiêu xương ổ răng không nên niềng răng ngay. Viêm nha chu xảy ra khi vi khuẩn tấn công vào nướu và gây sưng viêm. Lúc này, các tổ chức nâng đỡ răng như xương hàm, lợi, nướu và dây chằng quanh răng đều bị tổn thương, khiến răng trở nên suy yếu và không còn bám chắc trên cung hàm.
Trong khi đó, quá trình niềng răng cần sử dụng lực kéo liên tục để dịch chuyển răng về vị trí mong muốn. Lực kéo này có thể làm gia tăng cảm giác đau nhức, khiến răng lung lay nhiều hơn hoặc thậm chí tăng nguy cơ gãy vỡ hoặc mất răng.
Vì vậy, với những người mắc bệnh lý nha chu nặng, cần điều trị dứt điểm tình trạng viêm nhiễm trước khi niềng răng. Chỉ khi răng và các mô xung quanh khỏe mạnh, bám chắc vào xương hàm thì mới có thể chịu được lực tác động từ các khí cụ chỉnh nha và đảm bảo hiệu quả điều trị.

Người mắc bệnh lý nha chu nặng không nên niềng răng.
2.2. Người gặp vấn đề về xương hàm
Nếu gặp các vấn đề về xương hàm như kích thước không cân đối, xương hàm quá chật hoặc sai lệch cấu trúc thì sẽ rất khó để niềng răng. Trong những trường hợp này, bác sĩ thường sẽ chỉ định phẫu thuật chỉnh hình xương hàm trước, sau đó mới tiến hành niềng răng để đạt được hiệu quả tối ưu.
Bên cạnh đó, với những người có xương hàm yếu thì việc gắn mắc cài và lực siết trong quá trình chỉnh nha có thể tạo áp lực lớn lên cả răng và xương hàm. Dù răng có thể dịch chuyển, nhưng kết quả niềng răng cũng rất khó duy trì ổn định, nguy cơ răng bị xô lệch trở lại vị trí cũ dưới tác động của lực ăn nhai là rất cao.
Nếu không xử lý triệt để vấn đề xương hàm trước khi niềng thì niềng răng không chỉ không hiệu quả, mà còn ảnh hưởng làm cấu trúc xương hàm suy yếu hơn.

Người gặp vấn đề về xương hàm niềng sẽ làm cấu trúc xương suy yếu hơn.
2.3. Người mắc bệnh lý toàn thân
Những người mắc các bệnh lý toàn thân như loãng xương (hoặc đang sử dụng thuốc điều trị loãng xương), động kinh, rối loạn tâm thần, tiểu đường, tim mạch, ung thư máu,… được xếp vào nhóm những người không nên niềng răng. Nguyên nhân là do hệ miễn dịch của cơ thể ở những đối tượng này thường suy giảm, khả năng lành thương kém, dễ phát sinh viêm nhiễm trong suốt quá trình điều trị.
Ngoài ra, với các bệnh lý như tim mạch hoặc tâm thần, việc niềng răng có thể gây cảm giác căng thẳng, khó chịu ảnh hưởng đến tâm lý và có nguy cơ làm bệnh tái phát.
2.4. Người đã bọc răng sứ hoặc trồng implant toàn hàm
Đối với những người đã bọc răng sứ nhiều răng hoặc trồng implant toàn hàm thì không nên niềng răng. Trường hợp đã bọc răng sứ hoặc trồng implant toàn hàm thì trong quá trình thực hiện bác sĩ đã sắp xếp các răng đều nhau nên không cần thiết phải niềng răng nữa.
Ngoài ra, răng sứ có độ bám dính khí cụ kém hơn răng thật, còn trụ implant không có khả năng dịch chuyển như răng tự nhiên. Vì vậy, niềng răng trong những trường hợp này sẽ không mang lại hiệu quả cao, thậm chí có thể làm ảnh hưởng đến cấu nứt hoặc vỡ răng giả.

Người đã bọc răng sứ hoặc trồng implant toàn hàm không nên niềng răng.
2.5. Người dị ứng với vật liệu chỉnh nha
Một số người có cơ địa nhạy cảm, dị ứng với kim loại hoặc các vật liệu sử dụng trong khí cụ chỉnh nha có thể gây kích ứng niêm mạc miệng, viêm loét hoặc khó chịu kéo dài trong quá trình niềng. Với những trường hợp này, bác sĩ khuyến nghị không nên niềng răng hoặc xem xét phương án điều trị khác.

Dị ứng với vật liệu chỉnh nha thì không nên niềng.
2.6. Phụ nữ mang thai
Trong thời kỳ mang thai, cơ thể phụ nữ có nhiều thay đổi về nội tiết, đặc biệt là vùng nướu trở nên nhạy cảm và dễ viêm hơn. Bên cạnh đó, lực tác động trong quá trình chỉnh nha có thể khiến thai phụ cảm thấy mệt mỏi, khó chịu và ảnh hưởng đến thai nhi. Đồng thời, các chỉ định như chụp X-quang và một số can thiệp nha khoa cũng cần được hạn chế để đảm bảo an toàn cho bé.
Vì vậy, bác sĩ khuyến cáo phụ nữ mang thai không nên niềng răng trong giai đoạn này. Tốt nhất nên chờ đến sau khi sinh và sức khỏe đã ổn định hãy bắt đầu quá trình chỉnh nha để đảm bảo an toàn và đạt hiệu quả điều trị tối ưu.

Phụ nữ đang mang thai không nên niềng răng.
3. Những trường hợp nên niềng răng
Bác sĩ khuyến khích thực hiện chỉnh nha để cải thiện thẩm mỹ và ăn nhai với các trường hợp sau:
- Người gặp tình trạng răng mọc lệch, khấp khểnh, không thẳng hàng.
- Răng không đều gây khó khăn khi vệ sinh răng miệng và khó dùng chỉ nha khoa.
- Người bị sai lệch khớp cắn dễ cắn phải lưỡi hoặc má trong khi ăn uống và sinh hoạt.
- Hai hàm không khớp tự nhiên ở trạng thái nghỉ.
- Lực nhai phân bố không đều khiến cơ hàm phải hoạt động quá mức gây mỏi và căn hàm khi nhai.
- Khớp cắn hở, hai hàm không chạm nhau.
- Những sai lệch như răng móm, khớp cắn sâu hoặc cằm ngắn.
Trên đây là trường hợp những người không nên niềng răng, giúp bạn tránh được các rủi ro ảnh hưởng đến sức khỏe răng miệng và toàn thân. Nếu đang gặp các vấn đề như bệnh lý nha chu, xương hàm yếu hay bệnh lý toàn thân, bạn nên đến nha khoa uy tín để bác sĩ thăm khám kỹ trước khi quyết định niềng hay không. Tốt nhất, bạn hãy lựa chọn nha khoa uy tín có bác sĩ chuyên môn cao để được tư vấn chính xác và xây dựng phác đồ điều trị an toàn, hiệu quả.
CHUYÊN SÂU IMPLANT DÀNH CHO NGƯỜI VIỆT
- Cơ sở 1:19V Nguyễn Hữu Cảnh, P.19, Q.Bình Thạnh, TP.Hồ Chí Minh
- Cơ sở 2:193A-195 Hùng Vương, P.9, Quận 5, TP.Hồ Chí Minh
- Cơ sở 3:83 Đường số 3 Khu dân cư Cityland, P.10, Q.Gò Vấp, TP.Hồ Chí Minh