
9 Nhược Điểm Của Trồng Răng Implant

Cố vấn chuyên môn:TS.BS. Nguyễn Hiếu Tùng
- Giám đốc Nha khoa I-DENT
- 10 năm tu nghiệp tại Pháp - hơn 10.000 ca Implant thành công
Trồng răng implant là phương pháp phục hình răng hiện đại nhất hiện nay. Dù mang lại nhiều lợi ích về thẩm mỹ và khả năng ăn nhai nhưng implant cũng có những hạn chế như: Chi phí phí cao, thời gian điều trị lâu, không phù hợp với mọi đối tượng, yêu cầu cao về tay nghề bác sĩ và trang thiết bị,…Nắm rõ những nhược điểm của cấy ghép implant sẽ giúp bệnh nhân chuẩn bị tốt hơn trước khi quyết định thực hiện, đảm bảo an toàn và hiệu quả lâu dài.
1. 9 Nhược điểm của trồng răng implant
Trồng răng Implant dù là phương pháp phục hình tiên tiến nhưng vẫn có những hạn chế nhất định mà bệnh nhân cần nắm rõ để chuẩn bị tốt hơn về tâm lý, chi phí và có kế hoạch điều trị phù hợp.
1.1. Cần bác sĩ thực hiện có chuyên môn cao
Kỹ thuật cấy ghép Implant đòi hỏi bác sĩ phải có tay nghề vững, hiểu rõ cấu trúc xương hàm, vị trí dây thần kinh và mô mềm. Nếu thực hiện sai kỹ thuật, trụ Implant có thể bị đặt lệch, gây viêm nhiễm hoặc thậm chí tổn thương xương hàm. Do đó, bác sĩ thực hiện phải có đầy đủ bằng cấp và chứng chỉ hành nghề chuyên sâu về cấy ghép Implant, đồng thời sở hữu kinh nghiệm lâm sàng phong phú để có thể xử lý kịp thời mọi tình huống phát sinh trong quá trình phẫu thuật.

Cấy ghép Implant đòi hỏi bác sĩ có tay nghề cao.
1.2. Yêu cầu trang thiết bị hiện đại
Trồng răng Implant cần hệ thống máy móc hỗ trợ chính xác như máy chụp CT Cone Beam 3D, phần mềm định vị implant, thiết bị vô trùng và hệ thống CAD/CAM để chế tác răng sứ,… Nếu cơ sở nha khoa không đủ trang thiết bị thì quy trình cấy ghép dễ gặp rủi ro hoặc kết quả phục hình răng sẽ không như mong đợi.

Trang thiết bị tiên tiến giúp bác sĩ xác định chính xác vị trí cấy trụ implant.
1.3. Không phù hợp với trẻ dưới 16 tuổi
Trẻ em dưới 16 tuổi chưa nên trồng răng implant vì xương hàm vẫn đang trong giai đoạn phát triển nên cấy trụ Implant quá sớm có nguy cơ bị vùi implant. Ngoài ra, xương hàm đang trong giai đoạn phát triển và có mật độ xương thấp nên trụ implant khi gắn vào thời điểm này khó đảm bảo được ổn định và vững chắc
Ngoài ra, mô mềm, nướu và xương của trẻ còn rất nhạy cảm nên dễ bị nhiễm trùng và lâu lành thương hơn. Do đó, với trường hợp mất răng ở độ tuổi này, bác sĩ khuyến nghị chờ đến khi xương hàm phát triển ổn định mới có thể cấy implant.
1.4. Chi phí cao
Chi phí trồng răng Implant hiện nay khá cao so với mức thu nhập bình quân của nước ta hiện nay, dao động từ 13.000.000 – 35.000.000 VNĐ/trụ. Nguyên nhân là do phương pháp này sử dụng kỹ thuật tiên tiến, vật liệu titanium cao cấp và các thủ thuật ghép xương, nâng xoang, thẩm mỹ đi kèm nếu có nên tổng chi phí điều trị cao hơn so với các phương pháp truyền thống khác.
1.5. Thời gian điều trị kéo dài
Thời gian điều trị và trồng răng Implant kéo dài có thể mất từ 3 – 6 tháng. Vì trồng răng Implant là quá trình gồm nhiều giai đoạn và cần thời gian để xương hàm tích hợp hoàn toàn với trụ titanium. So với các phương pháp khác thì implant mất nhiều thời gian hơn, cần nhiều lần hẹn tái khám và theo dõi sát sao.
1.6. Không phù hợp với tất cả mọi người
Cấy ghép Implant không phải là phương pháp phù hợp với tất cả mọi người bởi quy trình điều trị phức tạp và có thể cần thực hiện thêm các kỹ thuật bổ sung như ghép xương hoặc nâng xoang. Bên cạnh đó, phương pháp này chống chỉ định với những người mắc bệnh mãn tính hoặc sức khỏe không ổn định như tiểu đường không kiểm soát, tim mạch, huyết áp cao, ung thư di căn hoặc người có vấn đề về khả năng đông máu.

Trồng răng implant không phù hợp với tất cả mọi người.
1.7. Dễ mắc thức ăn hơn răng thật
Sau khi trồng răng implant có thể nhận thấy răng dễ bị mắc thức ăn nhiều hơn răng thật và làm tăng nguy cơ bị mảng bám, sâu răng. Người bệnh cần chú ý vệ sinh răng miệng để khắc phục tình trạng này bằng cách sử dụng chỉ nha nha khoa, tăm nước và duy trì vệ sinh răng miệng đúng cách bằng bàn chải mềm và nước súc miệng, việc bị mắc thức ăn vào răng sẽ được giải quyết.

Răng implant cần được vệ sinh kỹ để tránh mắc thức ăn và viêm nướu.
1.8. Tuổi thọ răng phụ thuộc vào uy tín nha khoa trồng
Tuổi thọ răng implant có thể kéo dài từ 25 năm đến trọn đời nếu được thực hiện đúng kỹ thuật và chăm sóc đúng cách. Tuy nhiên, tuổi thọ răng implant có thể giảm do nhiều yếu tố như bác sĩ thiếu kinh nghiệm, vật liệu không đảm bảo chất lượng, trang thiết bị không đảm bảo hoặc chế độ chăm sóc sau điều trị dẫn đến răng. Bên cạnh đó, có thể kể đến một số lỗi làm rụng răng implant như lỏng vít, mẻ răng sứ phía trên. Khi gặp các vấn đề trên bạn nên tìm đến đơn vị nha khoa uy tín và nhờ bác sĩ can thiệp kịp thời.
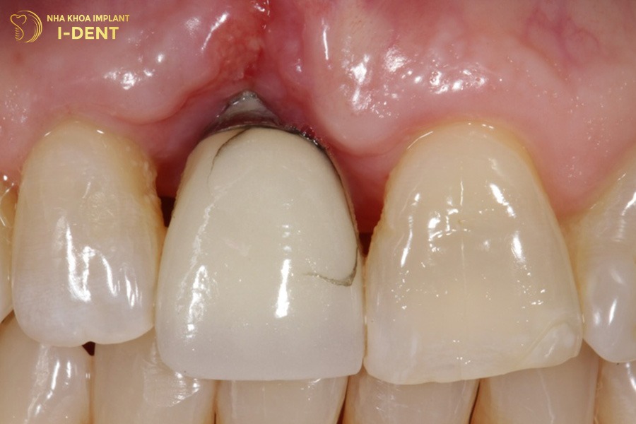
1.9. Có thể gặp biến chứng nếu không chăm sóc đúng cách
Sau khi trồng implant, nếu bệnh nhân không giữ vệ sinh răng miệng hoặc không tái khám định kỳ có thể gặp biến chứng như viêm nhiễm, sưng tấy quanh trụ implant, đau nhức, lung lay hoặc đào thải implant. Vì vậy, để duy trì kết quả phục hình bền lâu, bệnh nhân nên tuân thủ hướng dẫn chăm sóc sau điều trị của bác sĩ.

Không chăm sóc đúng cách sau cấy ghép có thể gây viêm quanh trụ.
2. Ưu điểm của trồng răng implant
Răng Implant được xem là giải pháp phục hình răng hiện đại và toàn diện nhất hiện nay, có khả năng thay thế răng đã mất gần như hoàn hảo. Mỗi chiếc răng Implant gồm 3 bộ phận chính:
- Trụ Implant: đóng vai trò như chân răng được cấy trực tiếp vào xương hàm.
- Khớp nối Abutment: liên kết giữa trụ Implant và mão sứ.
- Mão răng sứ: phần răng giả bên trên, đảm nhận chức năng ăn nhai và thẩm mỹ.
Sau khoảng 2-6 tháng, trụ Implant tích hợp chắc chắn với xương hàm, bác sĩ sẽ gắn mão sứ lên trên để hoàn thiện quá trình phục hình. Phương pháp này có thể áp dụng cho hầu hết các trường hợp mất răng, bao gồm: Mất một răng đơn lẻ (răng cửa, răng nanh hoặc răng hàm); Mất nhiều răng liền kề hoặc răng ở nhiều vị trí khác nhau; Mất toàn bộ răng hàm trên hoặc hàm dưới.
Một số ưu điểm của việc trồng răng Implant có thể kể đến như:
2.1. Ngăn ngừa và hạn chế tiêu xương hàm do mất răng
Một trong những ưu điểm nổi bật nhất của Implant là khả năng ngăn ngừa và hạn chế tối đa tình trạng tiêu xương hàm sau khi mất răng. Khi răng bị mất lâu ngày, phần xương hàm không còn được kích thích sẽ bị tiêu dần, dẫn đến tụt lợi, xô lệch răng, thay đổi khớp cắn và khuôn mặt bị lão hóa sớm. Khi đó, trụ implant được cấy vào xương hàm hoạt động như chân răng thật để duy trì mật độ xương và giúp xương không bị tiêu biến.

Trồng răng implant ngăn ngừa tiêu xương hàm.
2.2. Bảo tồn tối đa răng thật
Khác với phương pháp làm cầu răng sứ cần mài nhỏ hai răng bên cạnh để làm trụ nâng đỡ hay răng giả tháo lắp phải sử dụng các móc gắn vào các răng bên cạnh thì răng implant được cấy độc lập tại vị trí răng mất nên hoàn toàn không ảnh hưởng đến các răng thật kế cận, giúp răng thật được bảo tồn nguyên vẹn
2.3. Vật liệu lành tính và có tuổi thọ cao
Trụ implant chính hãng được làm từ chất liệu titanium 100% có độ tương thích sinh học cao, an toàn, lành tính, không gây kích ứng hay dị ứng cho cơ thể. Sau khi tích hợp với xương, implant hoạt động ổn định như chân răng thật, nếu chăm sóc đúng hướng dẫn có thể tồn tại trọn đời mà không cần thay thế.
2.4. Phục hồi khả năng ăn nhai và thẩm mỹ tự nhiên
Do trụ Implant được gắn chắc chắn vào xương hàm nên răng có khả năng chịu lực tốt và ăn nhai ổn định như răng thật. Bệnh nhân có thể thoải mái ăn uống các món ăn cứng, dai mà không lo lỏng hay rơi rớt.
Về thẩm mỹ, mão sứ được thiết kế theo màu sắc và hình dáng tương đồng với răng thật tạo nên hàm răng đều, đẹp và tự nhiên. Đồng thời, trồng răng implant cũng sẽ giúp bệnh nhân phát âm rõ ràng, không bị nói ngọng hoặc sai giọng như khi bị mất răng.

Trồng răng Implant giúp lấy lại nụ cười tự tin.
3. Điều kiện trồng răng implant an toàn
Trước khi quyết định trồng răng implant, bệnh nhân cần tiến hành kiểm tra tổng quát để đánh giá tình trạng sức khỏe răng miệng và toàn thân. Bác sĩ sẽ dựa trên kết quả thăm khám, chụp X-quang, xét nghiệm,… để xác định mật độ xương hàm, tình trạng nướu, phát hiện các bệnh lý tiềm ẩn và tư vấn phương án điều trị phù hợp.
Bệnh nhân nên lựa chọn nha khoa uy tín với đội ngũ bác sĩ có chuyên môn cao và giàu kinh nghiệm để đảm bảo ca cấy ghép an toàn và thành công.
- Bác sĩ chuyên môn cao: Được đào tạo bài bản có chứng chỉ cấy ghép implant và nhiều năm kinh nghiệm lâm sàng, đảm bảo quá trình điều trị an toàn và hiệu quả.
- Cơ sở vật chất vô trùng: Phòng phẫu thuật hiện đại, quy trình khử khuẩn khép kín giúp hạn chế nhiễm trùng và biến chứng sau cấy ghép.
- Trang thiết bị tiên tiến: Ứng dụng công nghệ hiện đại như X-quang 3D CT Cone Beam, phần mềm mô phỏng 3D, máy đặt trụ kỹ thuật số và Laser thế hệ mới để rút ngắn thời gian và giảm đau.
- Vật liệu Implant chính hãng: Sử dụng trụ và mão sứ nhập khẩu từ các thương hiệu uy tín, đảm bảo độ bền, tính tương thích sinh học và thẩm mỹ cao.
- Chính sách bảo hành rõ ràng: Bệnh nhân được theo dõi định kỳ, chăm sóc hậu phẫu chu đáo và bảo hành lâu dài sau khi trồng răng Implant.

Nha khoa I-Dent với đội ngũ bác sĩ hàng đầu và công nghệ hiện đại.
Nha khoa I-Dent là một trong những hệ thống nha khoa hàng đầu tại Việt Nam với hơn 10 năm kinh nghiệm hoạt động trong lĩnh vực cấy ghép răng implant và phục hình thẩm mỹ răng miệng. I-Dent tự hào là nơi quy tụ đội ngũ bác sĩ chuyên khoa sâu về implant được đào tạo bài bản trong và ngoài nước, đặc biệt có nhiều năm kinh nghiệm thực hiện thành công hàng nghìn ca cấy ghép từ đơn giản đến phức tạp.
Ngoài ra, I-Dent còn đầu tư vào hệ thống máy móc và công nghệ hiện đại, nổi bật như máy chụp X-quang 3D CT Conebeam, phần mềm mô phỏng cấy ghép Implant 3D, máy đặt trụ kỹ thuật số và công nghệ phẫu thuật không đau bằng Laser thế hệ mới. Những trang thiết bị này giúp bác sĩ xác định chính xác cấu trúc xương hàm, hỗ trợ quá trình cấy ghép diễn ra an toàn, chính xác và rút ngắn thời gian điều trị cho bệnh nhân.
Tóm lại, trồng răng implant là giải pháp phục hình răng mất mang lại hiệu quả cao về thẩm mỹ lẫn chức năng ăn nhai nhưng vẫn tồn tại một số nhược điểm nhất định như chi phí cao, thời gian điều trị dài và yêu cầu cao về tay nghề bác sĩ. Tuy vậy, nếu được thực hiện tại nha khoa uy tín với bác sĩ giàu kinh nghiệm và trang thiết bị hiện đại thì những hạn chế này hoàn toàn có thể được khắc phục.
CHUYÊN SÂU IMPLANT DÀNH CHO NGƯỜI VIỆT
- Cơ sở 1:19V Nguyễn Hữu Cảnh, P.19, Q.Bình Thạnh, TP.Hồ Chí Minh
- Cơ sở 2:193A-195 Hùng Vương, P.9, Quận 5, TP.Hồ Chí Minh
- Cơ sở 3:83 Đường số 3 Khu dân cư Cityland, P.10, Q.Gò Vấp, TP.Hồ Chí Minh