
Niềng Răng Bị Viêm Lợi: Nguyên Nhân Và Cách Điều Trị

Cố vấn chuyên môn:TS.BS. Nguyễn Hiếu Tùng
- Giám đốc Nha khoa I-DENT
- 10 năm tu nghiệp tại Pháp - hơn 10.000 ca Implant thành công
Trong quá trình niềng răng, bệnh nhân thường dễ mắc phải nhiều bệnh lý nha khoa. Một trong số đó là vấn đề sưng lợi, viêm lợi gây đau nhức, khó chịu. Vậy tình trạng này là do đâu, giải pháp khắc phục như thế nào? Cùng theo dõi bài viết sau để biết đáp án nhé!
1. Tại sao niềng răng bị sưng lợi, viêm lợi?
Niềng răng bị sưng lợi, viêm lợi là tình trạng khá phổ biến, ban đầu có thể không gây ảnh hưởng gì nhưng nếu bệnh tiến triển nặng sẽ gây ra biến chứng nguy hiểm. Tình trạng này thường xảy ra do những nguyên nhân dưới đây:
- Chăm sóc răng sai cách
Trong quá trình niềng răng phải mang mắc cài, dây cung, thun… làm thức ăn dễ bị mắc lại và cản trở việc vệ sinh răng. Vì vậy, khi các vụn thức ăn không được làm sạch sẽ tạo thành mảng bám, môi trường thuận lợi cho vi khuẩn phát triển gây các bệnh lý răng miệng, trong đó có viêm lợi.

Mảng bám dễ tích tụ và hình thành khi niềng răng
Đánh răng sai cách cũng là một nguyên nhân dễ làm tổn thương lợi. Khi đánh răng với lực quá mạnh hoặc dùng bàn chải quá cứng dễ làm trầy xước và chảy máu lợi. Lúc này vi khuẩn sẽ dễ dàng xâm nhập, gây viêm lợi.
- Chế độ ăn uống không khoa học
Trong thời gian niềng răng, có thể do đau nhức khi siết răng hoặc khó chịu do phải đeo các khí cụ làm bạn chán ăn hơn bình thường. Việc ăn uống không đảm bảo được dinh dưỡng, thiếu vitamin C, canxi là nguyên nhân chính dẫn đến viêm lợi khi niềng răng.
- Niềng răng sai kỹ thuật
Không phải bác sĩ nào cũng đủ trình độ, kinh nghiệm để niềng răng. Nếu gặp phải bác sĩ tay nghề kém, làm việc không cẩn thận hoặc siết răng quá mạnh sẽ gây ra tình trạng viêm lợi khi niềng răng. Đồng thời, dẫn đến các tác hại của niềng răng nguy hiểm hơn như tiêu xương, bật chân răng, thậm chí mất răng.

Bác sĩ niềng răng tay nghề kém dẫn tới tình trạng viêm lợi, đau nhức
2. Niềng răng bị sưng lợi, viêm lợi có sao không?
Niềng răng bị sưng lợi, viêm lợi nếu không sớm có biện pháp khắc phục kịp thời sẽ khiến bệnh nhân đối mặt với nhiều ảnh hưởng nguy hại như:
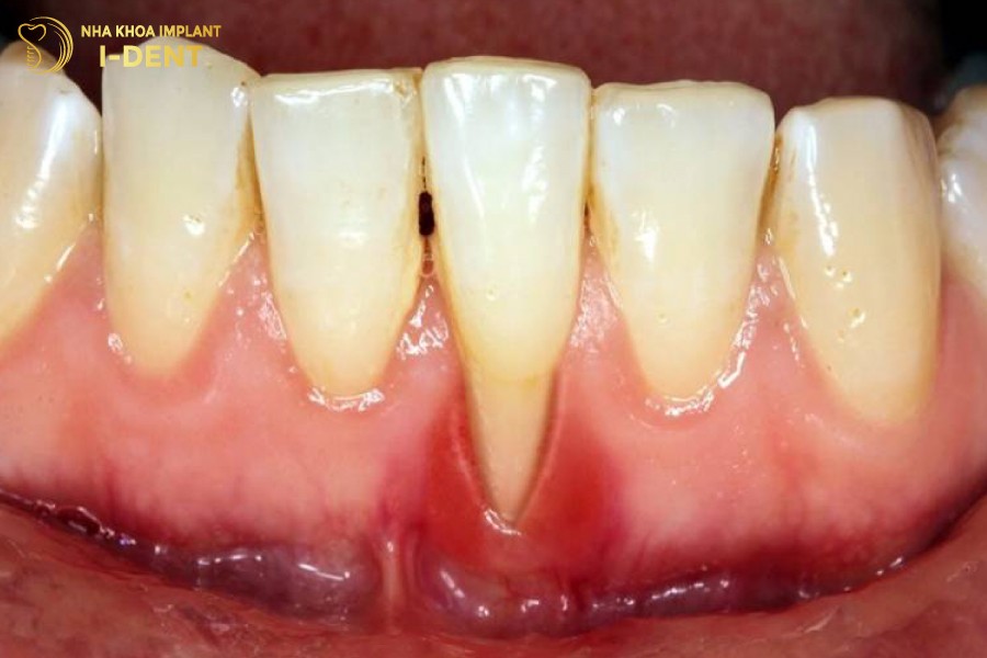
- Viêm lợi lâu ngày sẽ phát triển thành viêm nha chu vô cùng nguy hiểm. Khiến cho cấu trúc răng hư hỏng nghiêm trọng, tụt lợi khi niềng răng.
- Tình trạng này còn có nguy cơ cao gây biến chứng tiêu xương hàm, khiến răng yếu dần, răng lung lay khi niềng và gãy rụng bất cứ lúc nào. Kết quả niềng răng thất bại và phải mất nhiều thời gian, chi phí để khắc phục biến chứng.
- Răng đau nhức, sưng viêm khiến cho việc ăn uống khó khăn, nhất là khi ăn uống các món nóng, lạnh răng sẽ trở nên nhạy cảm vô cùng. Ăn uống không ngon miệng, khiến cho cơ thể dễ mệt mỏi, tinh thần giảm sút.
- Vi khuẩn ngày càng sản sinh mạnh khiến cho mùi hôi miệng trở nên nặng hơn. Điều này cản trở rất lớn đến hoạt động giao tiếp hằng ngày, bệnh nhân trở nên e dè, tự ti khi cười nói với mọi người.

Viêm lợi tiến triển thành viêm nha chu làm răng lung lay, dễ gãy rụng
3. Cách trị viêm lợi, sưng lợi khi niềng răng
Khi gặp phải tình trạng niềng răng bị sưng lợi, viêm lợi bệnh nhân nên nhanh chóng đến nha khoa để được bác sĩ thăm khám và đưa ra phương án điều trị kịp thời. Đồng thời, việc chữa trị sớm viêm lợi sẽ tránh làm ảnh hưởng đến quá trình niềng răng.
Ở trường hợp viêm lợi nhẹ, bác sĩ sẽ tiến hành làm sạch các mảng bám trên bề mặt răng, đường viền nướu giúp loại bỏ vi khuẩn gây bệnh. Tùy thuộc mức độ viêm mà bác sĩ có thể chỉ định dùng thêm thuốc kháng viêm để điều trị dứt điểm viêm lợi.

Cạo vôi răng, làm sạch mảng bám vi khuẩn là cách chữa viêm lợi khi niềng răng
Với tình trạng viêm lợi nặng, đã bị tụt lợi lộ chân răng sẽ cần phải tiến hành ghép mô nướu để đảm bảo thẩm mỹ. Lúc này, bác sĩ cần tiến hành điều chỉnh, xem xét giảm lực siết răng để điều trị dứt điểm bệnh. Khi sức khỏe răng miệng đảm bảo, mới có thể tiếp tục tiến hành siết và niềng răng. Bởi nếu tiếp tục siết răng trong quá trình này rất dễ gây ra biến chứng rụng răng do phần lợi không còn ôm vào răng.
Vì vậy, ngay từ ban đầu mới niềng răng bạn cần lưu ý đảm bảo dinh dưỡng và vệ sinh răng sạch sẽ hạn chế tối đa tình trạng niềng răng bị sưng lợi. Đồng thời, lựa chọn nha khoa niềng răng uy tín, với bác sĩ giỏi sẽ giúp giảm thiểu được nhiều rủi ro trong quy trình niềng răng và điều trị viêm lợi.

Nên lựa chọn nha khoa uy tín để niềng răng, hạn chế biến chứng viêm lợi
Niềng răng bị sưng lợi, viêm lợi là một hiện tượng khá phổ biến nhưng hoàn toàn có thể khắc phục được bằng cách điều trị tại nha khoa, bởi các bác sĩ giàu kinh nghiệm kết hợp với chăm sóc răng miệng kỹ lưỡng và có chế độ ăn uống khoa học.
CHUYÊN SÂU IMPLANT DÀNH CHO NGƯỜI VIỆT
- Cơ sở 1:19V Nguyễn Hữu Cảnh, P.19, Q.Bình Thạnh, TP.Hồ Chí Minh
- Cơ sở 2:193A-195 Hùng Vương, P.9, Quận 5, TP.Hồ Chí Minh
- Cơ sở 3:83 Đường số 3 Khu dân cư Cityland, P.10, Q.Gò Vấp, TP.Hồ Chí Minh