
Răng Sứ Ceramco Là Gì? Của Nước Nào? Giá Bao Nhiêu?

Cố vấn chuyên môn:TS.BS. Nguyễn Hiếu Tùng
- Giám đốc Nha khoa I-DENT
- 10 năm tu nghiệp tại Pháp - hơn 10.000 ca Implant thành công
Dù là răng sứ kim loại, nhưng Ceramco vẫn đáp ứng được các yêu cầu cải thiện khuyết điểm của răng. Tuy nhiên, theo các bác sĩ thì chưa thể đánh giá răng sứ Ceramco là tốt nhất, bởi vẫn còn nhiều hạn chế. Trong bài viết sau đây sẽ chỉ ra những ưu và nhược điểm của răng sứ Ceramco.
1. Răng toàn sứ Ceramco là gì? Của nước nào?

Răng sứ Ceramco
Răng sứ Ceramco thuộc dòng răng sứ kim loại. Vì có cấu tạo bởi 2 lớp. Lớp bên trong được tạo ra bởi hợp kim Ni-Cr hoặc CR-Co. Lớp bên ngoài thì phủ bởi một lớp sứ Ceramco để giúp răng có màu sắc trắng sáng tự nhiên như răng thật.
Răng sứ Ceramco có xuất xứ từ Mỹ. Chính vì thế dòng răng sứ này sở hữu được công nghệ chế tác Mỹ nên dù là răng sứ kim loại, vẫn đảm bảo được tính thẩm mỹ nhất định. Đồng thời độ bền có thể sử dụng đến 5 năm hoặc hơn nếu có chế độ chăm sóc răng tốt.
2. Răng sứ Ceramco có tốt không?
Để biết răng sứ Ceramco có tốt không hãy xét về ưu và nhược điểm của dòng răng sứ này.
– Ưu điểm:
- Chất liệu sứ lành tính, an toàn
Răng sứ Ceramco có phần lõi bên trong là kim loại cao cấp, bên ngoài được phủ thêm một lớp sứ lành tính. Cả 2 đều được kiểm duyệt và đảm bảo an toàn với cơ thể.
- Răng bền chắc, ăn nhai tốt
Răng sứ Ceramco có độ bền cao và có khả năng chịu lực tương đối tốt. Khách hàng sau khi bọc sứ Ceramco có thể ăn nhai thoải mái mà không cần lo về các vấn đề như: Nứt, mẻ răng sứ,…
- Chi phí tiết kiệm
Vì là răng sứ kim loại nên Ceramco có mức giá khá rẻ. Đây là một trong những dòng răng sứ giúp khách hàng tiết kiệm được chi phí tốt nhất.

Răng sứ Ceramco lành tính, an toàn với cơ thể
– Nhược điểm:
- Hạn chế về mặt thẩm mỹ
Nếu bạn dùng răng sứ Ceramco để bọc cho những chiếc răng cửa thì đây chưa phải là sự lựa chọn hoàn hảo. Bởi răng sứ Ceramco chưa đáp ứng tốt về độ phản quang, độ trong, đường vân răng,…Hầu hết bác sĩ sẽ khuyến khích sử dụng răng toàn sứ để làm răng bọc sứ cho răng cửa.
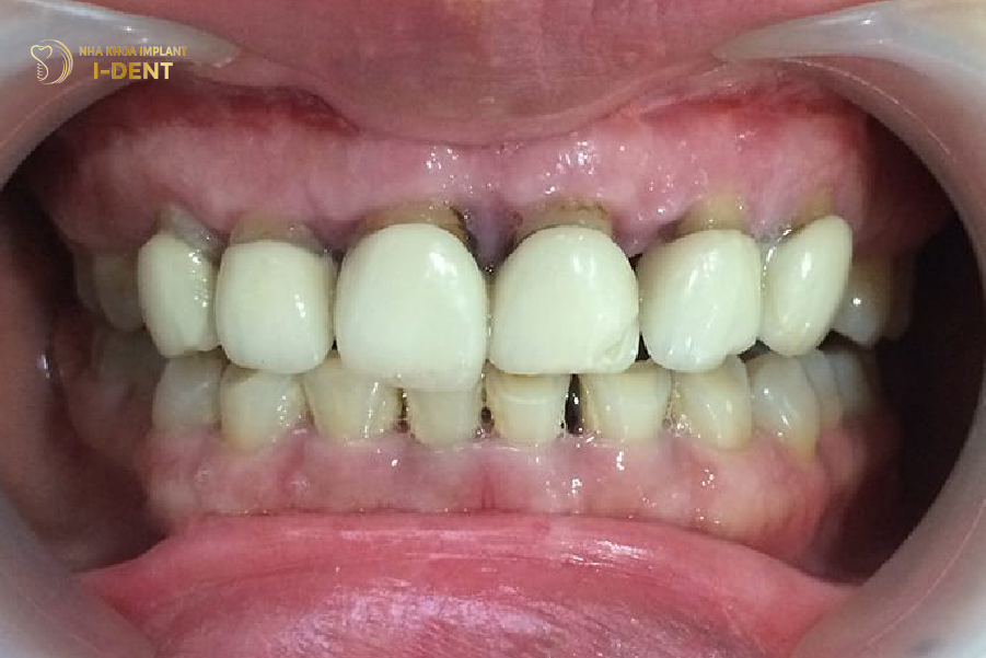
- Bị đen viền nướu
Do cấu tạo với lớp sườn bên trong bằng kim loại, nên sau một thời gian sử dụng, khoảng 3-4 năm, lớp sườn sẽ bị oxi hóa, gây ra tình trạng thâm đen viền nướu.

Răng sứ Ceramco gây đen viền nướu
- Tuổi thọ ngắn
Răng sứ Ceramco có tuổi thọ khá ngắn chỉ vài năm. Đây cũng chính là nhược điểm lớn của dòng răng sứ này.
Răng sứ Ceramco sẽ tốt nếu nhu cầu thẩm mỹ của bạn không quá cao. Ngược lại, thì đây chưa phải là loại răng sứ tốt nhất.
3. Răng sứ Ceramco giá bao nhiêu?
Mức giá bọc sứ Ceramco sẽ khác nhau tùy vào chế độ của từng nha khoa. Trung bình sẽ dao động từ 1 – 3 triệu đồng. Đây là mức giá thị trường, nếu rẻ hơn con số này bạn cần cẩn thận. Vì đó có thể chỉ là những chiêu trò quảng cáo. Khi thực hiện sẽ sử dụng răng sứ kém chất lượng cho khách hàng dẫn đến nhiều hệ lụy.
Ngoài ra, tại nhiều nha khoa cũng đã có chương trình bọc sứ trả góp 0% lãi suất, bạn có thể tham khảo để giảm bớt gánh nặng về chi phí.

Cẩn thận với những quảng cáo bọc sứ giá rẻ
| ✅Thông tin | ✅Chi tiết |
| ✔️Giá | ✔️ 1.000.000 VNĐ/răng -3.000.000 VNĐ/răng |
| ✔️Xuất xứ | ✔️Hàn Quốc |
| ✔️Bảo hành | ✔️5 năm |
| ✔️Tuổi thọ | ✔️<10 năm |
4. Những loại răng sứ cùng phân khúc tại nha khoa I-DENT
- Răng sứ kim loại Titan
Răng sứ Titan có xuất xứ từ Mỹ hoặc Đức. Răng sứ Titan có ưu điểm là lành tính với cơ thể, ít nhạy cảm với thức ăn nóng lạnh và có độ bền cao. Tại nha khoa I-DENT, răng sứ Titan được nhập khẩu trực tiếp từ Mỹ và có thẻ bảo hành chính hãng 5 năm.
Chi phí bọc răng sứ Titan có mức giá là 2.500.000 đồng/răng

Răng sứ Titan
- Răng sứ Zirconia
Răng sứ zirconia có xuất xứ từ Đức. Thuộc dòng răng toàn sứ, không chứa kim loại. Đây đang là phương pháp thẩm mỹ răng có nhiều ưu điểm vượt trội với tính thẩm mỹ cao. Ngoài ra, loại oxit của kim loại zirconia có khả năng chống đứt gãy cao, vì thế, răng sứ zirconia còn có khả năng chịu nhiệt tốt và chống ma sát hiệu quả.
Chi phí bọc răng sứ Zirconia là 4.500.000 đồng/ răng
- Răng sứ Chrome Cobalt
Răng sứ Chrome Cobalt có xuất xứ từ Mỹ. Thuộc dòng răng sứ kim loại, với thành phần cấu tạo chính là từ hợp kim Chromium và Cobalt không chứa Niken. Lớp sườn bên trong được làm bằng hợp kim Co-Cr, có thể được phủ một lớp sứ trắng sáng ra bên ngoài hoặc không.
Chi phí bọc răng sứ Chrome Cobalt là 3.500.000 đồng/ răng.

Hình ảnh răng sứ Chrome Cobalt
CHUYÊN SÂU IMPLANT DÀNH CHO NGƯỜI VIỆT
- Cơ sở 1:19V Nguyễn Hữu Cảnh, P.19, Q.Bình Thạnh, TP.Hồ Chí Minh
- Cơ sở 2:193A-195 Hùng Vương, P.9, Quận 5, TP.Hồ Chí Minh
- Cơ sở 3:83 Đường số 3 Khu dân cư Cityland, P.10, Q.Gò Vấp, TP.Hồ Chí Minh