
Review Về Bác Sĩ Cấy Implant Hoàng Nguyễn Đình Tín Nha Khoa I-Dent

Cố vấn chuyên môn:TS.BS. Nguyễn Hiếu Tùng
- Giám đốc Nha khoa I-DENT
- 10 năm tu nghiệp tại Pháp - hơn 10.000 ca Implant thành công
Bác sĩ CKI Hoàng Nguyễn Đình Tín, chuyên gia cấy ghép Implant tại nha khoa I-Dent, với hơn 10 năm kinh nghiệm trong lĩnh vực cấy ghép nha khoa, đã thực hiện thành công hơn 5.000 ca Implant, bao gồm cả những trường hợp khó như mất nhiều răng, mất răng toàn hàm, tiêu xương nhiều,…
1. Đơn vị công tác của Bác sĩ CKI Hoàng Nguyễn Đình Tín
Bác sĩ CKI Hoàng Nguyễn Đình Tín hiện đang công tác tại nha khoa I-Dent với vị trí Trưởng khoa cấy ghép Implant – chi nhánh nha khoa I-Dent Gò Vấp. Phụ trách chuyên môn về :
- Cấy ghép xương nhân tạo.
- Cấy ghép Implant.
- Phục hình răng sứ trên Implant và răng sứ thẩm mỹ/dán sứ Veneer.
Với hơn 10 năm kinh nghiệm và được đào tạo chuyên sâu tại Đại học Y Dược TP.HCM cùng các khóa tu nghiệp tại Châu Âu, bác sĩ Tín đã không ngừng cập nhật kiến thức chuyên môn và áp dụng những tiến bộ y học hiện đại trong quá trình khám và điều trị cho bệnh nhân, mang đến nụ cười hạnh phúc và khôi phục chức năng ăn nhai trọn vẹn cho hơn 5.000 bệnh nhân.
2. Các thành tựu nổi bật của Bác sĩ CKI Hoàng Nguyễn Đình Tín
- Tốt nghiệp Đại học Y Dược TP.HCM.
- Bác sĩ chuyên khoa thực hành Bệnh viện Răng Hàm Mặt Trung Ương.
- Chứng chỉ chuyên sâu của ĐH Harvard về cấy ghép Implant toàn hàm All-on-X và GBR.
- Chuyên sâu cấy ghép nha khoa tại khoa Implant Bệnh viện Răng Hàm Mặt Trung Ương.
- Chứng chỉ cấy ghép nha khoa Bệnh viện Răng Hàm Mặt Trung Ương.
- Chứng chỉ nội nha: tái tạo và bảo tồn.
- Khóa học cấy ghép Implant xâm lấn tối thiểu.
- Khóa học “The art of preparation”.
- Chứng nhận tham gia cập nhật kiến thức y khoa liên tục trong khám bệnh, chữa bệnh.
- Khóa học kỹ thuật nâng cao về quản lý mô mềm xung quanh Implant tại Zucchelli Institute, Ý
3. Các ca cấy ghép implant khó được Bác sĩ Đình Tín thực hiện
- Cấy ghép Implant toàn hàm All-on-4 cho trường hợp viêm nha chu nặng do từng mang hàm tháo lắp.
- Phẫu thuật cấy ghép Implant cho trường hợp bệnh nhân có tiền sử bệnh tiểu đường, huyết áp.
- Phẫu thuật ghép xương lớn cho trường hợp mất răng lâu năm gây tiêu xương nặng.
4. Những đánh giá tích cực của bệnh nhân về Bác sĩ Hoàng Nguyễn Đình Tín
4.1 Bệnh nhân Nguyễn Hải – Cấy ghép Implant All-on-4 cho 2 hàm
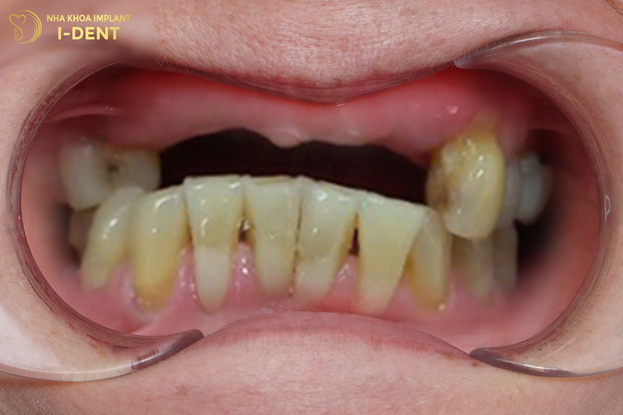
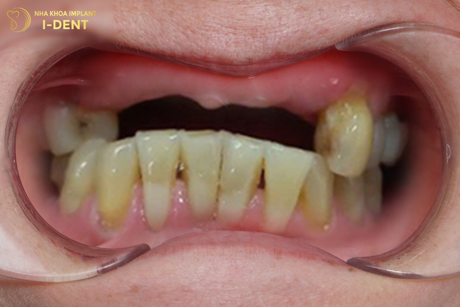
Vì chủ quan trong việc chăm sóc răng miệng, thêm thói quen hút thuốc khiến chú Nguyễn Hải mắc bệnh lý viêm nha chu nặng. Lâu ngày gây tiêu xương và làm lung lay, gãy rụng răng gần hết cả 2 hàm.

Tình trạng răng ban đầu của chú Nguyễn Hải
Với tình trạng này, bác sĩ Tín đã tiến hành điều trị nha chu và nhổ các răng lung lay để ngăn ổ nhiễm trùng lan rộng trước. Sau đó chỉ định phương án cấy ghép Implant All-on-4 cho cả hai hàm, đặt 4 trụ Implant cho 1 hàm và phục hình 12 răng sứ lên trên, nhằm đảm bảo thẩm mỹ cũng như chức năng ăn nhai chắc chắn cho chú.
Sau khi có răng mới, chú Hải không còn phải chịu đựng tình trạng đau nhức răng và khó ăn nhai, sức khỏe của Chú cũng được cải thiện hơn rất nhiều.

Tình trạng răng sau khi cấy ghép implant All on 4 cho 2 hàm của chú Nguyễn Hải
“Một trong những lý do Chú chọn I-Dent là vì gặp được bác sĩ Tín tư vấn nhiệt tình, tỉ mỉ và tận tâm. Thấy chú lo lắng thì luôn động viên. Cảm ơn bác sĩ Tín rất nhiều” – Phản hồi của chú Hải sau khi được bác sĩ Tín điều trị.

Chú Nguyễn Hải cùng bác sĩ Tín

Hình ảnh trước và sau khi điều trị của chú Hải
Video chia sẻ của chú Nguyễn Hải
4.2 Bệnh nhân Huỳnh Kim Liên – Trồng răng implant toàn hàm trên All-on-4
Giống như nhiều cô chú lớn tuổi khác, cô Kim Liên bị mất nhiều răng, lâu ngày gây tiêu xương hàm. Khiến cho khả năng ăn nhai của cô trở nên rất kém, làm cô gặp nhiều vấn đề về tiêu hóa và sức khỏe cũng suy yếu dần từ đó. Ở tuổi 70, cô Liên muốn phục hình một hàm răng mới có thể giúp cô ăn nhai ngon miệng hơn và cải thiện sức khỏe cho cô. Sau khi nhờ cháu tìm hiểu thông tin về các nha khoa kỹ càng, cô đã quyết định tin tưởng và đến với nha khoa I-Dent.

Tình trạng răng ban đầu của cô Kim Liên
Sau thăm khám, bác sĩ Đình Tín đã chỉ định cho cô phương pháp cấy ghép Implant All-on-4, sử dụng dòng trụ implant Straumann SLActive của Thụy Sĩ để giúp cô khôi phục lại toàn bộ răng mất ở hàm trên.
Sau điều trị, cô Kim Liên đã lấy lại khả năng ăn nhai cứng chắc, cùng với đó là răng sứ được phục hình có màu sắc tự nhiên, hài hòa với tổng thể khuôn mặt.

Tình trạng răng sau khi cấy ghép Implant của cô Kim Liên
“Cô cảm thấy rất là may mắn vì lựa chọn được I-Dent, bác sĩ Tín rất là tận tâm, hỏi thăm tình trạng và rất quan tâm đến cảm nhận của cô. Khi chuẩn bị phục hình sứ cho cô bác hỏi cô có bị hô bị móm gì không, gắn vào rồi bác cũng hỏi có cấn cộm hay khó chịu chỗ nào không, một tiếng cũng con hai tiếng cũng con, rất là nice với cô luôn. Sau khi có răng mới cô rất tự tin, mấy đứa cháu, mấy con cô khen và mừng vì đã lựa chọn I-Dent cho cô. I love Bác sĩ Tín, I love I-Dent.”

Cô Kim Liên cùng Bác sĩ Tín

Hình ảnh trước và sau khi điều trị của cô Liên
Video chia sẻ của cô Kim Liên
4.3 Bệnh nhân Dương Minh Đại – Cấy ghép 2 trụ Implant Mis C1 Đức
Anh Dương Minh Đại đến từ Lâm Đồng bị mất 2 răng hàm nhiều năm do bị viêm nha chu (răng chịu chức năng ăn nhai chính). Hơn nữa, anh Đại cũng có tiền sử bệnh cao huyết áp và bệnh tiểu đường, khiến cho việc điều trị phục hình răng khó khăn và phức tạp hơn những trường hợp thông thường.

Tình trạng răng ban đầu của anh Dương Minh Đại
Bác sĩ Đình Tín đã lên kế hoạch điều trị cấy ghép 2 trụ Implant tại vị trí mất răng R46 và R47 cho anh Đại. Bên cạnh đó, bác Tín đã tư vấn cho anh lựa chọn trụ implant Mis C1 Đức, đây là dòng trụ cao cấp nổi tiếng của Đức với công nghệ xử lý bề mặt tiên tiến, giúp tăng khả năng tích hợp xương và rút ngắn thời gian lành thương.

Tình trạng sau khi trồng 2 răng Implant của anh Đại
“Được biết bác sĩ Tín đã có nhiều năm kinh nghiệm trồng răng Implant cho nhiều ca thành công nên tôi rất tin tưởng ở Bác sĩ, ở nha khoa I-Dent. Bác sĩ Tín tư vấn kỹ lưỡng, nói chuyện rất thân thiện, 2 răng tôi làm chỉ trong tầm 15-20 phút. Đến thời điểm này, mọi thứ đều đáp ứng được kỳ vọng của tôi, chỉnh chu trong tất cả các khâu.” – Anh Đại dành những lời khen và cảm ơn đến Bác sĩ Tín.

Anh Dương Minh Đại và Bác sĩ Tín

Hình ảnh trước và sau khi điều trị của anh Minh Đại
4.4 Bệnh nhân Trương Văn Sự – Cấy ghép Implant All on 4 toàn hàm trên
Bệnh nhân gặp nhiều khó khăn trong sinh hoạt và cuộc sống vì mất nhiều răng, hàm trên của chú Sự chỉ còn vài cái răng và cũng bị lung lay nặng. Chưa kể đến tại vị trí răng mất lâu năm còn gặp tình trạng tiêu xương nặng, cùng với đó chú còn có tiền sử mắc bệnh tiểu đường.

Tình trạng răng ban đầu của chú Trương Văn Sự
Nhận định đây là một tình trạng bệnh khá phức tạp, bác sĩ Đình Tín đã thăm khám kỹ lưỡng và đưa ra kế hoạch điều trị chi tiết. Đầu tiên, bác sĩ Tín chỉ định nhổ các răng lung lay, phẫu thuật ghép xương lớn tại những vị trí tiêu xương, sau đó mới tiến hành cấy ghép Implant toàn hàm All-on-4 cho chú Sự. Cuối cùng là phục hình toàn hàm với răng sứ Chrom-Cobalt (Mỹ) trên Implant cho chú.
Kết thúc thời gian theo dõi và điều trị, bệnh nhân đã có thể ăn uống ngon miệng hơn trước và cũng nhờ đó mà sức khỏe cũng có bước cải tiến rõ rệt.

Hình ảnh răng chú Sự sau khi cấy ghép Implant All on 4 cho hàm trên
“Chú thấy rất là hài lòng với kết quả sau khi điều trị. Bác sĩ Tín là bác sĩ điều trị chính cho chú, chú thấy bác sĩ Tín đúng là bác sĩ có đôi bàn tay vàng. Đến hiện tại chú chưa thấy có chỗ nào để chê, từ máy móc đến tay nghề bác sĩ, cơ sở vật chất rất hiện đại, giống như một cái bệnh viện luôn vậy, rất là tuyệt vời” – Tại buổi nói chuyện, chú Sự đã dành nhiều lời khen có cánh cho bác sĩ Tín cũng như đội ngũ nha khoa I-Dent.

Chú Trương Văn Sự và Bác sĩ Tín

Hình ảnh trước và sau khi điều trị của chú Sự
Video chia sẻ của chú Trương Văn Sự
4.5 Bệnh nhân Dương Đức – Trồng 4 trụ Implant Tekka Pháp
Anh Dương Đức đến nha khoa I-Dent trong tình trạng mất 4 răng hàm vị trí R46 R47 R36 và R37 đã 10 năm. Đây là các răng chủ lực chịu trách nhiệm ăn nhai chính, chính vì đó mà từ khi mất răng việc ăn uống của anh gặp nhiều khó khăn, gây ảnh hưởng không nhỏ đến sức khỏe.

Tình trạng răng ban đầu của bệnh nhân Dương Đức
Sau khi thăm khám, bác sĩ Tín chỉ định cấy ghép 4 trụ Implant Tekka Global D (Pháp) để thay thế cho 4 răng hàm đã mất, kết hợp phục hình răng sứ Bio Esthetic (Đức) trên Implant cho anh Đức, giúp anh có răng mới ăn nhai bền chắc và cải thiện tình trạng sức khỏe.

Tình trạng răng sau khi cấy ghép Implant của anh Dương Đức
“Khi đến nha khoa anh ấn tượng ở đây là rất sạch sẽ, máy móc tối tân, đó là điều anh thấy rất thích. Anh làm trước rồi đến vợ anh làm. Cấy xong sau một ngày là ăn uống bình thường, không đau, không sưng gì hết. Bác sĩ Tín nói chuyện nhẹ nhàng, có những cái mình không biết bác sĩ Tín tư vấn kỹ lắm.
Ban đầu anh muốn làm hết cả hàm, nhưng bác sĩ Tín đánh giá các răng còn lại của anh vẫn còn rất tốt nên không khuyến khích anh làm. Nếu mà có bạn bè muốn làm răng anh rất sẵn lòng giới thiệu đến Bác sĩ Tín cũng như nha khoa I-Dent.” – Phản hồi của anh Dương Đức sau khi trồng răng.

Anh Dương Đức và Bác sĩ Tín

Hình ảnh trước và sau khi điều trị của anh Đức
Video chia sẻ của anh Dương Đức
CHUYÊN SÂU IMPLANT DÀNH CHO NGƯỜI VIỆT
- Cơ sở 1:19V Nguyễn Hữu Cảnh, P.19, Q.Bình Thạnh, TP.Hồ Chí Minh
- Cơ sở 2:193A-195 Hùng Vương, P.9, Quận 5, TP.Hồ Chí Minh
- Cơ sở 3:83 Đường số 3 Khu dân cư Cityland, P.10, Q.Gò Vấp, TP.Hồ Chí Minh