
Trám Răng Cửa Trong Những Trường Hợp Nào?

Cố vấn chuyên môn:TS.BS. Nguyễn Hiếu Tùng
- Giám đốc Nha khoa I-DENT
- 10 năm tu nghiệp tại Pháp - hơn 10.000 ca Implant thành công
1. Trường hợp nào cần trám răng cửa
Trám răng cửa thẩm mỹ giúp khắc phục những nhược điểm trên răng cũng như cải thiện chức năng ăn nhai. Dưới đây là một số trường hợp cần phải trám răng cửa, cụ thể như sau:
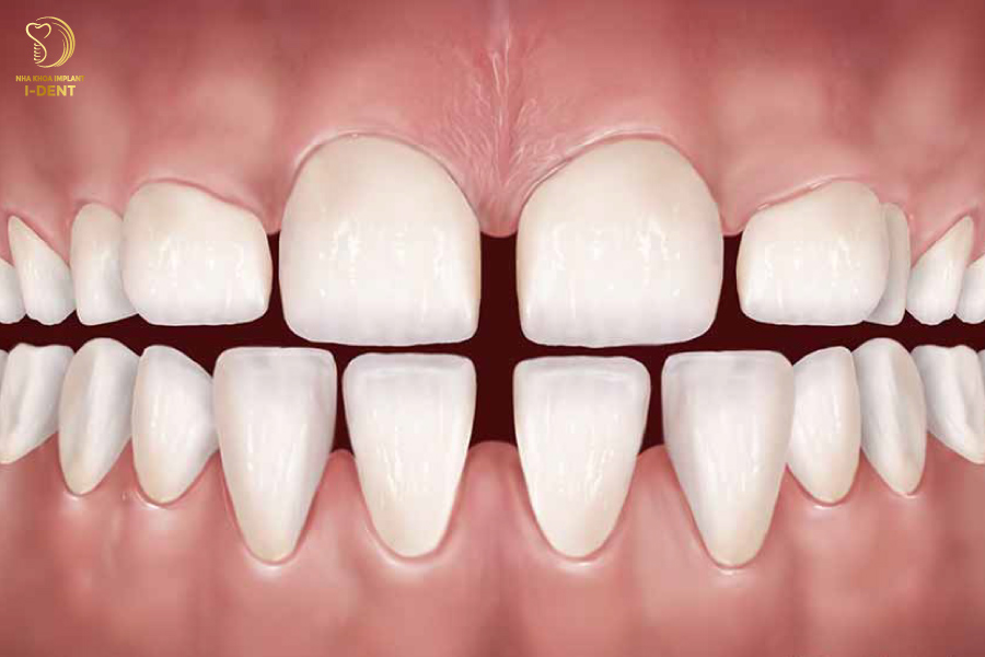
1.1 Răng cửa thưa ở mức độ nhẹ
Việc răng cửa bị thưa, nếu không khắc phục sớm thì thức ăn rất dễ mắc kẹt vào khe hở, từ đó gây sâu răng cũng như làm khuôn mặt mất thẩm mỹ rất nhiều. Vậy, răng cửa thưa có trám được không? Câu trả lời là hoàn toàn trám được. Với trường hợp răng cửa thưa nhẹ thì phương án trám răng cửa bằng Composite vừa nhanh chóng vừa có tính thẩm mỹ cao.

Răng cửa thưa ở mức độ nhẹ
1.2 Răng cửa bị sứt mẻ, gãy vỡ
Tuy răng được cho là bộ phận chắc khỏe của cơ thể người, nhưng trong một số trường hợp do: ăn nhai thức ăn quá cứng, chấn thương do tai nạn… vẫn có thể làm răng cửa bị gãy, vỡ hoặc nứt nhẹ.
Do vậy, để khôi phục lại hình dạng ban đầu cũng như hạn chế làm răng bị viêm nhiễm hoặc tổn thương nặng hơn, bạn nên đến nha khoa để trám răng cửa bị mẻ càng sớm càng tốt.

Răng cửa bị sứt mẻ, gãy vỡ
1.3 Răng cửa bị mòn men răng, mòn cổ răng
Răng bị mòn xảy ra do nhiều nguyên nhân khác nhau, bao gồm yếu tố bên trong và tác động bên ngoài, cụ thể như:
- Mắc phải các bệnh lý về răng miệng như: sâu răng, viêm nha chu, áp xe răng… khiến các ổ vi khuẩn tấn công vào men răng. hàn trám răng cửa thưa
- Axit từ thức ăn còn bám lại lâu ngày trên men răng, gây khô miệng và ăn mòn men răng.
- Nghiến răng là bệnh lý răng miệng thuộc về khớp cắn, về lâu dài sẽ làm mòn răng.
- Chải răng ngang và tác động lực quá mạnh trong thời gian dài sẽ gây mòn cổ răng và men răng.

Răng cửa bị mòn men răng, mòn cổ răng
Để phục hồi men răng, bạn nên đến nha khoa uy tín để bác sĩ điều trị hàn răng cửa nhằm bổ sung phần men răng bị mẻ, vỡ hoặc che phủ những lỗ sâu và tránh những bệnh về răng miệng.
1.4 Răng cửa bị sâu
Răng cửa bị sâu có trám được không? Răng sâu dù ở vị trí nào cũng cần phải điều trị và loại bỏ các lỗ sâu trên răng, đặc biệt là đối với răng cửa. Nguyên nhân sâu răng cửa có thể là do ăn nhiều thức ăn chứa nhiều đường và tinh bột, uống nước ngọt, vệ sinh răng miệng không đúng cách… khiến mảng thức ăn vụn mắc kẹt ở kẽ răng lâu ngày, gây sâu răng. răng cửa bị sâu có trám được không
Việc trám răng cửa bị sâu chính là giải pháp hiệu quả, giúp bạn nhanh chóng loại bỏ được những vết sâu răng và ngăn chặn vi khuẩn lây lan nghiêm trọng hơn.

Răng cửa bị sâu
2. Bảng giá trám răng tại nha khoa I-DENT
Tại nha khoa I-DENT chi phí trám răng cửa thẩm mỹ và các dịch vụ khác luôn được công khai minh bạch và rõ ràng trên website của nha khoa, giúp khách hàng có sự lựa chọn dễ dàng hơn.
Quý khách có thể tham khảo bảng giá tất cả các dịch vụ điều trị và trám răng tại I-DENT dưới đây:
|
TRÁM RĂNG |
|
|---|---|
| Trám răng sữa | 100.000 – 250.000 VNĐ/ Răng |
| Trám răng mòn cổ | 300.000 VNĐ/ Răng |
| Trám răng sâu men | 300.000 VNĐ/ Răng |
| Trám răng sâu ngà nhỏ | 300.000 – 400.000 VNĐ/ Răng |
| Trám răng sâu ngà to/vỡ lớn | 400.000 – 500.000 VNĐ/ Răng |
| Trám kẽ răng | 400.000 VNĐ/ Răng |
| Đắp mặt răng | 400.000 VNĐ/ Răng |
| Trám răng sau khi điều trị tủy | 200.000 – 400.000 VNĐ/ Răng |
| Trám Inlay/ Onlay/ BioDentine | 3.000.000 VNĐ/ Răng |
Để đảm bảo miếng trám răng cửa thẩm mỹ sử dụng được bền lâu, bạn nên lựa chọn những nha khoa uy tín, với đội ngũ bác sĩ có kỹ thuật giỏi và tất cả vật liệu nha khoa được sử dụng phải có nguồn gốc rõ ràng.
3. Một vài lưu ý sau khi trám răng cửa
Sau khi trám răng cửa, để răng trám được sử dụng bền lâu và có thể kéo dài tuổi thọ của vết trám hơn. Bạn nên lưu ý những điều dưới đây: trám răng cửa giữ được bao lâu
- Tránh ăn ngay: Bởi chất liệu trám răng phải cần có thời gian đông cứng hoàn toàn. Vì vậy, bạn nên ăn sau 2 tiếng thực hiện trám răng để tránh ảnh hướng đến chỗ trám.
- Hạn chế đồ ăn cứng, dai, quá nóng, quá lạnh: Bởi chỗ trám còn khá mới và chưa kịp thích nghi với lực nhai của bạn. Nếu bạn ăn đồ quá cứng, dai hoặc đồ quá nóng, lạnh sẽ làm thay đổi độ bám dính, hình dạng cũng như độ chịu lực của vật liệu trám. Từ đó làm nứt hoặc rò rỉ ở chỗ trám. trám răng cửa thưa có bền không
- Vệ sinh răng miệng: Bạn nên chải răng đúng cách mỗi ngày 2 lần, sau bữa ăn 30 phút, với bàn chải lông mềm. Kết hợp sử dụng thêm chỉ nha khoa, nước súc miệng để làm sạch răng miệng. Đặc biệt, nếu phát hiện một điểm gồ lên khiến bạn khó chịu, hoặc cảm thấy không thoải mái lúc ăn nhai sau khi trám răng, bạn hãy đến nha khoa để bác sĩ kiểm tra và ngăn chặn khả năng nứt hay viêm nhiễm ở vết trám.

Hạn chế đồ ăn cứng, dai
CHUYÊN SÂU IMPLANT DÀNH CHO NGƯỜI VIỆT
- Cơ sở 1:19V Nguyễn Hữu Cảnh, P.19, Q.Bình Thạnh, TP.Hồ Chí Minh
- Cơ sở 2:193A-195 Hùng Vương, P.9, Quận 5, TP.Hồ Chí Minh
- Cơ sở 3:83 Đường số 3 Khu dân cư Cityland, P.10, Q.Gò Vấp, TP.Hồ Chí Minh